医影在线

标题: X3805:F18Y,ASD一例! [打印本页]

作者: 2008shanyi    时间: 2008-3-31 01:41
标题: X3805:F18Y,ASD一例!
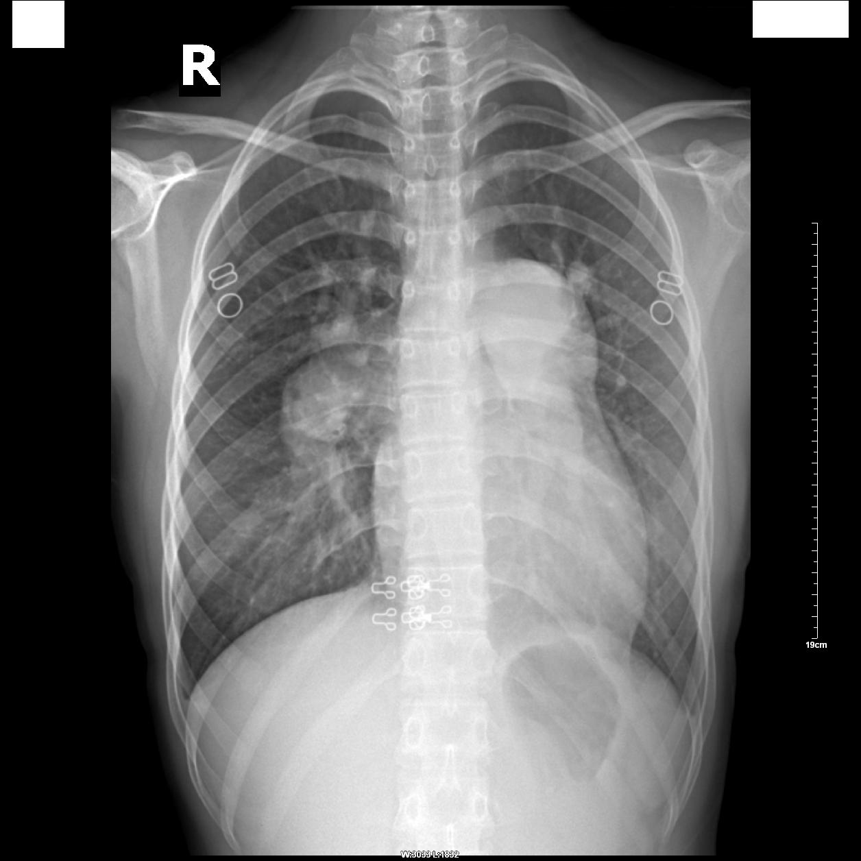
患者,女,18岁,气喘、紫绀多年!



心影呈“二尖瓣型”,肺动脉段瘤样凸出,肺门动脉明显扩张,外围分支变细、扭曲、稀疏,呈“残根状”,两上肺静脉略扩张,主动脉结缩小。


[本贴已被 jiajie 于 2008-3-30 18:11:24 修改过]

作者: lishibao    时间: 2008-3-31 02:49
片子呢?
作者: 形影不离    时间: 2008-3-31 02:58
支持,很典型!
作者: hhcckk    时间: 2008-3-31 03:00
房缺,好片子
作者: 前行    时间: 2008-3-31 03:08
支持
作者: lishibao    时间: 2008-3-31 03:15
支持.好典型!学习啦.
作者: 358450m    时间: 2008-3-31 03:24
房缺
作者: shiqingfa    时间: 2008-3-31 03:29
支持
作者: 358450m    时间: 2008-3-31 03:38
左右心房间隔上的缺损称房间陨缺损,约占先天性心脏病的5%-10%,房缺的杂音很轻不易听到,往往在学龄儿童查体时才被发现,心电图表现为右束枝传导阻滞,心脏x线片示肺血多,心影扩大,右房右室扩大,超声心动图对大部分房缺可明确诊断或可借助于声学造影、食道超声。房缺位于卵园孔部位即中央型或称ii孔型;位于下部分与二、三尖瓣环相连处,称原发孔型,或称i孔型;位于上、下腔静脉进入右房的位置称腔静脉窦型;位于冠状静脉窦称冠状静脉窦型。除非巨大房缺,一般早期很少出现症状,小的房间隔缺损可终生不手术,但有资料报道反复性脑梗塞,可能与房间隔缺损有关,其原因是静脉系统的小栓子,通过房缺进入左心,到脑子的动脉而致脑梗塞。因此亦有医生提出对小房缺及卵园孔末闭的患者可考虑用导管引入双面伞的方法关闭,不必心内直视手术。导管关闭房缺的方法有几种,大多要求房缺小于2cm。中到大的房缺需手术治疗,疗效亦是十分令人满意的,目前心外科为其开展小切口手术,或心脏不停跳修补房缺,减少了手术的并发症。 房缺伴重度肺动脉高压,手术效果较差。因此一定早看专科医师,在医生的指导下决定是否长期随访或治疗。转载
作者: 一剑飘红    时间: 2008-3-31 04:11
室缺能除外吗
作者: 358450m    时间: 2008-3-31 04:17
左室不大支持房缺
作者: jinguoji    时间: 2008-3-31 05:04
支持房缺.
作者: 有风的日子    时间: 2008-3-31 05:57
真可惜!这么年轻就已经出现右向左分流及严重的肺动脉高压,失去了手术机会!
作者: 宇宙CT    时间: 2008-3-31 06:27
真可惜!这么年轻就已经出现右向左分流及严重的肺动脉高压,失去了手术机会!
作者: 黑白光影    时间: 2008-3-31 06:31
好片!
作者: liuyue    时间: 2008-3-31 07:29
学习了,谢谢.
作者: zhangkai    时间: 2008-3-31 16:38
支持先天性心脏病,房缺。
作者: wangjj555    时间: 2008-3-31 16:41
支持房缺.
作者: fsk_2023    时间: 2008-3-31 17:22
学习了
作者: dyqct    时间: 2008-3-31 18:03
典型!支持楼主意见。
作者: 杀毒软件    时间: 2008-4-1 02:33
支持楼主
作者: shibing    时间: 2013-12-1 09:18
UCG
作者: 平易近人    时间: 2013-12-8 10:37
房缺




欢迎光临 医影在线 (http://bbs.radida.com/bbs/) Powered by Discuz! X3.2