





以下是引用zjzjr在2008-3-28 10:25:00的发言:[br]右侧上颌窦、蝶窦粘膜下囊肿.
以下是引用qiushi在2008-3-28 10:40:00的发言:[br]蝶骨大翼(右侧)有骨质破坏,建议上传完整图片.
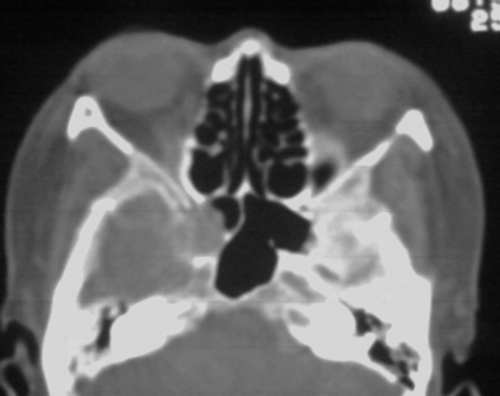
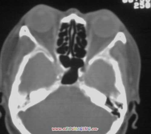
以下是引用随光逐影在2008-3-28 11:41:00的发言:[br]右侧蝶骨大翼骨质破坏,骨质破坏区内为软组织密度影填塞,右侧翼腭窝似有扩大,右侧乳突部分蜂房密度增高;疑鼻咽部肿瘤。建议:行鼻咽部ct扫描检查。另:右侧上颌窦黏膜下囊肿(或息肉)。
以下是引用随光逐影在2008-3-28 11:41:00的发言:[br]右侧蝶骨大翼骨质破坏,骨质破坏区内为软组织密度影填塞,右侧翼腭窝似有扩大,右侧乳突部分蜂房密度增高;疑鼻咽部肿瘤。建议:行鼻咽部ct扫描检查。另:右侧上颌窦黏膜下囊肿(或息肉)。
以下是引用jiangjing在2008-3-28 14:09:00的发言:[br]右侧蝶骨大翼骨质破坏,骨质破坏区内为软组织密度影填塞,右侧翼腭窝似有扩大,右侧乳突部分蜂房密度增高;疑鼻咽部肿瘤。建议:行鼻咽部ct扫描检查。另:右侧上颌窦黏膜下囊肿(或息肉)。
以下是引用随光逐影在2008-3-28 11:41:00的发言:[br]右侧蝶骨大翼骨质破坏,骨质破坏区内为软组织密度影填塞,右侧翼腭窝似有扩大,右侧乳突部分蜂房密度增高;疑鼻咽部肿瘤。建议:行鼻咽部ct扫描检查。另:右侧上颌窦黏膜下囊肿(或息肉)。
| 欢迎光临 医影在线 (http://bbs.radida.com/bbs/) | Powered by Discuz! X3.2 |