医影在线

标题: PED0725:头部CT [打印本页]

作者: liaizhi    时间: 2008-4-10 06:10
标题: PED0725:头部CT
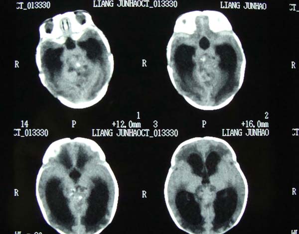
病史,xxx,男,10个月,前囟饱满.呕吐.







[本贴已被 翁志蓬 于 2008-4-9 23:37:40 修改过]

作者: 形影不离    时间: 2008-4-10 06:37
考虑第四脑室室管膜瘤并阻塞性脑积水。
作者: 光线    时间: 2008-4-10 06:49
小脑蚓部髓母细胞瘤?第四脑室室管膜瘤?合并重度阻塞性脑积水。
作者: yangyudong333    时间: 2008-4-10 15:10
考虑四脑室脉络丛乳头状瘤或室管膜瘤并阻塞性脑积水
作者: lcfu_13    时间: 2008-4-10 20:31
考虑四脑室室管膜瘤伴阻塞性炎症。
作者: 杀毒软件    时间: 2008-4-11 00:14
支持
考虑第四脑室室管膜瘤并阻塞性脑积水
作者: 子期    时间: 2008-4-11 00:34
该病例除了上面老师们说的外,我认为还不能排除畸胎瘤.
作者: dyqct    时间: 2008-4-11 01:23
考虑第四脑室室管膜瘤或髓母细胞瘤并阻塞性脑积水。
作者: jiangjing    时间: 2008-4-11 01:36
考虑  畸胎瘤或室管膜瘤或生殖细胞瘤
作者: 沉默是金    时间: 2008-4-11 03:57
考虑四脑室室管膜瘤并梗阻性脑积水
作者: 深泽交通    时间: 2008-4-12 00:18
髓母瘤;脑积水
作者: hsy666    时间: 2008-4-12 04:52
诊断:髓母细胞瘤并梗阻性脑积水.
依椐:颅后窝中线小脑蚓部占位,病灶内呈混杂密度,四脑室受压前移,第三脑室及侧脑室扩张.
作者: 王仕学    时间: 2008-4-12 23:03
考虑第四脑室室管膜瘤或髓母细胞瘤并阻塞性脑积水。
作者: 卜一    时间: 2008-4-13 01:07
畸胎瘤,室管膜瘤,髓母细胞瘤!
作者: liuchunlei    时间: 2008-4-13 05:38
髓母细胞瘤
作者: jinguoji    时间: 2008-4-16 07:43
考虑第四脑室室管膜瘤或髓母细胞瘤并阻塞性脑积水。
作者: yuhongjun    时间: 2010-8-15 02:22
考虑第四脑室室管膜瘤或髓母细胞瘤并阻塞性脑积水。




欢迎光临 医影在线 (http://bbs.radida.com/bbs/) Powered by Discuz! X3.2