医影在线

标题: CT12572:女 43岁 头痛恶心呕吐两天请求会诊 [打印本页]

作者: lqkys    时间: 2008-4-1 01:27
标题: CT12572:女 43岁 头痛恶心呕吐两天请求会诊
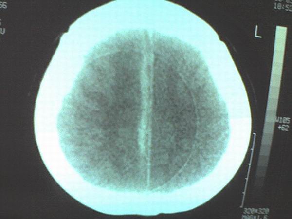
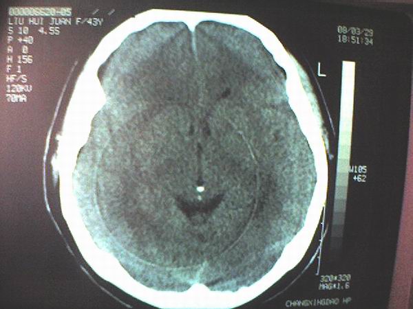
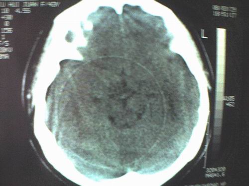
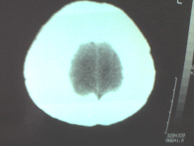
女 43岁 头痛恶心呕吐两天










[本贴已被 jiajie 于 2008-3-31 19:19:49 修改过]

作者: lqkys    时间: 2008-4-1 01:29
手机照的,不是太清楚。
作者: panyishengct    时间: 2008-4-1 01:43
右侧大脑镰硬膜下出血
作者: 王仕学    时间: 2008-4-1 02:07
1、右侧大脑镰硬膜下出血2、机器伪影太重,该修修。
作者: 小初学者    时间: 2008-4-1 02:10
右侧大脑镰硬膜下出血
支持
作者: happyverycd    时间: 2008-4-1 02:12
右侧大脑镰硬膜下出血
支持
作者: 光影★小胖    时间: 2008-4-1 02:22
右侧大脑镰硬膜下出血
支持
作者: 宇宙CT    时间: 2008-4-1 02:31
右侧大脑镰硬膜下出血
支持
作者: tao772    时间: 2008-4-1 02:36
镰旁硬膜下 血肿
作者: shiqingfa    时间: 2008-4-1 03:04
右侧大脑镰硬膜下出血
支持
作者: yy杨洋    时间: 2008-4-1 03:04
右侧大脑镰硬膜下出血
支持
作者: 杀毒软件    时间: 2008-4-1 03:10
支持楼上
作者: clj20    时间: 2008-4-1 03:23
大脑镰硬膜下出血
作者: wqs571018    时间: 2008-4-1 03:23
右侧大脑镰旁硬膜下出血。
作者: qiushi    时间: 2008-4-1 03:44
右侧大脑镰硬膜下出血
支持
作者: 宝天曼    时间: 2008-4-1 04:14
右侧大脑镰硬膜下出血
作者: whzht    时间: 2008-4-1 04:19
右侧大脑镰硬膜下出血
作者: jsgdoctor    时间: 2008-4-1 04:21
右侧大脑镰硬膜下出血
作者: ZHANGZHONGSHOU    时间: 2008-4-1 04:24
右侧大脑镰旁硬膜下血肿
作者: 王2008    时间: 2008-4-1 05:11
右侧大脑镰硬膜下出血
支持
作者: yangyudong333    时间: 2008-4-1 05:28
右侧大脑镰硬膜下出血
支持
作者: dyqct    时间: 2008-4-1 05:52
标题: 回复:ct12572:女 43岁 头痛恶心呕吐两天请求会诊
以下是引用王仕学在2008-3-31 18:07:00的发言:[br]1、右侧大脑镰硬膜下出血2、机器伪影太重,该修修。

支持!
作者: xn2ylwg    时间: 2008-4-1 07:57
右侧大脑镰硬膜下出血
作者: zsl6918    时间: 2008-4-1 17:46
标题: 回复:ct12572:女 43岁 头痛恶心呕吐两天请求会诊
支持镰旁硬膜下 血肿
作者: zjzjr    时间: 2008-4-1 18:16
右侧大脑镰旁硬膜下血肿
作者: 拾荒者    时间: 2008-4-3 06:21
右侧大脑镰旁硬膜下血肿;如此重的机器伪影,要小心了,快报修吧!
作者: jinguoji    时间: 2008-4-3 07:40
支持右侧大脑镰硬膜下出血。




欢迎光临 医影在线 (http://bbs.radida.com/bbs/) Powered by Discuz! X3.2