医影在线

标题: CT12793:CT [打印本页]

作者: 火山    时间: 2008-4-12 05:52
标题: CT12793:CT
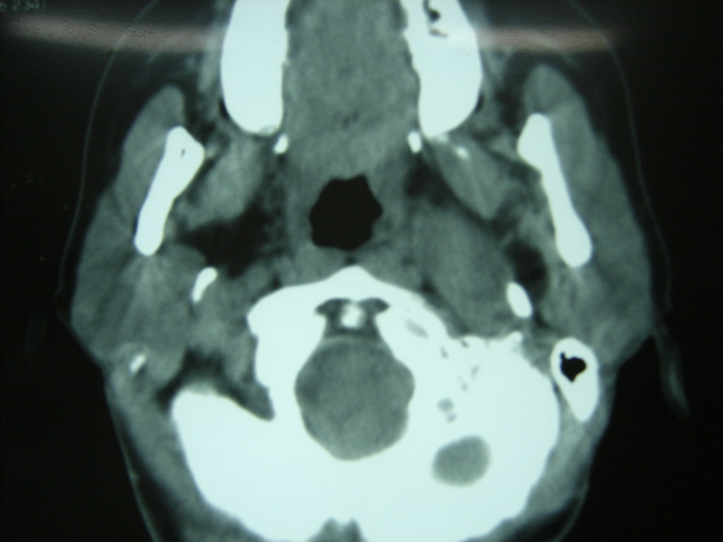
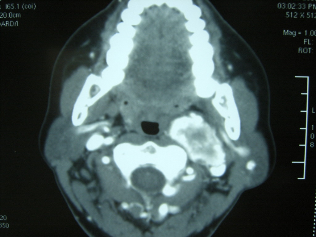
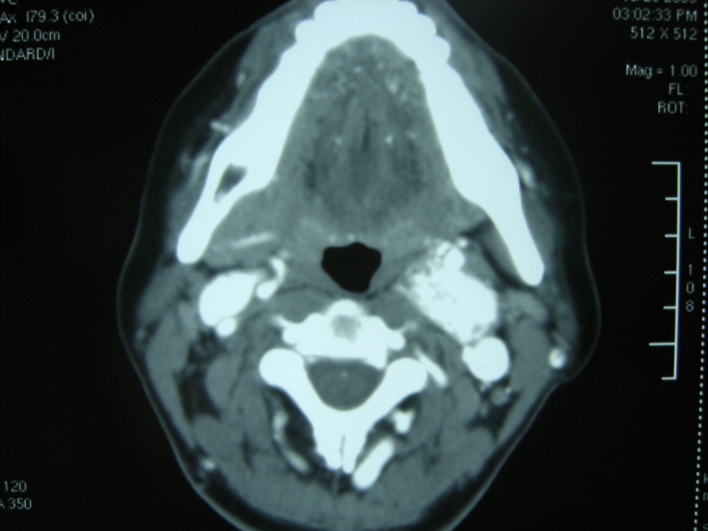
女,48岁,左颈部增粗,不适一年,伴左侧面麻.









[本贴已被 翁志蓬 于 2008-4-11 23:26:20 修改过]

作者: 火山    时间: 2008-4-12 05:54
考考你
作者: 联众之王    时间: 2008-4-12 06:09
血管源性肿瘤:颈动脉体瘤?待排,巨淋巴结增生
作者: 随光逐影    时间: 2008-4-12 06:30
左侧颈动脉体瘤可能性大。
作者: panyishengct    时间: 2008-4-12 06:48
左侧颈动脉体瘤
作者: 摘星空竹子    时间: 2008-4-12 07:11
支持楼上意见
作者: xuhuihong    时间: 2008-4-12 07:41
左侧颈动脉体瘤
作者: liuyue    时间: 2008-4-12 07:43
左侧颈动脉体瘤可能性大.
支持.
作者: 卜一    时间: 2008-4-12 12:27
左侧颈动脉体瘤可能性大.
支持!!!
作者: 宝天曼    时间: 2008-4-12 13:41
左侧颈动脉体瘤可能性大。
作者: 杀毒软件    时间: 2008-4-12 22:22
支持左侧颈动脉体瘤可能性大
作者: yangyudong333    时间: 2008-4-12 22:27
左侧颈动脉体瘤可能性大。
作者: 王仕学    时间: 2008-4-12 22:36
左侧颈动脉体瘤可能性大.
支持!!!
作者: 形影不离    时间: 2008-4-12 22:39
支持 左侧颈动脉体瘤可能性大。
作者: qc80012345    时间: 2008-4-12 22:47
颈动脉体瘤
作者: zjzjr    时间: 2008-4-12 23:41
支持 左侧颈动脉体瘤可能性大。
作者: zxczxc    时间: 2008-4-13 02:04
增强明显,考虑左侧颈动脉体瘤可能性大。
作者: zsl6918    时间: 2008-4-13 02:14
颈动脉体瘤,不除外副节瘤。
作者: dyqct    时间: 2008-4-13 03:23
左侧颈动脉体部肿瘤(以化学感受器肿瘤)可能性大。
作者: xulianj    时间: 2008-4-13 04:26
左侧颈动脉体瘤可能性大.
支持.
作者: jinguoji    时间: 2008-4-13 05:35
左侧颈动脉体瘤可能性大。
作者: 拾荒者    时间: 2008-4-13 05:58
支持考虑左侧颈动脉体瘤可能性大。
作者: 火山    时间: 2008-4-25 05:26
答案:颈动脉体瘤  此患者已于赤峰220医院手术,
作者: dyqct    时间: 2008-6-4 00:17
考虑:左侧颈动脉体瘤(化学感受器瘤?)可能性大。




欢迎光临 医影在线 (http://bbs.radida.com/bbs/) Powered by Discuz! X3.2