医影在线

标题: CT12659:头外伤,现昏迷。 [打印本页]

作者: zhw974247    时间: 2008-4-5 05:33
标题: CT12659:头外伤,现昏迷。
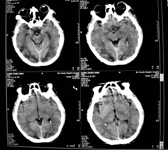
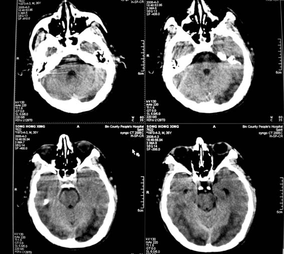
10天前,头、胸、腹及腿部外伤,当时有蛛网膜下腔出血,肺挫伤,肝脾破裂,腿部骨折,近两天昏迷。










作者: 形影不离    时间: 2008-4-5 05:50
考虑出血性脑梗塞。
作者: jiangjing    时间: 2008-4-5 07:46
脑挫裂伤,警惕外伤性脑梗塞
作者: xuhuihong    时间: 2008-4-5 08:45
蛛血伴出血性脑梗塞
作者: shiqingfa    时间: 2008-4-5 11:14
脑挫裂伤,警惕外伤性脑梗塞
作者: qc80012345    时间: 2008-4-5 13:41
脑挫裂伤;蛛血‘出血性脑梗塞
作者: yangyudong333    时间: 2008-4-5 14:24
脑挫裂伤;蛛血‘出血性脑梗塞,支持
作者: wymnet    时间: 2008-4-5 16:36
脑挫裂伤;蛛血‘出血性脑梗塞,支持
作者: zjzjr    时间: 2008-4-5 16:52
脑挫裂伤;蛛血
作者: 杀毒软件    时间: 2008-4-5 17:01
支持 脑挫裂伤;蛛血
作者: 徐飞    时间: 2008-4-5 18:03
若肝脾破裂大出血,致急剧血容量减少,可引起分水岭脑梗塞,
作者: 宇宙CT    时间: 2008-4-5 18:21
支持 脑挫裂伤;蛛血
作者: zhanglixian1985    时间: 2008-4-5 19:39
脑挫裂伤,蛛网膜下腔出血
作者: doc张    时间: 2008-4-5 19:46
符合白质剪切伤改变,另外调窗看一下额骨左侧有无骨折.
作者: gaoshengjiang    时间: 2008-4-5 19:55
蛛网膜下腔出血,弥漫性轴索损伤?
作者: xulianj    时间: 2008-4-5 23:22
脑挫裂伤?多发性脑梗塞。
作者: LIAOQIANG    时间: 2008-4-6 00:53
多发性脑梗塞。注意排除静脉瘘血栓形成。建议必要时mri检查。
作者: 光影★小胖    时间: 2008-4-6 03:25
蛛网膜下腔出血,弥漫性轴索损伤?  支持!
作者: 随光逐影    时间: 2008-4-6 03:25
考虑为:弥漫性轴索损伤。
作者: 拾荒者    时间: 2008-4-6 04:40
脑挫裂伤,警惕外伤性脑梗塞。
作者: dyqct    时间: 2008-4-8 04:37
支持:脑挫裂伤;蛛血,建议定期复查。
作者: sharp1900b    时间: 2010-1-14 17:48
sah,dai,双枕顶叶外伤性脑梗死。dai的受伤机制是脑的瞬间旋转作用和脑内剪切力所致。临床表现为昏迷出现早,昏迷程度深,昏迷持续时间长,恢复不完全。ct表现为脑白质区散在的局灶出血点,颅内高压表现不明显。




欢迎光临 医影在线 (http://bbs.radida.com/bbs/) Powered by Discuz! X3.2