医影在线

标题: X3774:女 35岁 咳痰两周 低热 [打印本页]

作者: 杀毒软件    时间: 2008-3-29 20:27
标题: X3774:女 35岁 咳痰两周 低热




[本贴已被 jiajie 于 2008-3-29 12:44:29 修改过]

作者: 358450m    时间: 2008-3-29 20:56
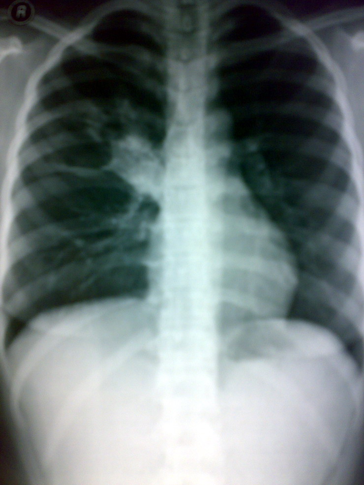
右肺门淋巴tb
作者: 黑白光影    时间: 2008-3-29 23:22
肺结核可能性大,建议作进一步检查。
作者: zdwys    时间: 2008-3-30 00:08
肺结核可能性大,建议作进一步检查。
作者: livingod    时间: 2008-3-30 01:28
支持结核
作者: ml2007    时间: 2008-3-30 04:07
还是ct吧
作者: qsbaomingcheng    时间: 2008-3-30 04:10
肺结核可能性大,建议作进一步检查。
作者: 随光逐影    时间: 2008-3-30 04:45
右肺结核可能性大。建议:行ct扫描检查。
作者: dyqct    时间: 2008-3-31 19:40
标题: 回复:x3774:女 35岁 咳痰两周 低热
以下是引用随光逐影在2008-3-29 20:45:00的发言:[br]右肺结核可能性大。建议:行ct扫描检查。

支持!
作者: aifeige82    时间: 2008-3-31 23:48
建议ct进一步检查
作者: jinguoji    时间: 2008-4-1 07:51
右肺结核可能性大,建议ct检查。
作者: yuhongjun    时间: 2008-4-1 13:17
右肺结核可能性大。建议:行ct扫描检查。
作者: shibing    时间: 2013-12-5 16:41
标题: Re:X3774:女  35岁  咳痰两周&nbs
右肺门淋巴tb




欢迎光临 医影在线 (http://bbs.radida.com/bbs/) Powered by Discuz! X3.2