医影在线

标题: PED0710:F,14Y。肠梗阻?腹膜后淋巴结结核? [打印本页]

作者: 随光逐影    时间: 2008-4-2 06:43
标题: PED0710:F,14Y。肠梗阻?腹膜后淋巴结结核?
(结果公布:http://www.radida.com/bbs/forum.php?mod=viewthread&tid=41410)
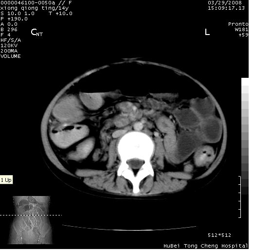
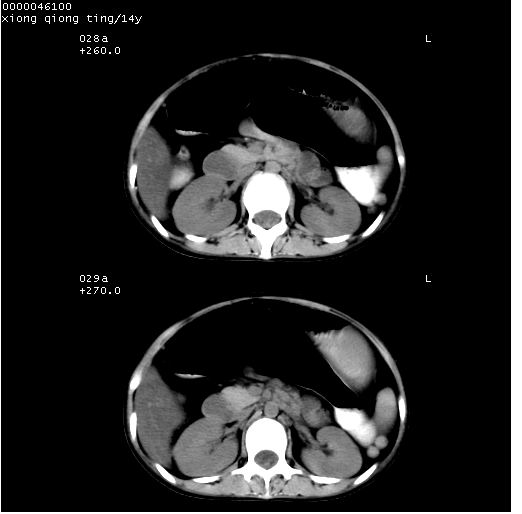
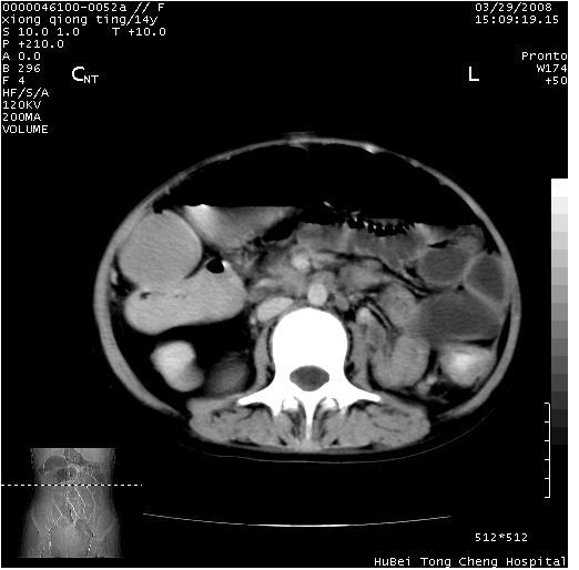
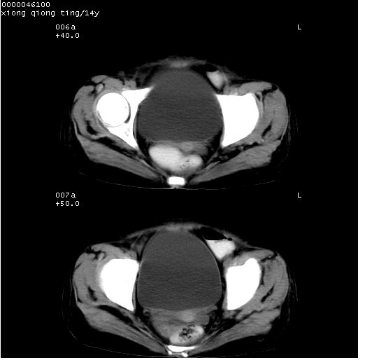
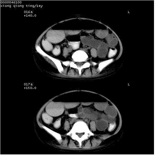
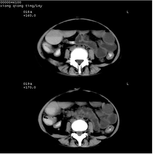
患儿 女,14岁。不规则发热一周,偶感头痛,无抽搐及呕吐。pe:神清,精神差,双侧瞳孔等大等圆,对光反射敏感,双肺未闻及明显啰音,心音有力,腹部触之似揉面感,下腹压痛,无反跳痛。

腹部b超提示:子宫缩小,盆腔积液,肝实质回声密集。

临床诊断:发热原因待查:1)腹部结核感染。2)伤寒?3)结缔组织病?

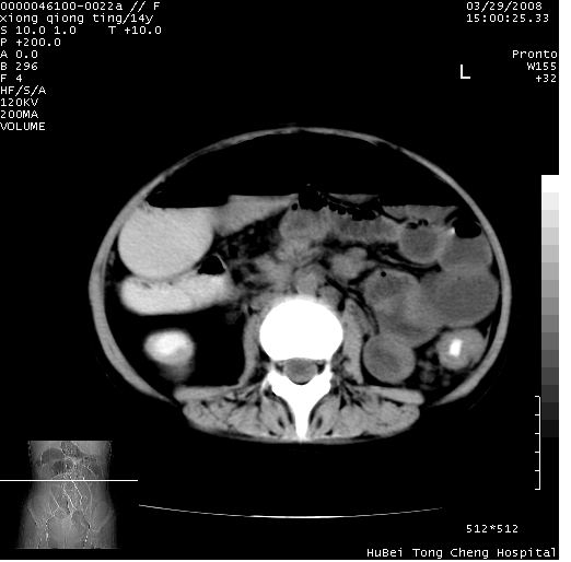
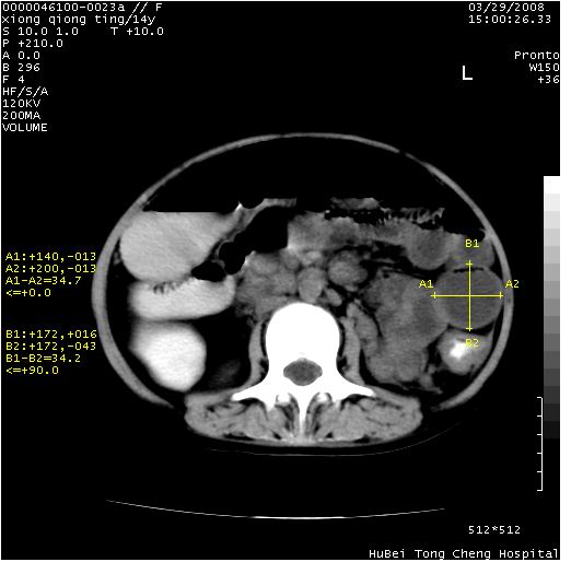
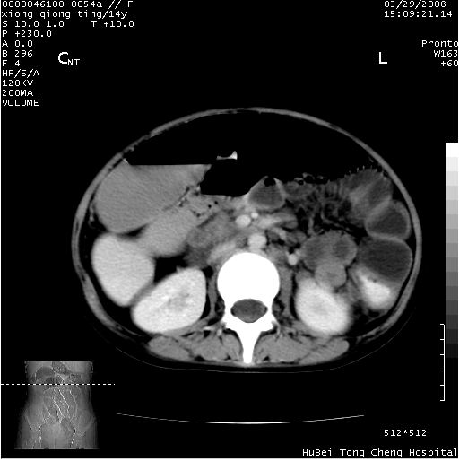
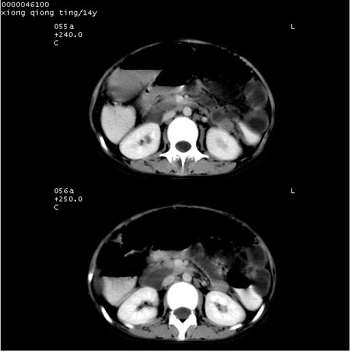
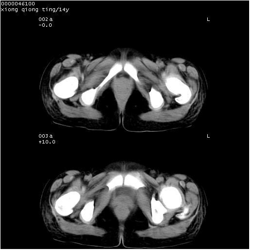
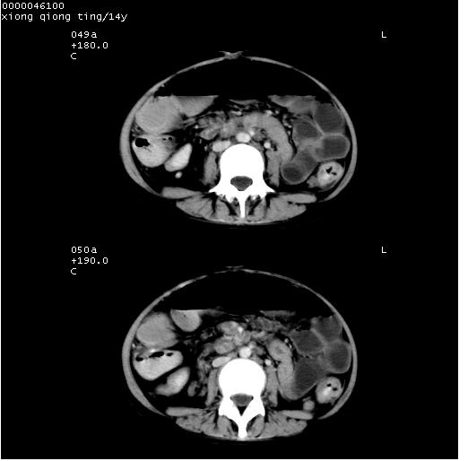
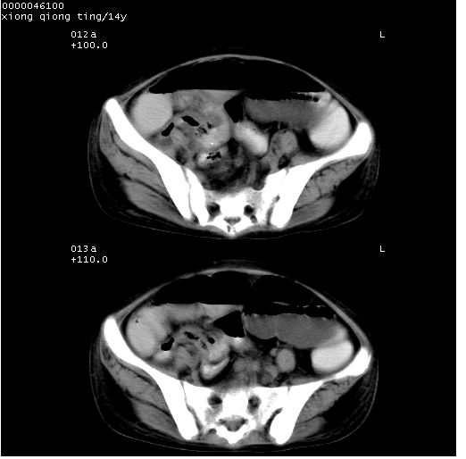
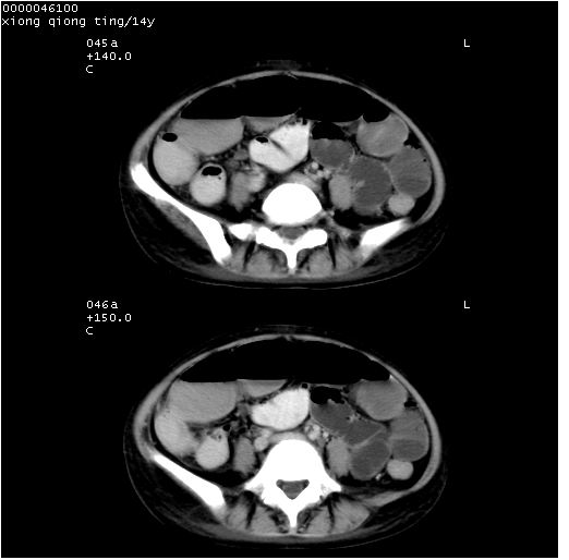
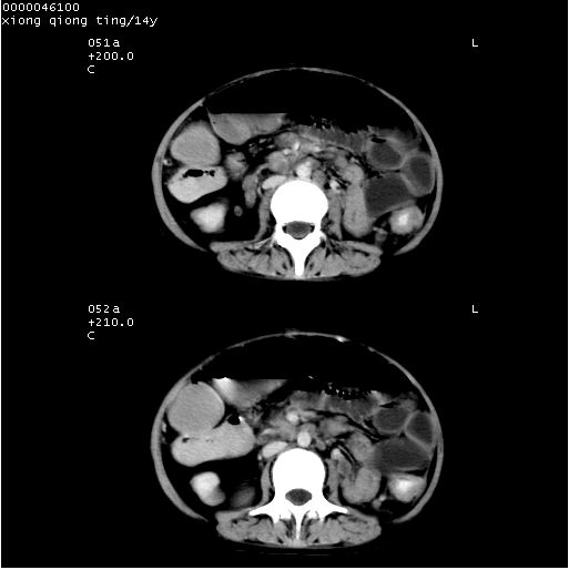
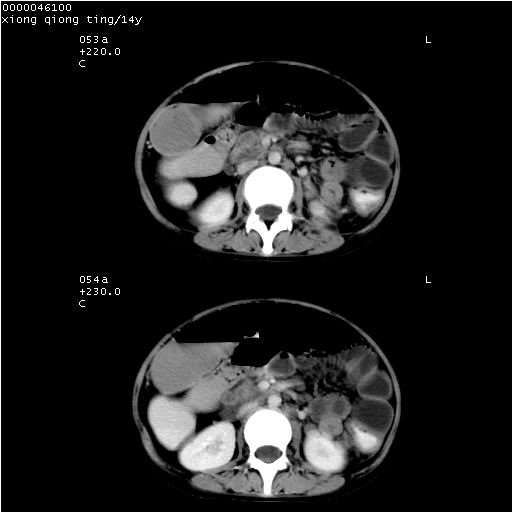
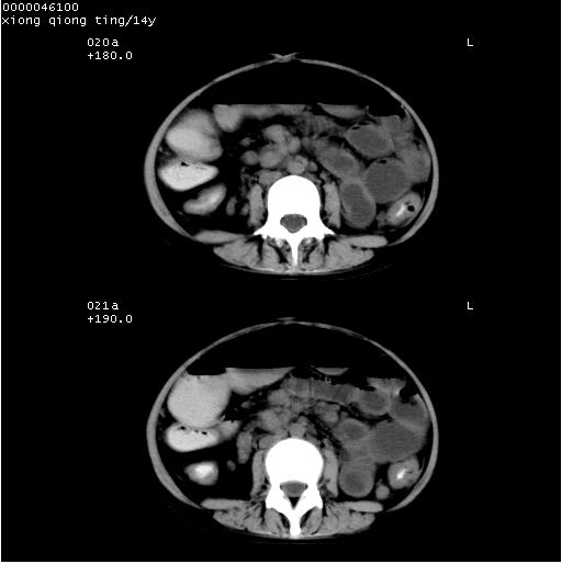
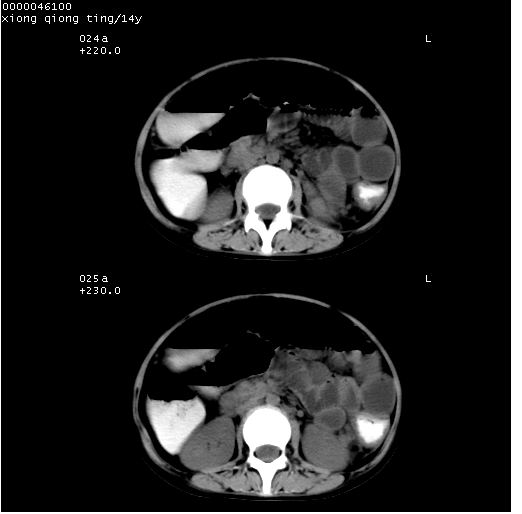
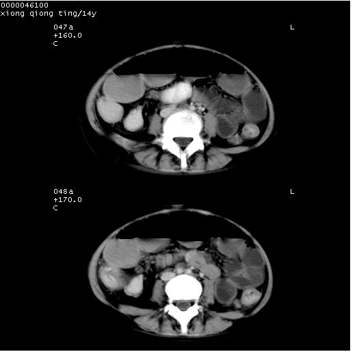
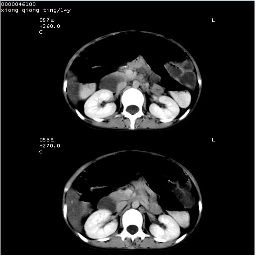
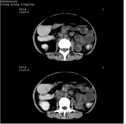
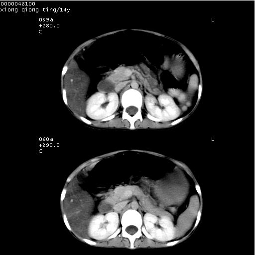
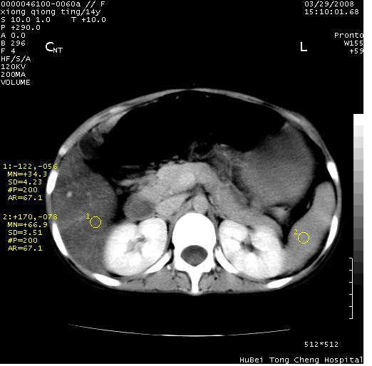
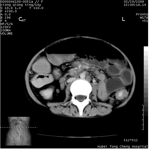
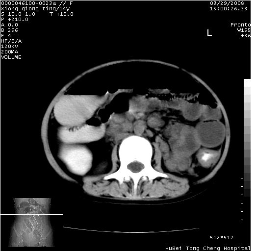
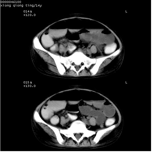
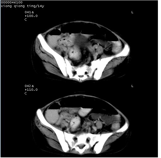
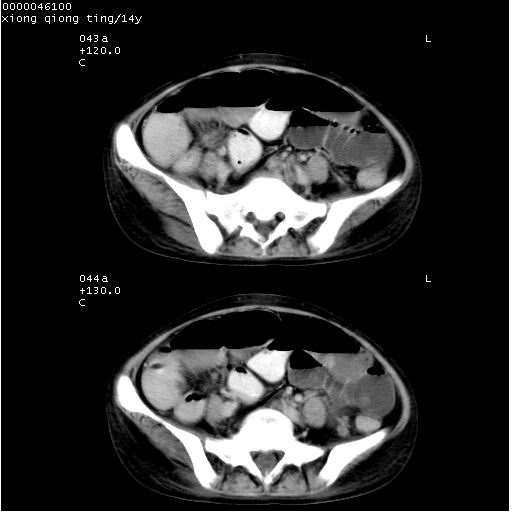
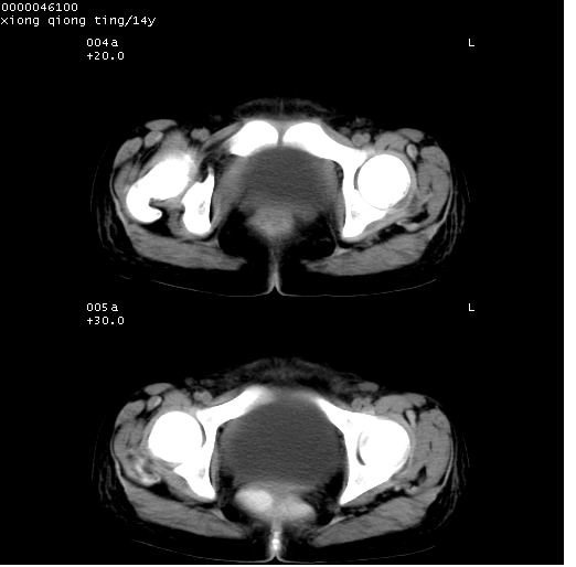
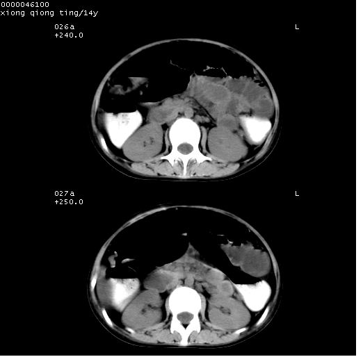
中下腹及盆腔ct轴位平扫+增强扫描(层厚10mm,螺距1.0,重建间隔10mm),图像如下:














































(注:患儿检查当日上午9时口服胃肠道对比剂,下午3时许行ct扫描检查,未行对比剂直肠保留灌肠,检查当日患儿腹泻)



[本贴已被 jiajie 于 2008-7-2 6:30:16 修改过]

作者: liaizhi    时间: 2008-4-2 19:22
考虑结核性腹膜炎并不完全性肠梗阻可能性大(1肠管积气扩张.2.腹膜厚淋巴结肿大.3盆腔积液.)
作者: 杀毒软件    时间: 2008-4-2 22:35
支持楼主考虑
作者: 同    时间: 2008-4-3 04:35
标题: 回复:ped0710:f,14y。肠梗阻?腹膜后淋巴结结核?
以下是引用liaizhi在2008-4-2 11:22:00的发言:[br]考虑结核性腹膜炎并不完全性肠梗阻可能性大(1肠管积气扩张.2.腹膜厚淋巴结肿大.3盆腔积液.)

作者: lishibao    时间: 2008-4-3 04:41
支持楼主考虑.
作者: happyverycd    时间: 2008-4-3 14:19
支持楼主考虑
作者: yangyudong333    时间: 2008-4-3 20:47
支持楼主考虑
作者: jiangjing    时间: 2008-4-3 22:46
不全性肠梗阻--结核可能
作者: shiqingfa    时间: 2008-4-4 03:50
支持楼主考虑
作者: zjzjr    时间: 2008-4-4 17:09
支持楼主考虑.
作者: hguox    时间: 2008-4-5 03:24
支持楼主考虑
作者: 黑白光影    时间: 2008-4-5 04:38
支持楼主考虑.
作者: jinguoji    时间: 2008-4-16 08:00
支持楼主.
作者: 深泽交通    时间: 2008-7-2 20:32
zhichi
作者: dyqct    时间: 2008-7-2 23:55
学习了。
作者: 拾荒者    时间: 2008-7-3 03:19
ped0710:1)结核性腹膜炎。2)腹膜后淋巴结结核。3)脂肪肝。
   
患儿住院期间相关辅助检查:
胸部cr x线正位片提示:两下肺纹理增粗,左膈面见幕状粘连。余未见明确异常。
血常规:wbc 4.7*10^9/l,中性0.45,淋巴0.40,单核0.15。
肥达氏反应(甲、乙、o、h):均为阴性。
类风湿因子:0.69u/ml(参考值0.0~25.0)。
抗“o”:207.6u/ml(参考值0~200)。
结核分枝杆菌抗体:阴性。
ppd试验:24小时强阳性,硬结平均直径30mm,外环半径18mm。
(临床体检:患儿手臂无卡介苗疤)

中下腹及盆腔ct轴位扫描(ps+ce)提示:腹部肠管明显充气扩张,并见数个不同宽度之气液平面;疑不全性肠梗阻或肠郁张。临床会诊考虑为患儿腹泻,肠郁张所致;后来未经特殊处理,患儿大便恢复正常,亦无腹胀。

临床出院诊断:1)结核性腹膜炎。2)腹膜后淋巴结结核。3)脂肪肝。

谢谢!
作者: 358450m    时间: 2008-7-4 09:37
标题: 回复:ped0710:f,14y。肠梗阻?腹膜后淋巴结结核?
以下是引用liaizhi在2008-4-2 11:22:00的发言:[br]考虑结核性腹膜炎并不完全性肠梗阻可能性大(1肠管积气扩张.2.腹膜厚淋巴结肿大.3盆腔积液.)

作者: ZHONGXINMR    时间: 2009-6-4 18:30
结果收到,谢谢
作者: 刘东升666666    时间: 2016-8-1 17:40
谢谢,学习了




欢迎光临 医影在线 (http://bbs.radida.com/bbs/) Powered by Discuz! X3.2