














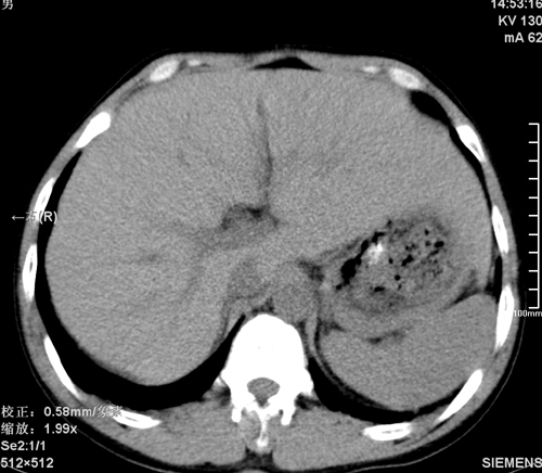
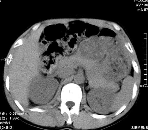
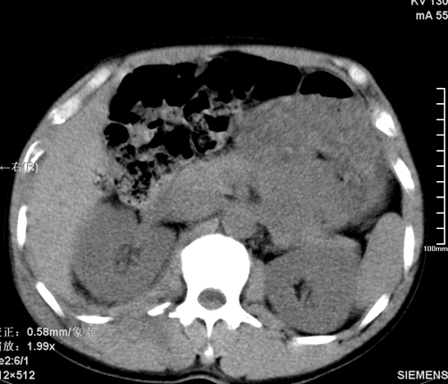
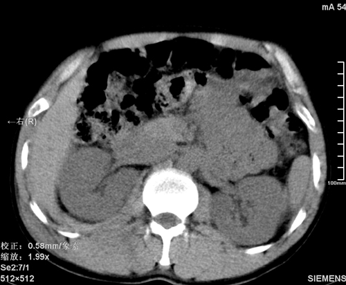
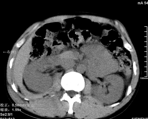
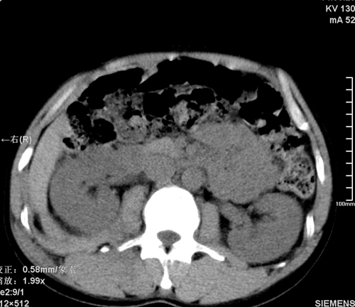
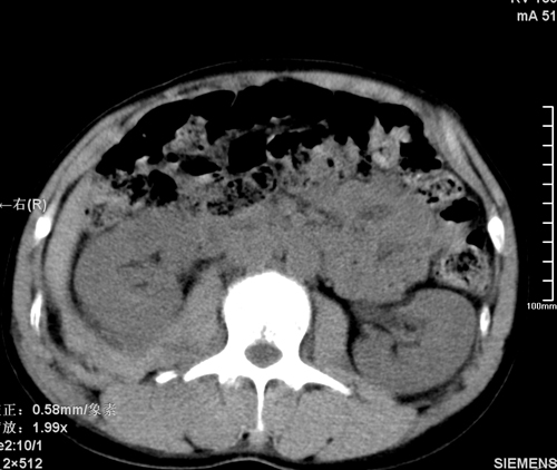
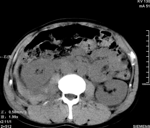
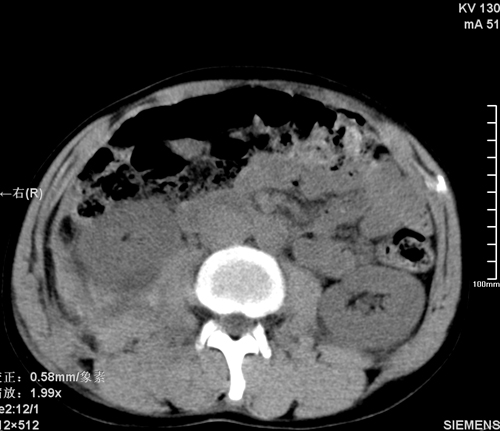
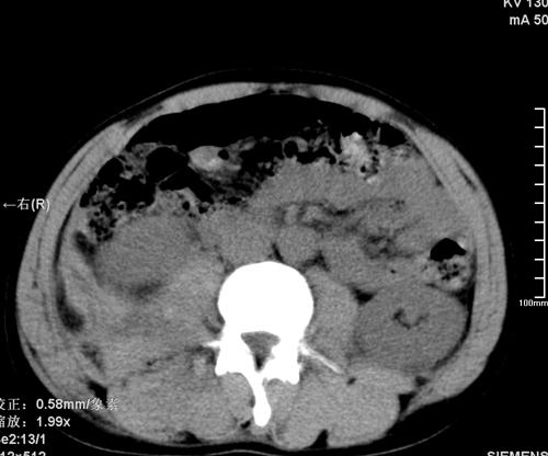
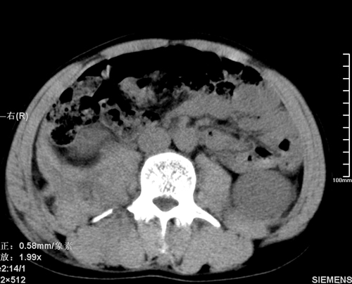
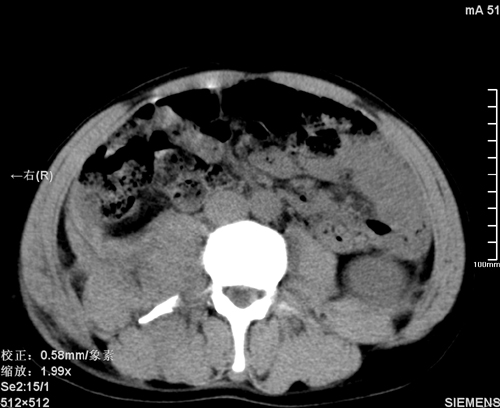
以下是引用qiushi在2008-3-28 12:00:00的发言:[br]腹膜后血肿,所见腰椎横突骨折.[br]建议上传骨窗、腰椎扫描.
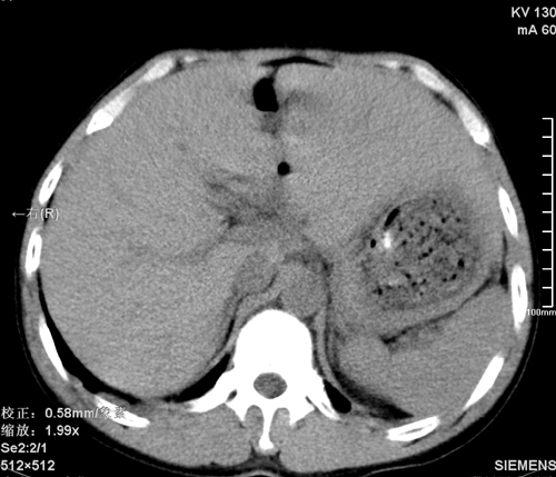
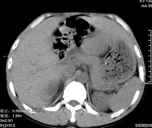
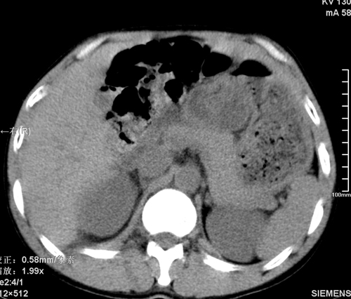
以下是引用tao772在2008-3-28 12:29:00的发言:[br]右侧腹膜后积血,右侧腰大肌挫伤,右侧部分横突骨折. 肾脏最好报一下挫伤,必要时增强。
以下是引用tao772在2008-3-28 12:29:00的发言:[br]右侧腹膜后积血,右侧腰大肌挫伤,右侧部分横突骨折. 肾脏最好报一下挫伤,必要时增强。
| 欢迎光临 医影在线 (http://bbs.radida.com/bbs/) | Powered by Discuz! X3.2 |