医影在线

标题: CT12613:男 60 5个月前脑出血手术 现头外伤来诊 [打印本页]

作者: 杀毒软件    时间: 2008-4-2 20:56
标题: CT12613:男 60 5个月前脑出血手术 现头外伤来诊














[本贴已被 jiajie 于 2008-4-2 16:36:51 修改过]

作者: liangshusheng    时间: 2008-4-2 21:39
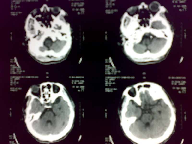
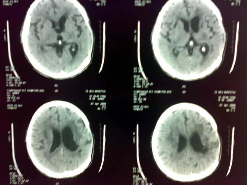
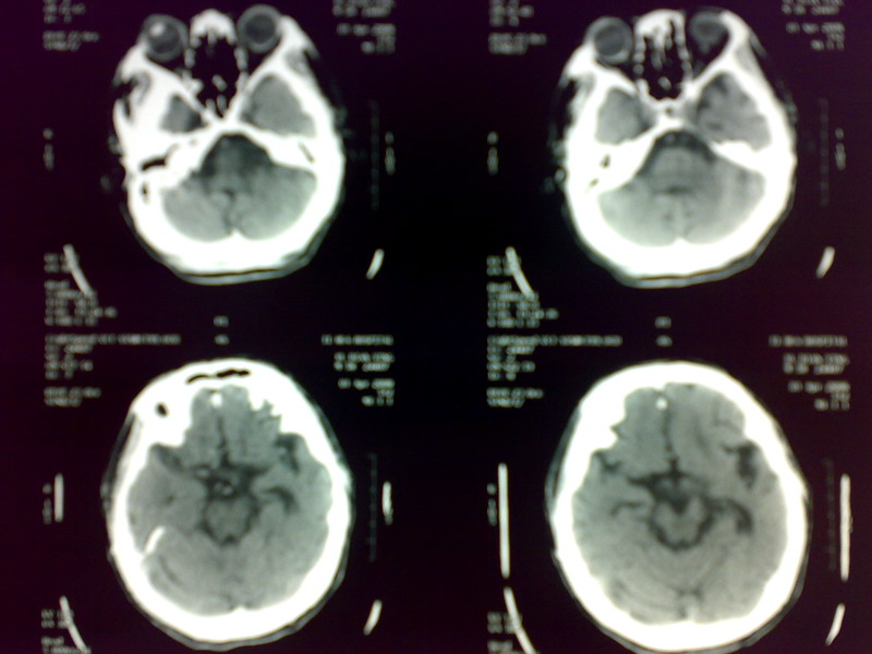
脑出血术后改变,皮层下动脉硬化性脑病,腔梗,脑萎缩
作者: yangyudong333    时间: 2008-4-2 22:05
支持
作者: lishibao    时间: 2008-4-2 22:09
支持
作者: 卜一    时间: 2008-4-2 22:36
支持:2楼!
作者: jinguoji    时间: 2008-4-2 22:45
标题: 回复:男 60 5个月前脑出血手术 现头外伤来诊
以下是引用liangshusheng在2008-4-2 13:39:00的发言:[br]脑出血术后改变,皮层下动脉硬化性脑病,腔梗,脑萎缩

支持!
作者: muzi888    时间: 2008-4-2 22:48
脑出血术后改变,皮层下动脉硬化性脑病,腔梗,脑萎缩
支持!
作者: 宇宙CT    时间: 2008-4-3 00:00
脑出血术后改变,皮层下动脉硬化性脑病,腔梗,脑萎缩
作者: zjzjr    时间: 2008-4-3 00:48
脑出血术后改变,皮层下动脉硬化性脑病,腔梗,脑萎缩
支持!
作者: dyqct    时间: 2008-4-3 00:50
考虑:1、左侧脑出血术后改变;
      2、脑白质稀疏症。
作者: wangjj555    时间: 2008-4-3 01:02
标题: 回复:ct12613:男 60 5个月前脑出血手术 现头外伤来诊
以下是引用muzi888在2008-4-2 14:48:00的发言:[br]脑出血术后改变,皮层下动脉硬化性脑病,腔梗,脑萎缩 [br]支持!

作者: 37度    时间: 2008-4-3 01:59
1.皮脑;
2.软化灶。
作者: Zouzd    时间: 2008-4-3 02:56
支持脑白质稀疏症
作者: 有风的日子    时间: 2008-4-3 03:38
1、脑出血术后改变 2、皮质下动脉硬化性病变 3、未见外伤性改变
2包括多发性脑梗塞、脑萎缩及脑白质病,再列出似有画蛇之嫌!
作者: 启航    时间: 2008-4-3 03:44
左侧脑出血术后改变,两侧基底节区多发脑软化灶及腔梗,脑白质变性,脑萎缩
作者: 启航    时间: 2008-4-3 03:46
左侧脑出血术后改变,两侧基底节区多发软化灶及腔梗,脑白质变性,脑萎缩
作者: xulianj    时间: 2008-4-3 04:49
脑出血术后改变,皮层下动脉硬化性脑病,腔梗,脑萎缩 。
支持!
作者: 拾荒者    时间: 2008-4-4 04:59
支持左侧脑出血术后改变,两侧基底节区多发软化灶及腔梗,脑白质变性。
作者: dr.yang    时间: 2008-11-17 06:24
脑出血术后改变,皮层下动脉硬化性脑病,腔梗,脑萎缩.支持~!!
作者: 学医    时间: 2008-11-17 06:39
1、脑出血术后改变;  2、皮层下动脉硬化性脑病。




欢迎光临 医影在线 (http://bbs.radida.com/bbs/) Powered by Discuz! X3.2