医影在线

标题: CT12510:该如何下结论? [打印本页]

作者: 大漠孤雁    时间: 2008-3-28 23:37
标题: CT12510:该如何下结论?
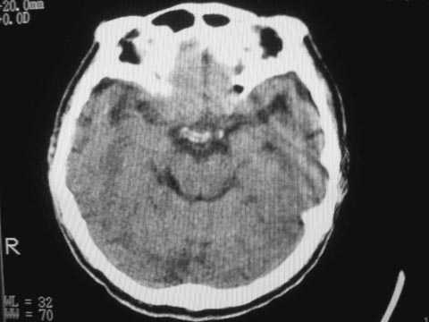
是脑萎缩还是双侧硬膜下积液?











[本贴已被 jiajie 于 2008-3-28 16:52:53 修改过]

作者: zsl6918    时间: 2008-3-28 23:43
萎缩时脑沟深宽,侧脑池扩大,积液时脑沟变平或不变化。你看看图像,像啥?支持老年脑脑萎缩表现。
作者: 卜一    时间: 2008-3-28 23:57
支持:脑萎缩!
作者: 随光逐影    时间: 2008-3-29 00:02
支持 脑萎缩。
作者: qiushi    时间: 2008-3-29 00:08
支持:脑萎缩!
       建议复查,偶曾经遇到过一例类似病例,但后来确实是慢性硬膜下积液.
作者: 有风的日子    时间: 2008-3-29 00:12
左侧基底节区陈旧性脑梗塞、老年性脑改变
作者: 894072    时间: 2008-3-29 00:52
脑萎缩
作者: 光影★小胖    时间: 2008-3-29 00:59
脑萎缩。
年龄及病史呢?
作者: 杀毒软件    时间: 2008-3-29 01:12
脑萎缩可能性大
作者: 前行    时间: 2008-3-29 02:20
不除外硬膜外积液,建议mr检查
作者: zhengfaming    时间: 2008-3-29 02:24
萎缩时脑沟深宽,侧脑池扩大,积液时脑沟变平或不变化。你看看图像,像啥?支持老年脑脑萎缩表现。
作者: wangjj555    时间: 2008-3-29 02:24
脑萎缩
作者: 形影不离    时间: 2008-3-29 02:40
支持 脑萎缩。
作者: xulianj    时间: 2008-3-29 03:06
脑萎缩可能性大
作者: zjzjr    时间: 2008-3-29 03:27
支持少量硬膜下积液\\左侧基底节区腔隙性脑梗塞\\脑萎缩.
作者: yy杨洋    时间: 2008-3-29 04:18
支持 脑萎缩。
作者: 不学无术    时间: 2008-3-29 04:38
脑萎缩
作者: liuqiang    时间: 2008-3-29 04:43
双侧额、颞部硬膜下积液。
作者: londerhok-ok    时间: 2008-3-29 05:27
脑萎缩
作者: jsgdoctor    时间: 2008-3-29 05:33
考虑脑萎缩
作者: 拾荒者    时间: 2008-3-29 06:20
支持脑萎缩,但不能除外合并硬膜下积液。
作者: xn2ylwg    时间: 2008-3-29 07:07
支持脑萎缩
作者: dongjingmou    时间: 2008-3-29 07:21
脑萎缩可能性大,如果是硬膜下积液,邻近脑组织应该是受压的表现。
作者: yangyudong333    时间: 2008-3-29 14:26
皮质型脑萎缩
作者: yl555555    时间: 2008-3-29 15:02
左侧基底节陈旧梗塞;老年性脑改变
作者: 黑白光影    时间: 2008-3-29 16:38
萎缩时脑沟深宽,侧脑池扩大,积液时脑沟变平或不变化。支持老年脑脑萎缩表现。
作者: chmh    时间: 2008-3-29 17:15
支持 脑萎缩
作者: 紫云陈剑    时间: 2008-3-29 17:25
脑组织有受压迹象,考虑硬膜下积液。
作者: 远征    时间: 2008-3-29 17:50
应该是脑萎缩。




欢迎光临 医影在线 (http://bbs.radida.com/bbs/) Powered by Discuz! X3.2