









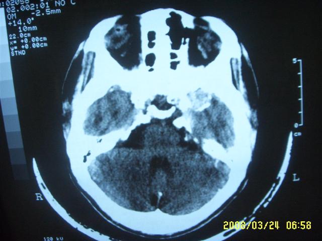
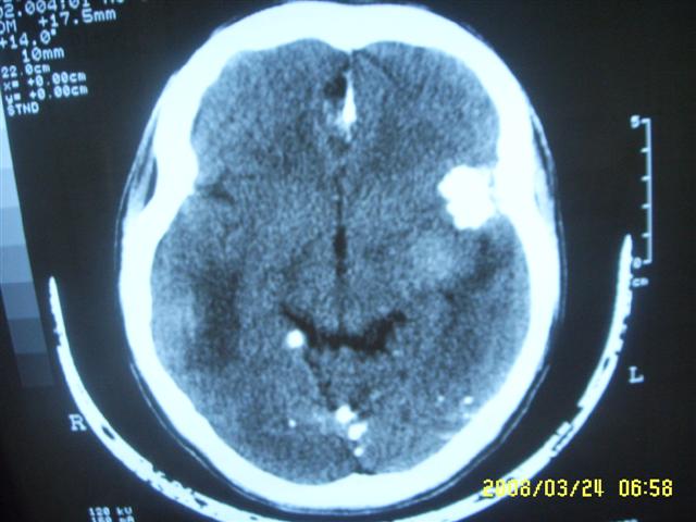
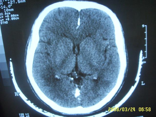
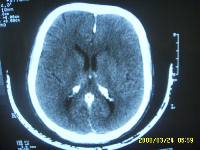
以下是引用dyqct在2008-4-2 20:09:00的发言:[br]考虑为:神经纤维瘤病(nf1型)。建议增强进一步检查。
以下是引用dyqct在2008-4-2 20:09:00的发言:[br]考虑为:神经纤维瘤病(nf1型)。建议增强进一步检查。
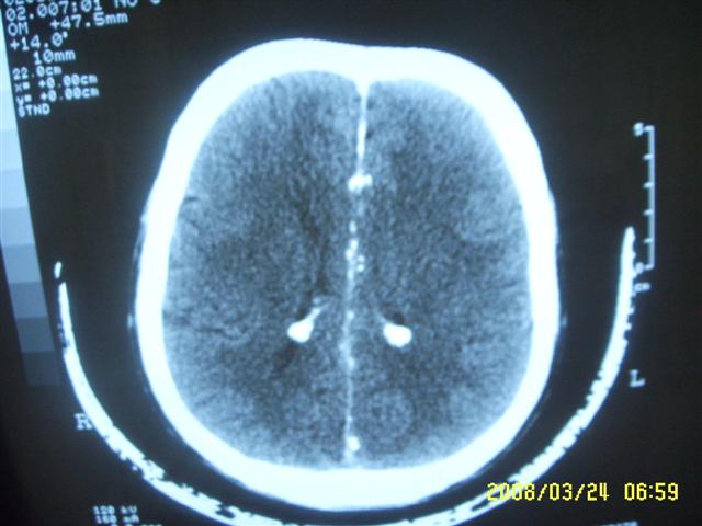
以下是引用杀毒软件在2008-4-2 20:52:00的发言:[br][quote]以下是引用dyqct在2008-4-2 20:09:00的发言:[br]考虑为:神经纤维瘤病(nf1型)。建议增强进一步检查。
以下是引用dyqct在2008-4-2 20:09:00的发言:[br]考虑为:神经纤维瘤病(nf1型)。建议增强进一步检查。
以下是引用dyqct在2008-4-2 20:09:00的发言:[br]考虑为:神经纤维瘤病(nf1型)。建议增强进一步检查。
| 欢迎光临 医影在线 (http://bbs.radida.com/bbs/) | Powered by Discuz! X3.2 |