










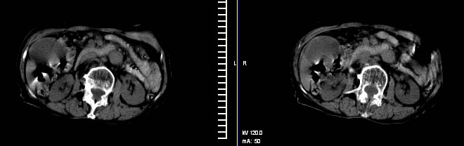
以下是引用有风的日子在2008-3-28 16:21:00的发言:[br]肝内胆管略扩张、胆囊明显增大、张力增高,肝门及胰头部软组织团块影、分界欠清晰,腰椎增生并骨质疏松。考虑占位病变,建议肝门及胰头部增强薄扫,以进一步明确诊断。
以下是引用拾荒者在2008-3-28 22:10:00的发言:[br]胆囊增大,张力较高,周围尚清晰,环绕十二指肠降段低密度影,考虑1.慢性胆囊炎,2环状胰腺?胰头占位?建议增强扫描!
| 欢迎光临 医影在线 (http://bbs.radida.com/bbs/) | Powered by Discuz! X3.2 |