医影在线

标题: X3839:体检 [打印本页]

作者: pdd    时间: 2008-4-2 02:14
标题: X3839:体检
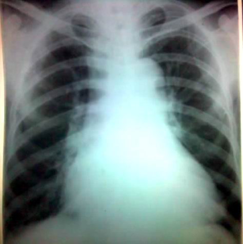
体俭发现心影增大



[本贴已被 翁志蓬 于 2008-4-1 22:52:19 修改过]

作者: 358450m    时间: 2008-4-2 02:36
高心病.上腔v影增宽
作者: lishibao    时间: 2008-4-2 02:55
资料太少了吧.不能个猜.
作者: shiqingfa    时间: 2008-4-2 03:27
考虑左心功能不全
作者: xuhuihong    时间: 2008-4-2 03:59
建议心超
作者: 杀毒软件    时间: 2008-4-2 04:05
资料太少,不好说
作者: 黑白光影    时间: 2008-4-2 04:16
体俭发现心影增大,平日无不适,询问病史全无,是这样吗?
作者: hexue    时间: 2008-4-2 05:27
年纪多大呀 请提供点资料
作者: xulianj    时间: 2008-4-2 05:39
建议心超
作者: ZHANGZHONGSHOU    时间: 2008-4-2 05:45
请结合临床,平片未见明显异常,请测一下ctr.
作者: jinguoji    时间: 2008-4-2 05:57
建议心超
作者: fsk_2023    时间: 2008-4-2 16:40
资料少
作者: chmh    时间: 2008-4-2 16:45
请结合临床
作者: 剑神    时间: 2008-4-2 18:08
心影增大,建议心脏超声
作者: 宇宙CT    时间: 2008-4-2 18:50
请结合临床,平片未见明显异常,请测一下ctr.
作者: ljj88    时间: 2008-4-2 19:37
请结合临床,平片未见明显异常,请测一下ctr.
作者: dyqct    时间: 2008-4-2 23:34
三无产品。
作者: wy232326    时间: 2008-4-7 23:56
请结合临床
作者: shibing    时间: 2013-12-14 08:58
年纪多大呀 请提供点资料
作者: 平易近人    时间: 2014-1-19 12:23
建议心超
作者: zhanggenliang    时间: 2014-1-19 15:27
建议进一步检查,应该问题不大




欢迎光临 医影在线 (http://bbs.radida.com/bbs/) Powered by Discuz! X3.2