医影在线

标题: CT12677:女性,57岁,疼痛数月。 [打印本页]

作者: 黑白影子    时间: 2008-4-6 04:35
标题: CT12677:女性,57岁,疼痛数月。


















[本贴已被 翁志蓬 于 2008-4-5 22:54:48 修改过]

作者: xulianj    时间: 2008-4-6 04:50
考虑椎体恶性肿瘤可能大
作者: yangyudong333    时间: 2008-4-6 04:56
考虑骨巨细胞瘤可能性大
作者: 影像孺子牛    时间: 2008-4-6 05:08
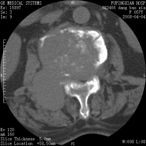
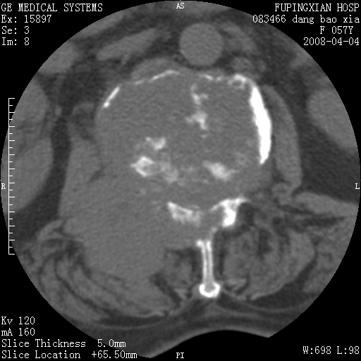
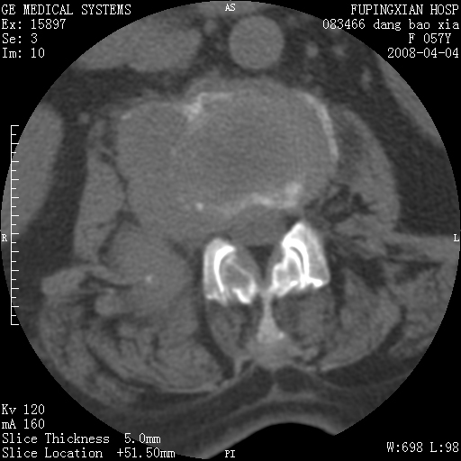
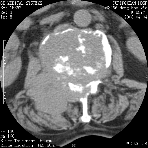
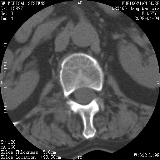
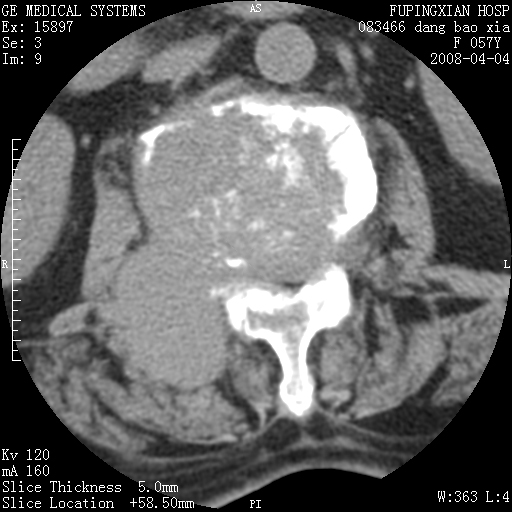
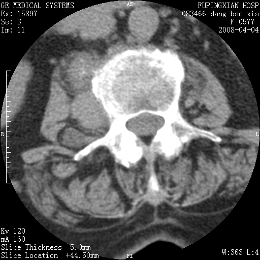
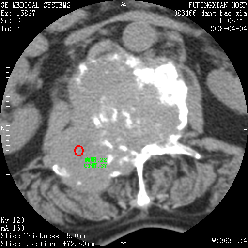
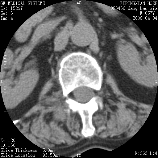
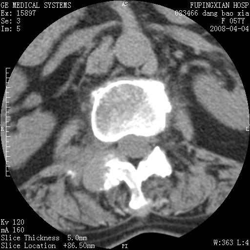
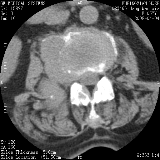
椎体及附件骨质破坏同时伴软组织肿块,首先考虑恶性肿瘤。
作者: xxhwh    时间: 2008-4-6 05:22
标题: 回复:疼痛数月
以下是引用影像孺子牛在2008-4-5 21:08:00的发言:[br]椎体及附件骨质破坏同时伴软组织肿块,首先考虑恶性肿瘤。

作者: 光影★小胖    时间: 2008-4-6 05:41
恶性肿瘤。不排除转移瘤。
作者: 江边学者    时间: 2008-4-6 05:42
椎体及附件骨质破坏,伴软组织肿块,首先考虑恶性骨肿瘤,建议提供正侧位片。
作者: 杀毒软件    时间: 2008-4-6 06:06
椎体恶性肿瘤可能大
作者: 联众之王    时间: 2008-4-6 06:19
骨组织起源,膨胀,软组织肿块=恶性改变:首选骨巨,其次转移瘤,再次脊索瘤
作者: xysheng    时间: 2008-4-6 06:42
支持巨细胞瘤
作者: 老俏    时间: 2008-4-6 16:17
首先考虑饿心恶性肿瘤,转移瘤可能
作者: 卜一    时间: 2008-4-6 16:27
以下是引用影像孺子牛在2008-4-5 21:08:00的发言:
椎体及附件骨质破坏同时伴软组织肿块,首先考虑恶性肿瘤。
支持!
作者: 王仕学    时间: 2008-4-6 16:41
椎体恶性肿瘤可能大
作者: zjzjr    时间: 2008-4-6 16:53
转移瘤 .
作者: 深泽交通    时间: 2008-4-6 18:11
病灶见多部位;转移瘤
作者: zsl6918    时间: 2008-4-6 18:20
查原发灶吧,考虑转移瘤。老年人出现骨肿瘤首先要除外转移瘤及骨髓瘤。
作者: panyishengct    时间: 2008-4-6 20:49
椎体恶性肿瘤可能大
作者: doc张    时间: 2008-4-6 21:02
转移瘤可能.
作者: 宋振波    时间: 2008-4-6 21:16
椎体及附件骨质破坏,伴软组织肿块,首先考虑恶性,不排除转移瘤.
作者: zhangkai    时间: 2008-4-6 23:43
考虑转移瘤。
作者: 随光逐影    时间: 2008-4-7 00:18
椎体恶性肿瘤(转移瘤?)可能性大。
作者: 拾荒者    时间: 2008-4-7 04:02
椎体及附件溶骨性破坏,周围巨大软组织肿块,首先考虑转移瘤。
作者: jinguoji    时间: 2008-4-7 06:02
椎体及附件骨质破坏同时伴软组织肿块,首先考虑恶性肿瘤,不排除转移瘤。
作者: dyqct    时间: 2008-4-8 03:30
支持腰椎转移瘤。
作者: dr.yang    时间: 2011-11-27 23:18
椎体及附件溶骨性破坏,周围巨大软组织肿块,首先考虑转移瘤。
作者: zjb    时间: 2011-11-28 16:15
恶性肿瘤。不排除转移瘤




欢迎光临 医影在线 (http://bbs.radida.com/bbs/) Powered by Discuz! X3.2