医影在线

标题: CT12809:男36岁,自感上腹胀5天,B超诊断为脾肾之间占位,血 [打印本页]

作者: 正峰    时间: 2008-4-13 06:51
标题: CT12809:男36岁,自感上腹胀5天,B超诊断为脾肾之间占位,血
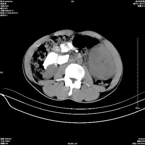
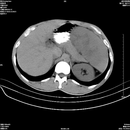
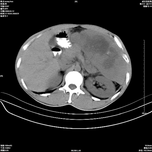
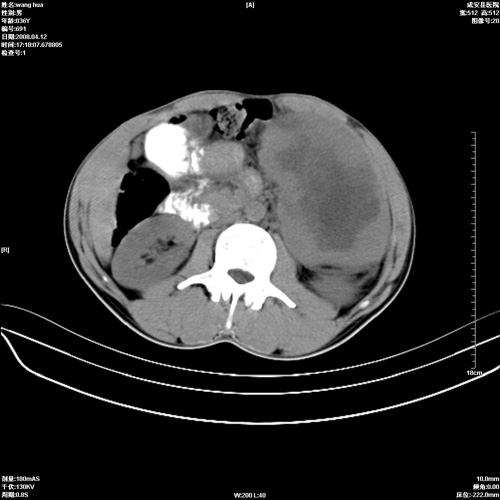
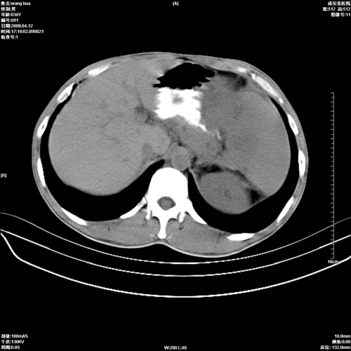
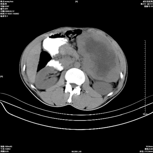
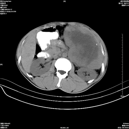
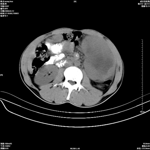
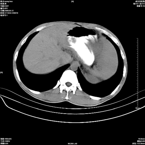
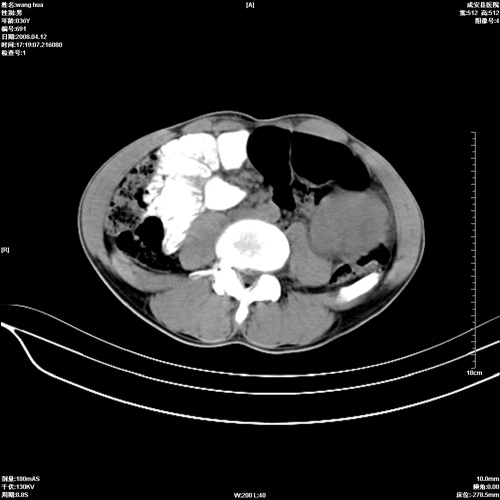
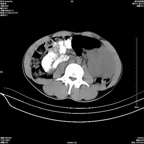
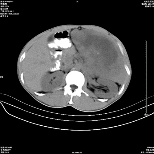
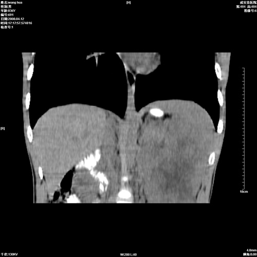
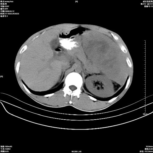
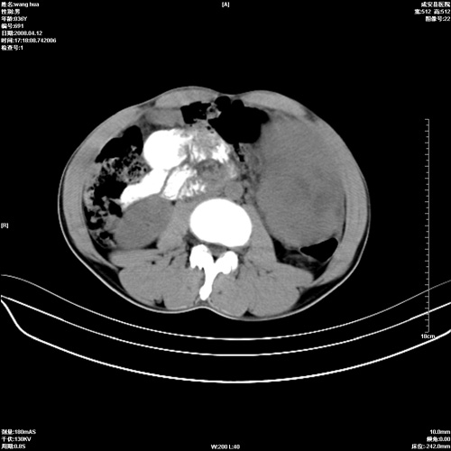
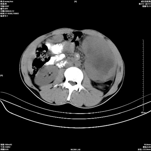
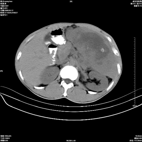
请各位老师先分析一下定位 明天做增强

























[本贴已被 jiajie 于 2008-4-12 23:48:55 修改过]

作者: zsl6918    时间: 2008-4-13 06:58
确实需要强化!先大胆预测一下,来源于脾脏的占位,血管瘤或淋巴瘤可能性大。
作者: xxhwh    时间: 2008-4-13 07:05
脾脏肿瘤,有钙化,增强再说
作者: geyoq    时间: 2008-4-13 07:08
应该属于脾脏占位,增强后再确定。
作者: zoukunxi    时间: 2008-4-13 07:51
应该是脾脏的占位;淋巴瘤可能,增强效果好
作者: 有风的日子    时间: 2008-4-13 07:53
有没有外伤史呀!没有也要考虑自发性脾破裂可能。不除外脾恶性占位可能。
作者: liuyue    时间: 2008-4-13 07:56
脾脏病变,性质待定.考虑:血管瘤可能性大,淋巴瘤不除外.
作者: 随光逐影    时间: 2008-4-13 08:08
脾脏占位性病变,肿瘤可能性大。
作者: 卜一    时间: 2008-4-13 12:39
脾脏占位性病变,肿瘤可能性大,建议增强。
作者: wjyd    时间: 2008-4-13 14:28
脾脏病变,密度不均,可见钙化,考虑脾血管瘤,建议增强
作者: qc80012345    时间: 2008-4-13 14:51
做增强扫描,进一步确诊脾脏占位性质。
作者: 宇宙CT    时间: 2008-4-13 15:07
脾脏病变,性质待定.考虑:血管瘤可能性大,淋巴瘤不除外.
作者: yangyudong333    时间: 2008-4-13 15:08
脾脏占位性病变,肿瘤可能性大,建议增强。
作者: 形影不离    时间: 2008-4-13 16:11
脾脏占位性病变,血管瘤可能性大,建议增强。
作者: wnlyq8688    时间: 2008-4-13 16:24
脾脏占位性病变,肿瘤可能性大,建议增强。
作者: zjzjr    时间: 2008-4-13 18:03
脾脏占位性病变,肿瘤可能性大。
作者: hanlongjiang    时间: 2008-4-13 18:34
来源可以考虑是脾脏,性质只有增强后才能考虑,不过血管瘤的可能性大。
作者: gaoshengjiang    时间: 2008-4-13 19:59
脾脏占位性病变,血管瘤的可能性大。建议增强。
作者: doc张    时间: 2008-4-13 20:05
脾脏血管肉瘤的可能。增强意义不大。
作者: sjh753    时间: 2008-4-13 20:10
病变应该来源于脾脏,良性占位可能性大,不太象脾破裂,增强再说吧
作者: panyishengct    时间: 2008-4-14 01:49
应该属于脾脏占位,增强后再确定。
作者: dyqct    时间: 2008-4-14 04:31
标题: 回复:ct12809:男36岁,自感上腹胀5天,b超诊断为脾肾之间
以下是引用zsl6918在2008-4-12 22:58:00的发言:[br]确实需要强化!先大胆预测一下,来源于脾脏的占位,血管瘤或淋巴瘤可能性大。

支持!
作者: xulianj    时间: 2008-4-14 05:10
脾脏占位性病变,肿瘤可能性大,建议增强。
作者: 拾荒者    时间: 2008-4-14 05:17
脾脏明显增大,其内见巨大低密度灶,境界不清,病史较短,考虑恶性病变脾血管内皮细胞肉瘤可能。建议增强扫描与脾脏淋巴瘤及血管瘤鉴别。
作者: jinguoji    时间: 2008-4-14 20:50
脾脏占位性病变,肿瘤可能性大,建议增强。
作者: hanlongjiang    时间: 2008-4-14 21:28
请19楼的老师分析一下你的诊断好吗




欢迎光临 医影在线 (http://bbs.radida.com/bbs/) Powered by Discuz! X3.2