













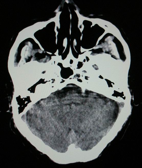
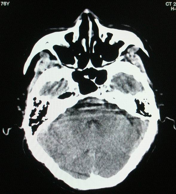
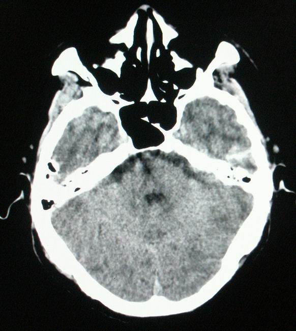
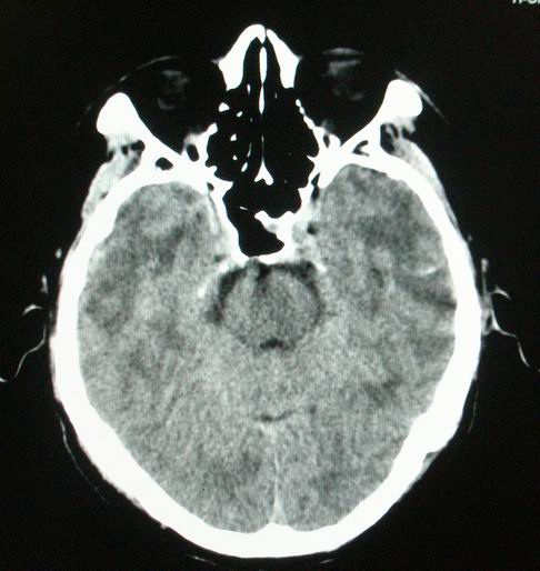
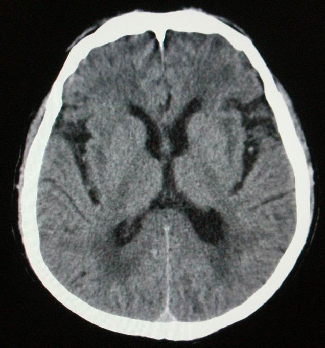
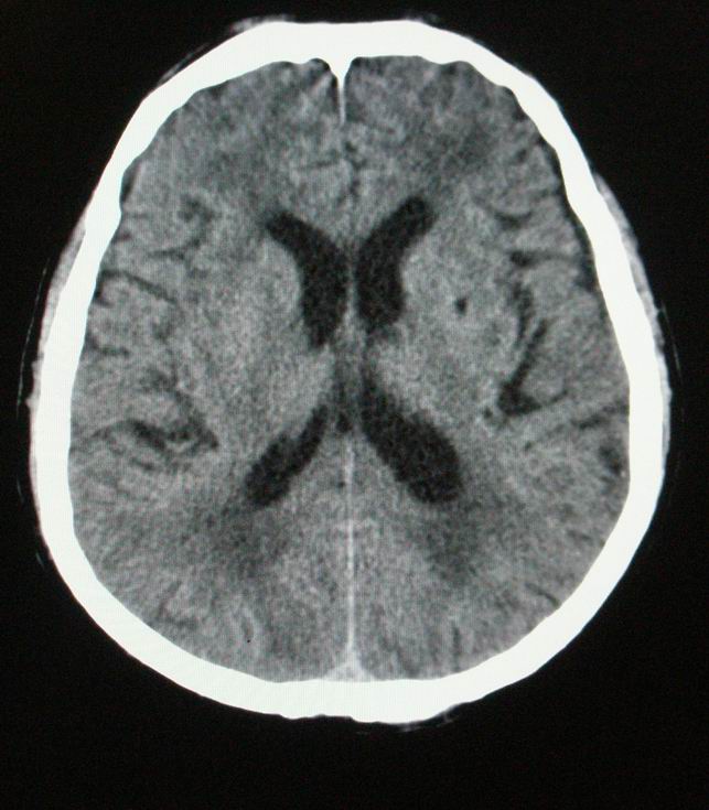
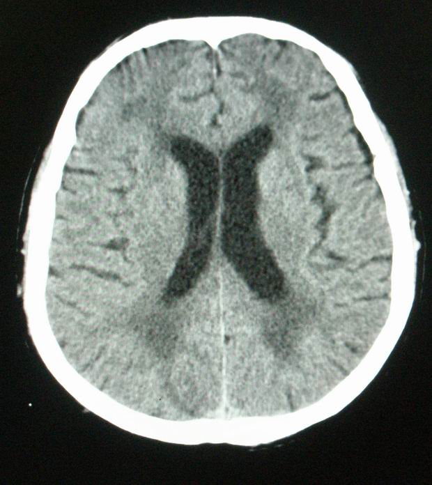
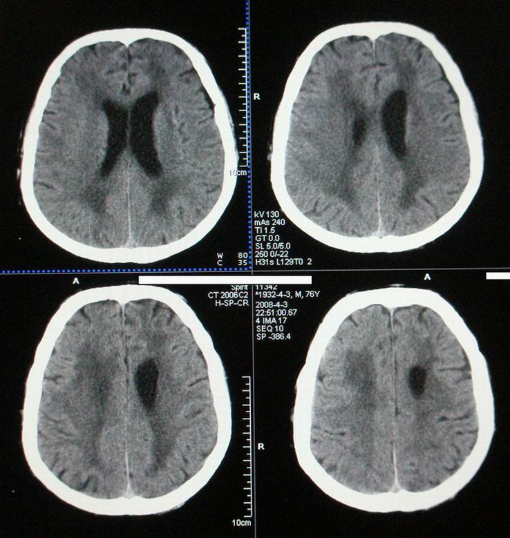
以下是引用随光逐影在2008-4-5 7:46:00的发言:[br]1)考虑为:多发性脑转移瘤。建议:行进一步检查。2)多发性腔隙性脑梗塞。3)脑白质病。4)脑萎缩。
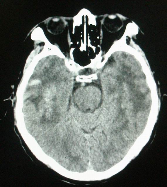
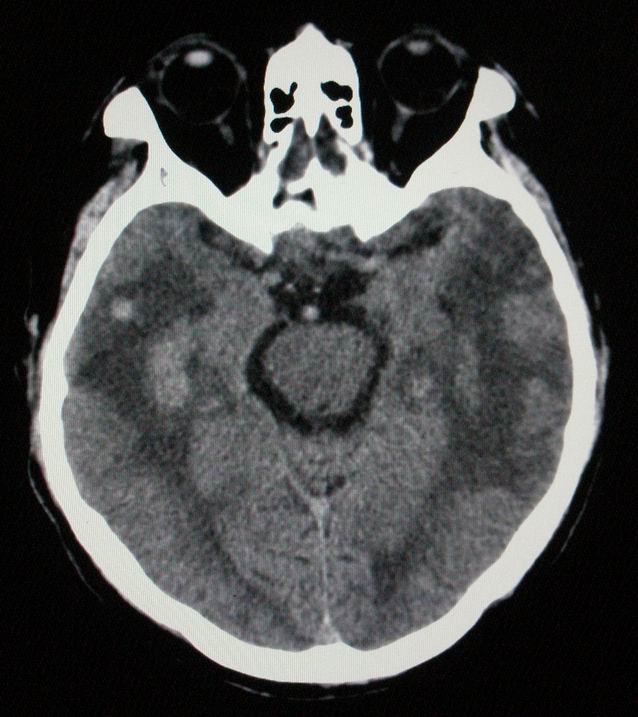
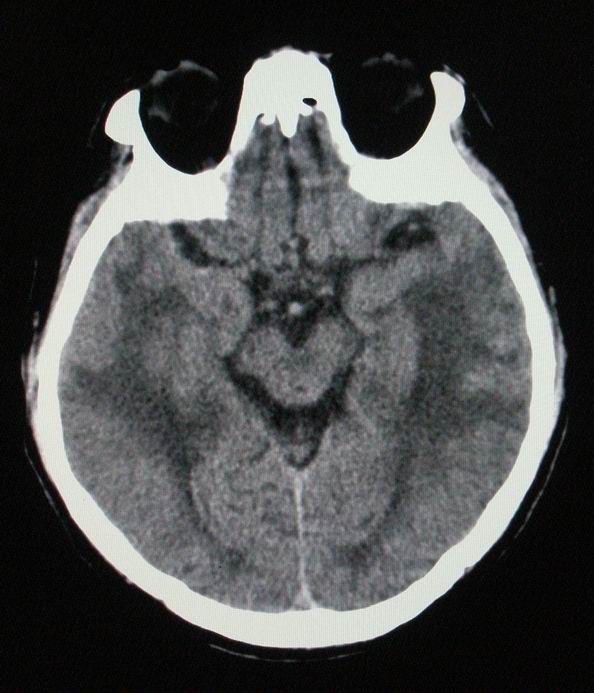
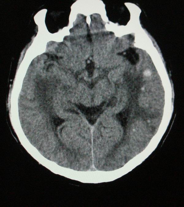
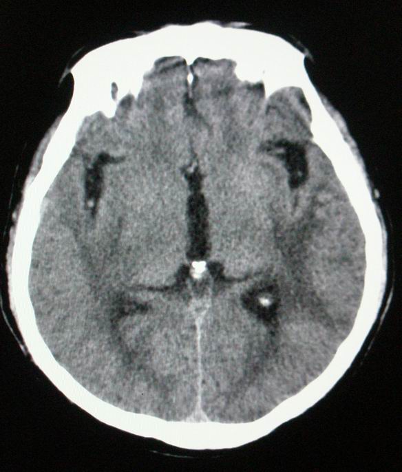
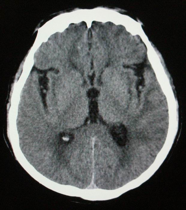
以下是引用zjzjr在2008-4-5 9:00:00的发言:[br]1.双侧颞叶占位性病变,考虑为转移瘤可能性大。[br]2.左侧基底节区陈旧性腔隙性脑梗塞。[br]3.脑白质病。建议mri进一步检查。
以下是引用xuhuihong在2008-4-5 0:59:00的发言:[br]1.双侧颞叶占位性病变,考虑为转移瘤可能性大。[br]2.左侧基底节区陈旧性腔隙性脑梗塞。[br]3.脑白质病。建议mri进一步检查。
以下是引用形影不离在2008-4-4 23:29:00的发言:[br]1.双侧颞叶占位性病变,考虑为转移瘤可能性大。[br]2.左侧基底节区陈旧性腔隙性脑梗塞。[br]3.脑白质病。
以下是引用zjzjr在2008-4-5 9:00:00的发言:[br]1.双侧颞叶占位性病变,考虑为转移瘤可能性大。[br]2.左侧基底节区陈旧性腔隙性脑梗塞。[br]3.脑白质病。建议mri进一步检查。
| 欢迎光临 医影在线 (http://bbs.radida.com/bbs/) | Powered by Discuz! X3.2 |