
















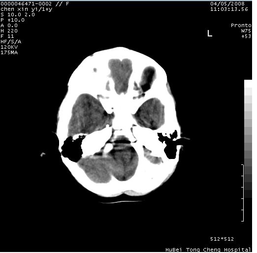
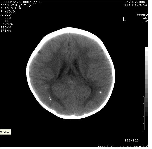
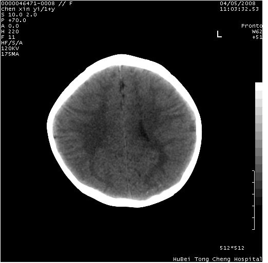
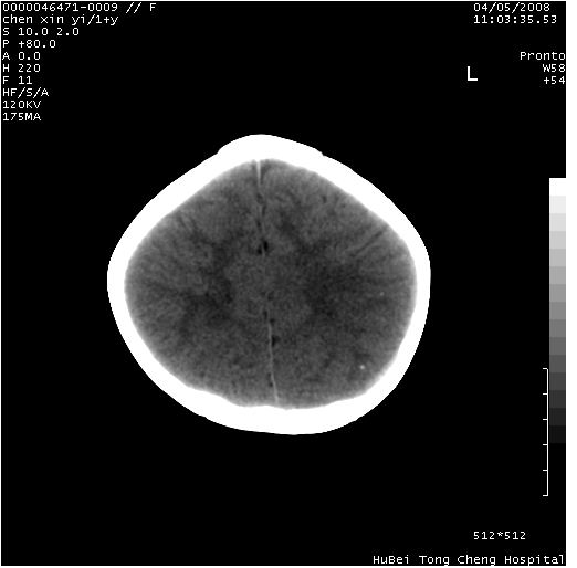
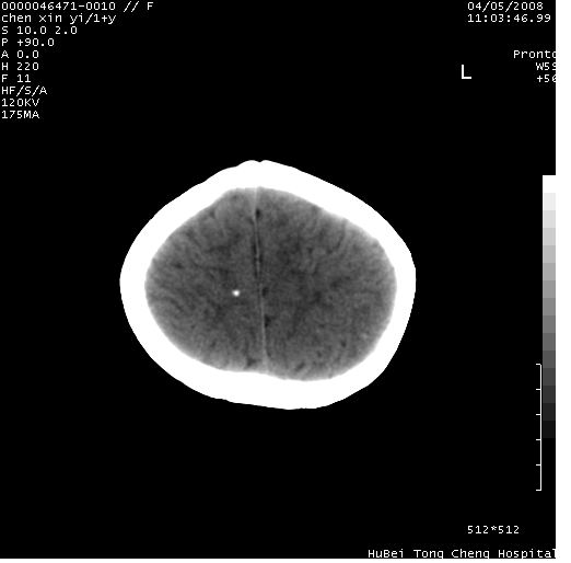
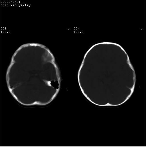
以下是引用zhangzhongshou在2008-4-9 12:54:00的发言:[br]请结合病史,有以下可能1、炎性肉芽肿钙化(含结核)2、寄生虫钙化(含脑囊虫)3、其他良性钙化性病变
以下是引用zhangzhongshou在2008-4-9 12:54:00的发言:[br]请结合病史,有以下可能1、炎性肉芽肿钙化(含结核)2、寄生虫钙化(含脑囊虫)3、其他良性钙化性病变
| 欢迎光临 医影在线 (http://bbs.radida.com/bbs/) | Powered by Discuz! X3.2 |