


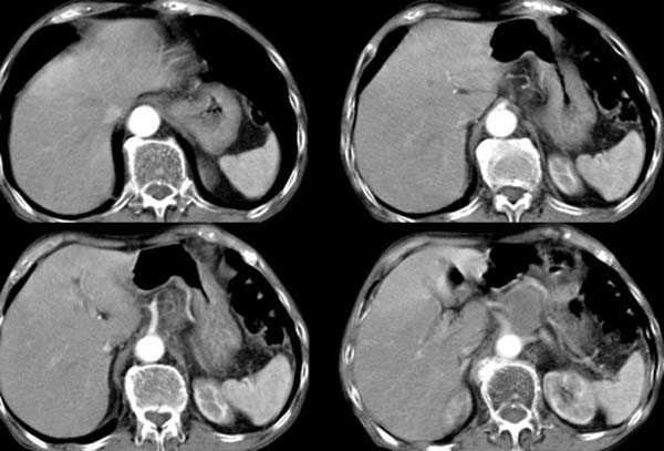
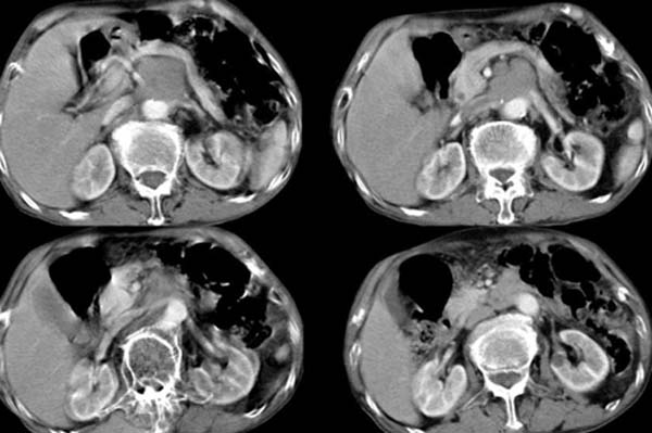
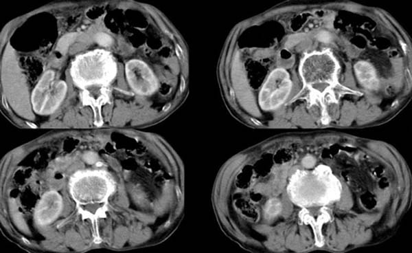
以下是引用光线在2008-4-12 22:16:00的发言:[br]腹主动脉前软组织块影,考虑为多个肿大淋巴结融合,淋巴瘤可能性大。
以下是引用zsl6918在2008-4-12 22:27:00的发言:[br]肝内未见异常密度灶,脾脏大小如常,腹主动脉旁可见一肿大淋巴结影,密度均匀,未见明显坏死表现。腹腔干被包绕,但未见明显侵犯,胃腔充盈尚可,未见明显占位表现。胰腺显示良好,略示前方移位。考虑腹膜后淋巴瘤可能性大。依据,转移瘤多有坏死表现,且有恶性肿瘤病史。第二,淋巴瘤未经治疗很少出现坏死表现,此点符合。第三,腹膜后其他肿瘤已经发现一般较大,本病例结节大小符合肿大淋巴结的表现。故首先考虑淋巴瘤。建议临床进一步检查其他部位的情况,另外结合实验室检查,注意病人有无贫血及低热表现。
| 欢迎光临 医影在线 (http://bbs.radida.com/bbs/) | Powered by Discuz! X3.2 |