医影在线
标题: ZX0001:这是我姑娘9个多月的脑CT,帮我看看有什么问题 头 [打印本页]
作者: quht 时间: 2004-3-25 01:46
标题: ZX0001:这是我姑娘9个多月的脑CT,帮我看看有什么问题 头










[本贴已被 翁志蓬 于 2004-3-24 19:09:32 修改过]
[本贴已被 吕军浩 于 2005-10-8 13:53:38 修改过]
[本贴已被 guojx 于 2005-10-8 17:57:48 修改过]
作者: quht 时间: 2004-3-25 01:50
不好意思!我是第一次在本论坛发信息,多发了两个,ct不知道清不清楚,请各位帮我看看,如看不清我在处理试试。我的e-mail: quhtxh@tom.com
作者: 常山真人 时间: 2004-3-25 02:15
有症状吗 考虑 胼胝体发育不良 。
作者: quht 时间: 2004-3-25 02:30
请问‘胼胝体发育不良’是什么意思?严重吗?我不懂医,请解释一下好吗?谢谢
作者: qiuazhang 时间: 2004-3-25 02:32
考虑 胼胝体发育不良 ,mr检查能确诊,ct只能提示。如鞍上池、三脑室上移看不好
作者: quht 时间: 2004-3-25 02:44
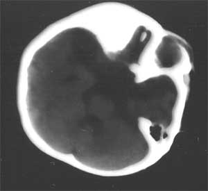
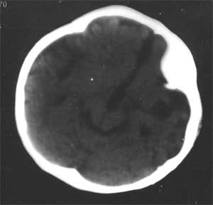
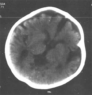
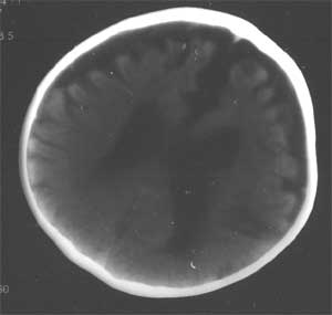
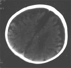
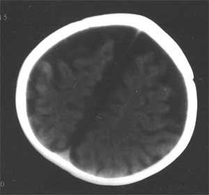
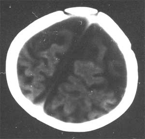
通过脑ct看医生说比较严重 ct检查报告是:右侧基底节区低密度灶,脑沟裂明显增宽,脑室系统清度扩大,中线结构无移位。 ct诊断:1。右侧基底节区缺血性改变 2。脑发育不良
可临床却没那么严重,只是被定为轻微功能协调障碍,肌张力高,不会翻身及爬。现在每天点滴活脑素及由医生做训练,训练导师说不严重。可脑ct却那么严重(医生说的,经过治疗还能够达到生活自理),可从临床看却没事,我现在最担心的是她的大脑到底严重到什么地步,会不会对智商有影响,还是。。。。。
我现在都不知道怎么办了,到底多严重
作者: 翁志蓬 时间: 2004-3-25 04:24
幕上幕下脑室、脑池、脑沟均见扩张积液,考虑脑发育不良。片子质量不好,前囟门似乎偏小,颅骨骨缝不知是否有闭合。9个月幼儿,头围应该不小于40厘米,请测量头围周径。应该没有胼胝体发育不良。至于“右侧基底节区缺血性改变”,片子质量差,看不清楚。
作者: gzycts 时间: 2004-3-25 04:58
同意七楼意。
作者: 常山真人 时间: 2004-3-25 04:59
从ct片看1大脑纵裂增宽2侧脑室扩大3蛛网膜下腔增宽 应考虑1胼胝体发育不良,2脑发育不良或萎缩(两周前一般无临床意义应称蛛网膜下腔增宽或外周性脑积水)
作者: 刘祥茹 时间: 2004-3-25 06:14
胼胝体发育不良可分为全部或部分缺如,常伴发透明隔和穹窿缺如.脑积水及脑小畸形,还可伴发胼胝体脂肪瘤或纵裂蛛网膜囊肿,ct表现为:侧脑室额角和体部间距宽大,而且两侧侧脑室平行分离,枕角呈不对称性扩大(螅室)三脑室轻度扩大并抬高.不同程度地延伸至双侧脑室 中间位置,monro区常拉长.
纵观以上ct片考虑胼胝体发育不良之诊断欠依剧,还应结合临床,是否有sah或hie等,但脑发育不全不能除外!
作者: 百亚 时间: 2004-3-25 06:15
同意9楼意见。站在你和你家庭角度,问题很严重!应该考虑脑瘫。即使有疗效以后生活自理也难。
作者: 91616lyt 时间: 2004-3-25 07:36
胼胝体发育不良的诊断没有依据,该小儿脑沟增宽、脑室系统扩大,蛛网膜增宽,应该考虑大脑发育不全的诊断,同时结合临床体症,明确有无发育迟缓的迹象。我建议你到儿科专家那里咨询。
作者: 难听 时间: 2004-3-25 17:23
请告知生产情况!我考虑新生儿缺血缺氧性脑病后移表现。
作者: chongsuzhi 时间: 2004-3-25 19:25
1、胼胝体发育不良应该是有了。
2、外部性脑积水。
作者: sxjj1024 时间: 2004-3-25 19:33
标题: 不同意胼胝体发育不良的诊断
不同意胼胝体发育不良的诊断,现在ct表现为脑沟、脑池增宽,双测额骨内板下方带状液体影,双测侧脑室略扩大,我认为应诊断为1、脑发育不全。2、外部性脑积水。情况应该很严重。
[本贴已被 翁志蓬 于 2008-12-17 11:48:57 修改过]
作者: sxjj1024 时间: 2004-3-25 19:38
这种情况药物治疗我感觉意义不大,安慰的成分比较多,主要还因该进行功能锻炼。
作者: chongsuzhi 时间: 2004-3-25 19:39
那为什么几个层面都没有看到胼胝体啊?[emb10]
作者: sqz-163 时间: 2004-3-25 22:03
同意15楼诊断.
作者: 尹志坚 时间: 2004-3-25 23:45
粗看:1。双侧额颞顶叶均有不同程度萎缩,脑实质变薄,2。脑室系统对称性扩张,大脑沟裂增宽变深。3。双基底节区未见明确低密灶,胼胝体发育良好。综上所述考虑有:1)大脑发育不良;2)严重脑缺血缺氧性脑病后遗症?个人意见仅供参考。
作者: lihuuuu 时间: 2004-3-26 02:17
外部性脑积水 待前囟闭合后,外部性脑积水自然消退。
作者: dd15 时间: 2004-3-26 03:18
大脑发育不良诊断较肯定。请提供病史。除非发生奇迹,不然智力方面应有较大障碍。
作者: qiuazhang 时间: 2004-3-26 05:45
标题: 回复:病例143:这是我姑娘9个多月的脑ct,帮我看看有什么
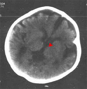
没想到在胼胝体发育不良上,大家还有这么大的分歧。红尖头所指为胼胝体发育不良,请大家指教
作者: 91616lyt 时间: 2004-3-26 06:36
箭头所指应该是透明隔间腔,而不是胼胝体。
作者: 专党zey 时间: 2004-3-26 17:47
箭头所指为胼胝体膝部,同意胼胝体发育不良的诊断。
作者: lkc8963 时间: 2004-3-26 21:08
脑发育不良.半球间裂前后均宽.....不支持外部性脑积水,没有明确的胼胝体发育不良诊断依据.
作者: qiuazhang 时间: 2004-3-27 03:14
标题: 回复:病例143:这是我姑娘9个多月的脑ct,帮我看看有什么
以下是引用91616lyt在2004-3-25 22:36:02的发言:[br]箭头所指应该是透明隔间腔,而不是胼胝体。
那胼胝体膝部在什么地方?能否标出来
作者: sxjj1024 时间: 2004-3-27 16:25
我看不到任何胼胝体发育不良的ct征象。
作者: 百亚 时间: 2004-3-27 23:30
患儿脑发育不良,颅板增厚,不应是缺血缺氧性脑病后遗改变,应为先天异常,可查一下染色体。绝大多数脑瘫、低能儿都有颅板增厚。
作者: 常山真人 时间: 2004-3-27 23:58
大家对 脑发育不良或萎缩--蛛网膜下腔增宽---外周性脑积水 3各职称合适的用法有何见解??
作者: szbtyyct 时间: 2004-3-28 02:32
同意28楼意见,应为先天性疾病,做染色体检查很有必要![emb6]
作者: gaozhengyi 时间: 2004-3-28 02:44
1 胼胝体发育不良不存在。
2 患儿有外部性脑积水,但其实质是蛛网膜下腔的增宽,为自愈性,无需处理,一般前囟闭合后便自行消失。ct表现为大脑纵裂和双额颞区蛛网膜下腔增宽,可有轻度的脑室系统扩张。
3 本例 患儿除外部性脑积水外的确有其他部位脑沟的增宽,尤以双顶叶为著,右侧基底节区可见低密度灶,以上可以为新生儿缺氧缺血性脑病所遗留,但并不严重,我想随着治疗锻炼患儿恢复应该会不错的。[em1][em4][em9][em14]
作者: 刘祥茹 时间: 2004-3-28 06:32
基本上同意gaozhengyi先生前半部分分析,但残酷的说患儿的愈后恐怕不甚理想,希望家属应该有足够的精神准备!!
作者: www123456 时间: 2004-3-28 06:47
出生时是不是有缺血缺氧性脑病,如果有,可能是其后遗改变
作者: 翁志蓬 时间: 2004-3-28 07:11
标题: 患儿资料
我曾与患儿父亲在qq上聊天,总结病史如下:患儿父亲为调漆员,天天跟油漆打交道。患儿母亲在怀孕前3、4个月常到患儿父亲车间。家里未养宠物。患儿母亲怀孕时曾得轻感冒,但未服药物。患儿出生体重小于2500千克。出生13天腹胀,怀疑巨结肠而予禁食3天,后排除该诊断。患儿半个月前检查头围43cm。请大家分析分析病因,是否低体重并营养不良导致脑发育不良?我院的儿科水平一般。请大家帮忙找儿科医生会诊会诊。
[本贴已被 翁志蓬 于 2004-3-27 23:13:36 修改过]
作者: quht 时间: 2004-3-28 19:44
非常感谢各位,给了我很大的支持和帮助,我们对我姑娘的康复有很大的信新,现在我正在考虑給她做mri,不知做mri的磁场是不是会稍微有点其它的复作用,我会咨询当地的医院,不过听医院的医生讲,孩子太小尽量不要做。我姑娘通过在康复中心的10天治疗中有明显的进步,唯一缺点是那里的护士好像都是实习的,每次给我姑娘打点滴都是两针,要不就是渗药,今天是最后一针,护士长说要养15天后再打,我也同意。咳!一个小脑袋能经得起多少针呀!目前看问题不大,就要看mri的结果了,只是时间问题了。我会把结果告诉各位的,和大家一起分享我的喜悦。再次感谢各位的关心。
作者: 花省伞 时间: 2004-3-29 01:41
胼胝体发育不良不支持,考虑脑发育不全
作者: rbing2000 时间: 2004-3-29 06:33
同意七楼意见
另建议行mri检查/等待
作者: lggj 时间: 2004-3-31 07:15
诊断脑瘫应该没问题.
作者: 百亚 时间: 2004-3-31 09:28
我院有一例患儿出生半月,诊断白血病,颅骨侵润。考虑先天性的。患儿母亲是打工妹,工作就是在手工作坊里制皮包。接触大量苯造成的。优生优育真的太重要了。各位是不是经常遇到孕妇来做x先检查?[emb5]
作者: 吕军浩 时间: 2004-4-1 04:21
标题: 回复:病例143:这是我姑娘9个多月的脑ct,帮我看看有什么
以下是引用lggj在2004-3-30 23:15:34的发言:[br]诊断脑瘫应该没问题.
你没见过人家孩子怎么知道人家脑瘫!也许仅仅是硬膜下积液,脑压增高,额顶叶有些压迫性脑萎缩,慢慢也许就好了!
作者: wchgh 时间: 2004-4-1 04:35
支持34楼观点:胎儿期低体重并营养不良导致脑发育不良,我相信经过一段时间的后期调养会有所改善的。
作者: pgs-001 时间: 2004-4-1 15:16
赞同尹志坚老师的意见。
作者: cxg 时间: 2004-4-1 17:44
/负责胼胝体发育不良+脑发育不全。愈后不一定就是很严重的,须咨询儿科专家!!!
作者: 权世辉 时间: 2004-4-2 01:00
做一个清楚点的ct 然后上传在讨论
作者: 简 时间: 2004-4-2 01:35
最好还是做个核磁罢
作者: quht 时间: 2004-4-3 01:12
非常感谢诸位,我姑娘目前正在康复中心治疗,总体挺乐观,医生建议等一段时间再做磁共振,我想先治疗一个疗程看看,有什么结果我会通知各位的。对了,今天给她做了脑电波,一切正常。
谢谢
作者: 320512 时间: 2004-4-3 03:19
外部性脑积水。除个别病例外,一般2 ̄3岁后基本消失。
作者: mzdfzzc 时间: 2004-4-3 08:57
我的意见是hie!
作者: jqp998 时间: 2004-4-4 17:58
片子质量太差,建议mr较妥..
作者: ganzi 时间: 2004-4-5 17:18
外部性脑积水,一般小儿2岁前多发,无实际意义,除个别病例外,2~3岁后随着前囟闭合基本消失,如出生时有缺血缺氧性脑病、脑炎、外伤史的话,ct表现就特别明显。
作者: sgl163 时间: 2004-4-6 00:50
额叶发育不全
作者: wzh168 时间: 2004-4-6 05:21
外部性脑积水,但双额顶叶脑沟增宽,合并有大脑轻度发育不全。楼主您不要着急。只要临床症状不明显容易好转的。
作者: 李昭 时间: 2004-4-15 01:01
片子质量不好,只能考虑有轻度脑积水征象。
作者: 阿圣 时间: 2004-4-15 01:57
脑发育不良是有的.得打脑活素.
作者: 万一81 时间: 2004-4-15 05:40
本片胼胝体发育不良证据不足。是大脑发育不良还是脑缺血缺氧性脑病后遗症所致的表现?必须结合胎儿分娩时情况,有无脐绕颈、羊水污染、产程过长等缺血缺氧的病因。
作者: 寻芳者 时间: 2004-5-22 19:40
我同恴第七楼者之解!!!
作者: woaixct 时间: 2004-5-22 19:54
脑容量不够,脑沟裂增深增宽,脑室系统扩大。片子质量有问题,暂考虑:以脑发育不全为首诊。
作者: zzpcon 时间: 2004-5-23 07:08
脑发育不良[emb6]
作者: 一帆风顺 时间: 2004-5-28 06:10
hie后遗症,脑发育迟缓(可能以后会好)并外部性脑积水(一般以后会好),配合医生治疗吧!!
作者: 影子 时间: 2004-6-3 20:52
新生儿缺血缺氧性脑病后脑发育不良,经过有效治疗可以有一定好转.
作者: tiantiantansuoz 时间: 2004-6-4 06:13
硬膜下积液,脑沟、裂、池宽,前纵裂池宽深达三脑室,是否与三脑室相通,-----不能肯定胼纸体发育不良,-----1)hie后遗症,2)颅脑感染
作者: 忘情虎 时间: 2004-6-4 07:52
印象:外部型脑积水。治疗效果尚可。
作者: 相思鹊 时间: 2004-6-7 07:28
我觉得应该是缺血缺氧性脑病后遗症导致脑萎缩,不知出生时情况怎样?
作者: songying 时间: 2004-7-11 07:32
大脑腔室较大,脑沟宽,应该考虑大脑发育不全或脑萎缩
作者: zhaozilong 时间: 2004-8-20 14:07
考虑胼胝体发育不良,脑发育不良
作者: r1339 时间: 2004-9-14 05:06
胼胝体发育不良证据不足,应该是脑发育不良!
作者: xlygxgl 时间: 2004-9-14 17:25
支持7和10楼的观点。
作者: sxdongfang 时间: 2004-9-14 18:10
quht先生(女士):首先对你姑娘的这种情况表示关切,不知姑娘临床情况如何。本人曾经是一位儿科大夫,从小儿9个月大小看,运动发育是明显滞后的,三翻六坐七滚八爬,另外感知及情感发育情况如何,可能的话请提供一下,结合ct图片,胼胝体的膝部不连续,蛛网膜下腔、脑沟裂明显增宽,联系起来看,病儿大脑在发育上是存在问题的,蛛网膜下腔增宽有一部分小儿随着年龄的增长会有所好转或改善,胼胝体年龄增长改善的可能性不大。不过如果情感及认知能力还可以,单纯运动发育的滞后还应注意几个问题:病儿现在有几颗牙齿,是否有佝偻病(缺钙)的相关表现,佝偻病运动发育也可滞后。
不过目前,对小儿的处理我个人义为,除了积极检查诊断外,应该加强对小儿认知能力的培养,适当地在散射阳光下接触阳光,以防止小儿佝偻病的发生。
(本人半路出家,即不是一个好的儿科大夫,也不是一个好的ct大夫,以上意见公供参考,谢谢!)
作者: 3288161 时间: 2004-9-15 03:21
标题: 回复:ct143:这是我姑娘9个多月的脑ct,帮我看看有什么问
以下是引用gaozhengyi在2004-3-27 18:44:02的发言:[br]1 胼胝体发育不良不存在。[br] 2 患儿有外部性脑积水,但其实质是蛛网膜下腔的增宽,为自愈性,无需处理,一般前囟闭合后便自行消失。ct表现为大脑纵裂和双额颞区蛛网膜下腔增宽,可有轻度的脑室系统扩张。[br] 3 本例 患儿除外部性脑积水外的确有其他部位脑沟的增宽,尤以双顶叶为著,右侧基底节区可见低密度灶,以上可以为新生儿缺氧缺血性脑病所遗留,但并不严重,我想随着治疗锻炼患儿恢复应该会不错的。[em1][em4][em9][em14]
(1)外部性脑积水
(2)新生儿缺氧缺血性脑病后遗症
作者: hejie 时间: 2004-9-17 03:41
多考虑为部性脑积水.
作者: chucky 时间: 2004-9-18 18:26
有无缺血缺氧病史?看起来像 hie,pvl,脑发育不良。脑白质容积少导致运动障碍
作者: taiyangfeng_810 时间: 2004-9-19 06:49
[emb6]
作者: zxs8c 时间: 2004-10-18 04:01
看了上面各位老师和同道的论述,受益很大。但不管是脑发育不良还好,胓底体发育不良还好。对于患儿和其家庭来说,目前应该积极做好幼儿的各方面能力的培养,等以后如2岁做一个mri检查。
作者: worker 时间: 2004-10-18 19:56
脑组织容积总体来说是欠一点,且脑沟宽,脑室大,所以脑白质为主发育不良或迟缓是可以肯定的,因为症状亦有,但基底节低密病及胼胝体异常肯定没有,因为ct片是不太好.[emb21][emb21][emb21]
作者: zhongguolong518 时间: 2004-10-18 22:47
大家请注意:左侧外侧裂向内延伸与第三脑室和四叠体池相通,是否要多考虑一下。
我个人意见:胼胝体发育不全并脑穿通畸型。 [emb14][emb12][emb13][emb26]
作者: tgco2001 时间: 2004-10-19 03:30
我认为是脑发育不良并外部性脑积水
作者: searchtrue 时间: 2004-10-20 05:18
应该是hie后遗脑发育不全并胼胝体发育不良
作者: wang 时间: 2004-10-29 20:18
[em6]同意上述观点,9个月小孩脑发育不良可能性大,右测基底结发育不良。
作者: lswallowy 时间: 2005-1-16 01:53
[emb6]
作者: 爱你的人 时间: 2005-2-19 05:32
片子质量太差,根据ct表现考虑为外部性脑积水,请问是否顺产?
建议定期ct复查。
作者: haitian598 时间: 2005-3-10 03:32
前纵裂池与三脑室相连,无明显侧脑室分离,可能胼胝体前部发育不全。两额顶部脑组织量减少,脑沟裂增宽,脑室扩大,肯定大脑发育不全,智力会受影响,现在该能看出来吧,孩子反应怎样。
作者: wjy 时间: 2005-3-30 04:39
胼胝体发育不良的ct表现: 1 大脑纵裂增宽与三脑室前部相连,侧脑室扩大,平行分离.2 三脑室扩大上升,延伸到两侧脑室之间.3 室间孔不同程度扩大和分离.结合以上3点,胼胝体发育不良诊断依据不足,结合病史还是考虑大脑发育不全.学生无知,望各位老师多多指正!!!!!!!!!!!!![emb14][emb14]
作者: cale 时间: 2005-6-11 09:04
类似的病例我也见过,比较困惑的是明明胼胝体膝部不连,但所问过的老师却不同意胼胝体发育不良的诊断,不知道为什么。那位高手能解释一下?[em13][emb5][emb10]
作者: 江南霜晓 时间: 2005-7-7 00:07
标题: 回复:ct0143:这是我姑娘9个多月的脑ct,帮我看看有什么
片子比较暗。从这几张片子来看,大脑纵裂池似与侧脑室、三脑室交通,两侧额叶之间没有看到明显的脑白质交汇区(胼胝体膝部),如果是这样的话,应该考虑胼胝体发育不良。
为什么不做mr?
作者: moonlake000 时间: 2005-7-15 04:11
还是应该首先考虑双侧额叶发育相对迟缓,胼胝体发育不良依据不多,而外部性脑积水也应该考虑再内。
作者: zhgao3658 时间: 2005-7-15 19:46
标题: 回复:ct0143:这是我姑娘9个多月的脑ct,帮我看看有什么
我认为就是脑发育不全
作者: lixiaohuachop 时间: 2005-9-26 17:58
小孩现在应该2岁多了,现在情况怎么样,建议现在ct/mri复查
作者: shenjun18 时间: 2005-9-27 21:01
本人愚见:1.脑发育不良
2.外部性脑积水(额顶区对称性蛛网下腔扩大,宽度平均为8.9cm) 你女儿出生时的状况怎么样?多有缺氧窒息,外伤或感染史.
3.关于胼胝体发育不良?不好说,几个层面图像太差,请重新上传
作者: 下雨 时间: 2005-12-6 06:13
大脑发育不良,基底节缺血性脑改变看不清,我看过一例发育不不良的他是苯丙酮尿症病儿。
作者: 帅河马 时间: 2005-12-9 01:30
标题: 回复:zx0001:这是我姑娘9个多月的脑ct,帮我看看有什么
以下是引用刘祥茹在2004-3-24 22:14:00的发言:[br]胼胝体发育不良可分为全部或部分缺如,常伴发透明隔和穹窿缺如.脑积水及脑小畸形,还可伴发胼胝体脂肪瘤或纵裂蛛网膜囊肿,ct表现为:侧脑室额角和体部间距宽大,而且两侧侧脑室平行分离,枕角呈不对称性扩大(螅室)三脑室轻度扩大并抬高.不同程度地延伸至双侧脑室 中间位置,monro区常拉长. [br]纵观以上ct片考虑胼胝体发育不良之诊断欠依剧,还应结合临床,是否有sah或hie等,但脑发育不全不能除外![br][br]
作者: waken 时间: 2007-3-28 02:14
各位:
我想请教b型超声明显示检查报告的头颅类别中的以下的内容表示是什么情况:
脑中线结构 无 偏移
大脑纵裂 分离 0.6cm
脑实质 无 弥漫性光点 稍多光点
侧脑室 左0.2cm 右0.2cm
第三、四脑室 无 扩大
作者: cqqiuwen 时间: 2007-5-27 06:51
已经3年了!不知道该小孩经过怎样的治疗?现在情况怎样了??
作者: quht 时间: 2008-12-17 00:38
谢谢各位的关注,我刚把核磁上传了,请各位再次给予帮助谢谢!
新帖:http://www.radida.com/radinet/read.php?tid=47638
| 欢迎光临 医影在线 (http://bbs.radida.com/bbs/) |
Powered by Discuz! X3.2 |