医影在线
标题: CT12767:肝脏病变请会诊 [打印本页]
作者: zhao641 时间: 2008-4-11 01:11
标题: CT12767:肝脏病变请会诊





































[本贴已被 jiajie 于 2008-4-10 18:26:21 修改过]
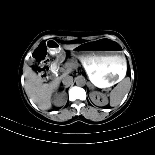
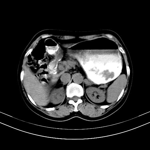
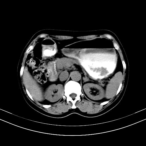
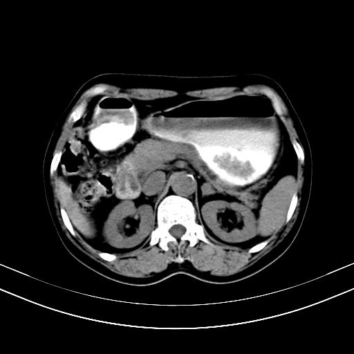
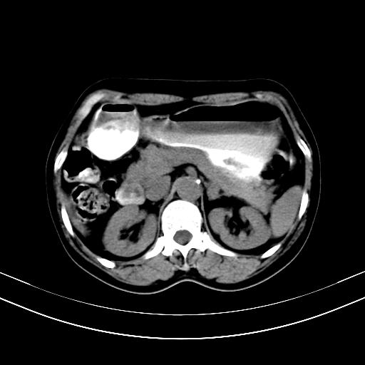
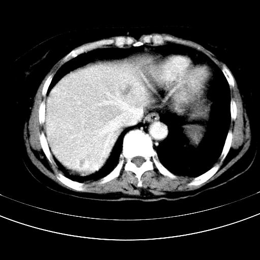
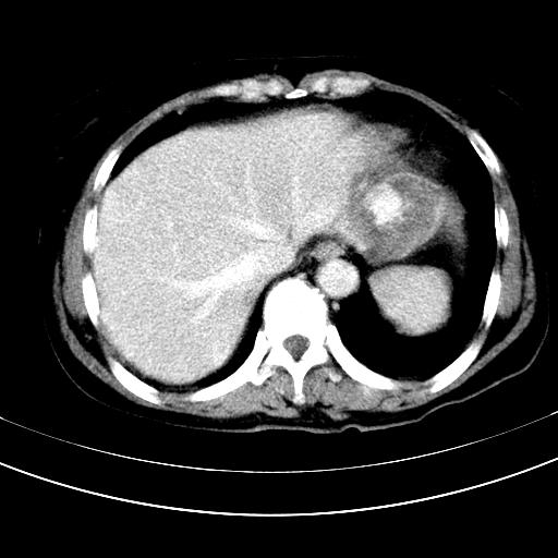
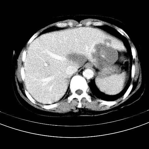
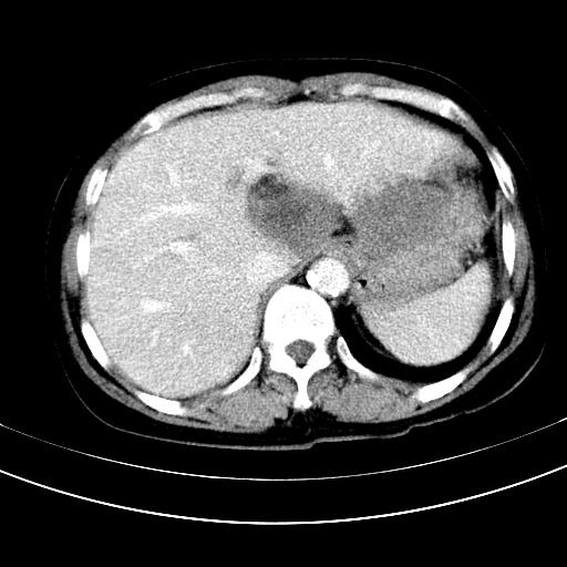
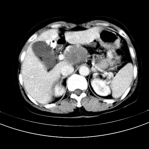
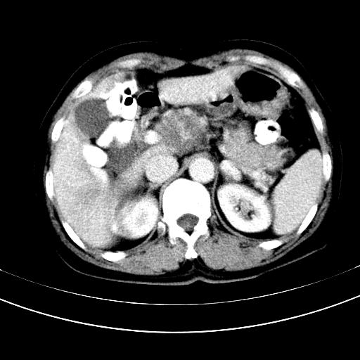
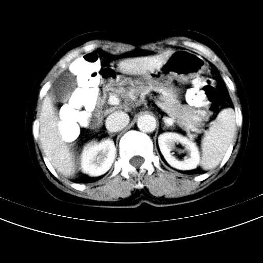
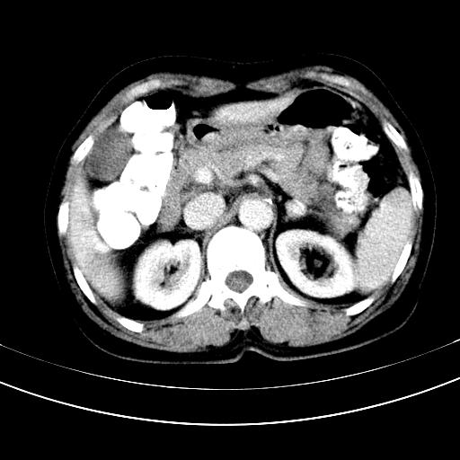
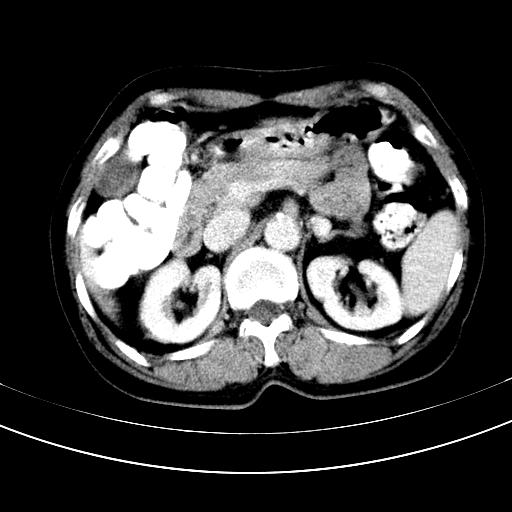
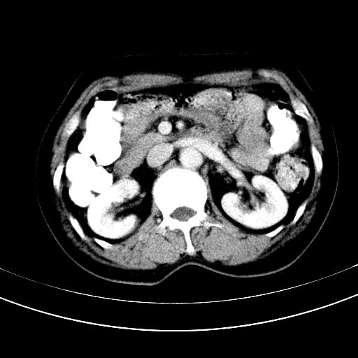
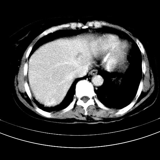
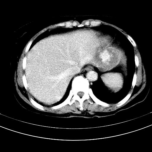
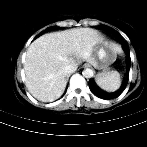
补充强化片

























[本贴已被 zhao641 于 2008-4-11 14:46:41 修改过]
作者: swyyy2007 时间: 2008-4-11 01:17
胃内见充盈缺损,建议行胃镜病理检查,如果胃内无占位,则肝内考虑左叶、尾叶为包膜型肝癌,如有则考虑为转移瘤
作者: hanlongjiang 时间: 2008-4-11 01:37
胃内的充盈缺损,当时让患者俯卧位在扫描一下就 好了,当然最好是增强扫描,肝脏的病灶平扫很难定性,可以考虑是肝癌·血管瘤·转移瘤!
作者: 道哥 时间: 2008-4-11 02:23
胃内见充盈缺损,建议行胃镜病理检查,如果胃内无占位,则肝内考虑左叶、尾叶为包膜型肝癌,如有则考虑为转移瘤,左侧肾上腺 明显增大,成结节改变,本人考虑转移瘤可能性大。
作者: peijunlong 时间: 2008-4-11 02:39
胃内的充盈缺损因胃壁不厚,我个人考虑为胃内残留物。肝左叶及尾叶病灶,我首先考虑血管瘤,其次为肝癌。(尾叶的更低密度区太规整)
作者: zhengfaming 时间: 2008-4-11 02:47
胃内见充盈缺损,最好查胃镜
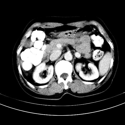
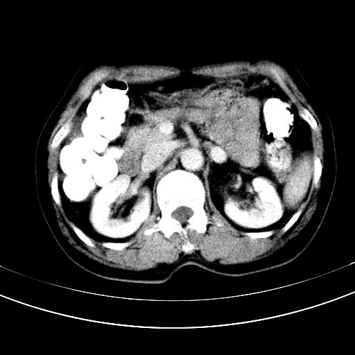
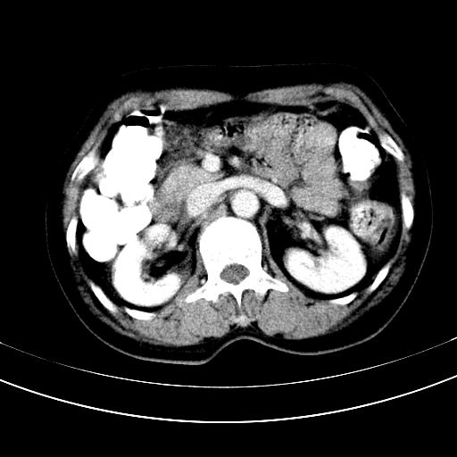
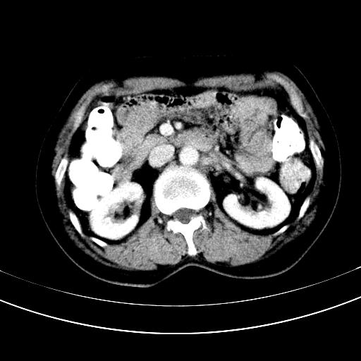
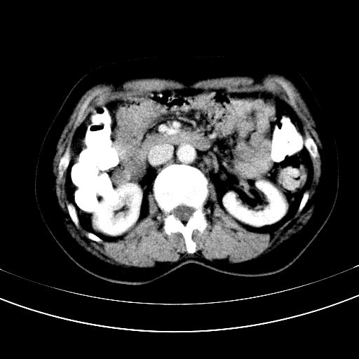
肝脏左叶和尾叶均见略低密度影,尾叶病变内见坏死?其边界清晰,形态规整1血管瘤,2肝癌待排
胆囊内见一略高密度影,息肉?
作者: 小小大夫 时间: 2008-4-11 02:52
肾脏前方的是什么,肾上腺吗,
作者: 沉默是金 时间: 2008-4-11 03:22
1.肝左叶及尾叶占位建议增强2.肝硬化
作者: zhw974247 时间: 2008-4-11 03:43
胃内见充盈缺损,建议胃透或胃镜检查。
肝脏左叶和尾叶均见略低密度影,尾叶病变内见坏死?其边界清晰,形态规整1血管瘤,2肝癌待排3建议增强。
作者: qiushi 时间: 2008-4-11 03:47
胃内的充盈缺损,当时让患者俯卧位在扫描一下就好了,增强扫描,肝脏的病灶平扫很难定性.
作者: 杀毒软件 时间: 2008-4-11 03:55
增强看
作者: 求知若渴 时间: 2008-4-11 04:23
标题: 回复:ct12767:肝脏病变请会诊

作者: zjzjr 时间: 2008-4-11 04:27
只能增强.
作者: xulianj 时间: 2008-4-11 04:56
胃内见充盈缺损,建议胃透或胃镜检查。
肝脏左叶和尾叶均见略低密度影,尾叶病变内见坏死?其边界清晰,形态规整1血管瘤,2肝癌待排3建议增强。
作者: panyishengct 时间: 2008-4-11 05:04
增强扫描
作者: jsgdoctor 时间: 2008-4-11 05:08
胃内的充盈缺损,当时让患者俯卧位在扫描一下就 好了,当然最好是增强扫描,肝脏的病灶平扫很难定性,可以考虑是肝癌·血管瘤·转移瘤!
作者: 影像孺子牛 时间: 2008-4-11 05:54
增强吧,不然都在猜。
作者: gaoshengjiang 时间: 2008-4-11 06:17
胃内充盈缺损考虑为胃内存留物,肝左叶和尾状叶两个病灶,均为低密度,建议增强。
作者: dyqct 时间: 2008-4-11 06:53
禁食、增强后再定吧!
作者: 云里 时间: 2008-4-11 07:30
胃内改变考虑存留物。
肝脏考虑血管瘤可能大,不做增强是很难定性的。
作者: wanghuiyellf 时间: 2008-4-11 07:55
禁食、增强后再定吧!
作者: liuyue 时间: 2008-4-11 08:13
考虑:胃体小弯侧胃癌(或平滑肌瘤恶化或平滑肌肉瘤)伴肝转移,左侧肾上腺转移不除外.
作者: xxhwh 时间: 2008-4-11 08:47
胃内充盈缺损考虑为肿瘤,肝尾叶及左叶肿块考虑转移瘤
作者: 眼睛 时间: 2008-4-11 10:17
标题: 回复:ct12767:肝脏病变请会诊
以下是引用zhw974247在2008-4-10 19:43:00的发言:[br]胃内见充盈缺损,建议胃透或胃镜检查。[br]肝脏左叶和尾叶均见略低密度影,尾叶病变内见坏死?其边界清晰,形态规整1血管瘤,2肝癌待排3建议增强。
支持
作者: 卜一 时间: 2008-4-11 12:47
增强后再讨论!
作者: happyverycd 时间: 2008-4-11 13:48
增强扫描
作者: qc80012345 时间: 2008-4-11 14:30
胃癌肝内转移及肾上腺转移。
作者: zsl6918 时间: 2008-4-11 17:17
不强化不好说!肝内像是血管瘤,胃底考虑间质瘤。脾静脉还有曲张的可能。本病例必须强化明确!
作者: qiuleiyu 时间: 2008-4-11 17:24
胃窦部占位伴肝及左肾上腺转移可能大,建议增强扫描。
作者: 宇宙CT 时间: 2008-4-11 18:15
增强扫描
作者: 晓杰 时间: 2008-4-11 18:29
胃内的充盈缺损,当时让患者俯卧位在扫描一下就好了,增强扫描,肝脏的病灶平扫很难定性.
作者: jiangjing 时间: 2008-4-11 18:48
肝脏左叶和尾叶均见略低密度影,尾叶病变内见坏死?其边界清晰,形态规整1血管瘤,2肝癌待排3建议增强或结合临床及超声与实验室检查
作者: 阿康2008 时间: 2008-4-11 19:00
建议增强(喝水,不要喝碘水)
作者: xuhuihong 时间: 2008-4-11 19:12
禁食、增强后再定吧!
作者: 拾荒者 时间: 2008-4-12 04:24
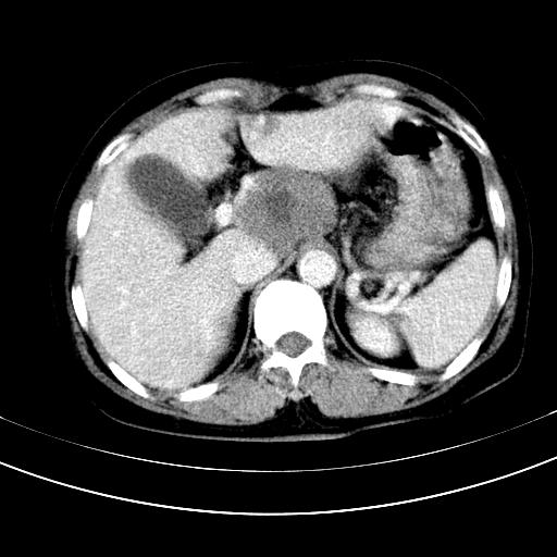
肝左叶及尾叶低密度灶,增强有渐进性明显强化,考虑血管瘤。胃内“充缺”首先要排除异物(食物),变换体位可鉴别。增强时机抓的不好,还应该有延时像。
作者: hanlongjiang 时间: 2008-4-14 21:53
谢谢楼主的增强片子,平扫没发现左侧肾上腺的问题很不好意思,可惜片子只有门脉期,所以还只有猜,肝脏的病灶在门脉期部分强化,首先考虑为血管瘤(其他的用一种病不好解释)胃要喝水就好了现在不好说是否有问题,左肾上腺的问题考虑是肿瘤。
作者: Little330 时间: 2008-4-15 00:51
做了增强后,可以明确胃是没有肿瘤的,肾上腺也没有肿瘤.肝左叶的病灶首先考虑血管瘤,应该再延迟,肝尾状叶的病灶仍不能排除肝癌的可能性.
| 欢迎光临 医影在线 (http://bbs.radida.com/bbs/) |
Powered by Discuz! X3.2 |