





















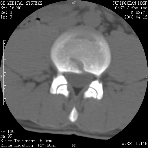
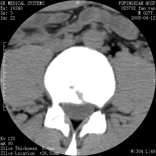
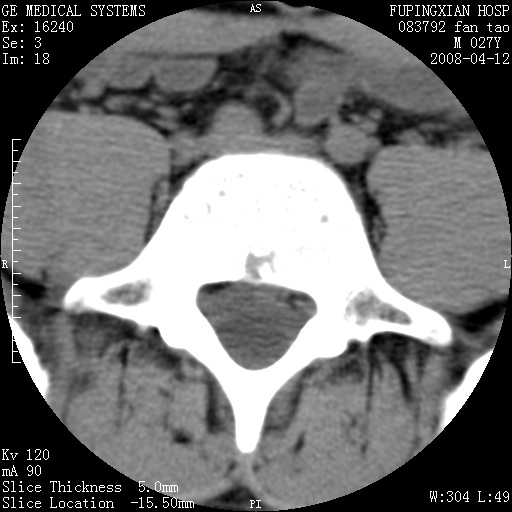
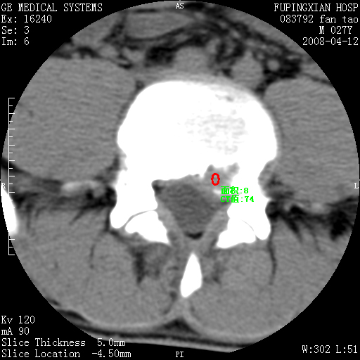
以下是引用前行在2008-4-13 13:53:00的发言:[br]椎间盘髓核终板下突出形成许莫氏结节及椎间盘突出,建议mr检查
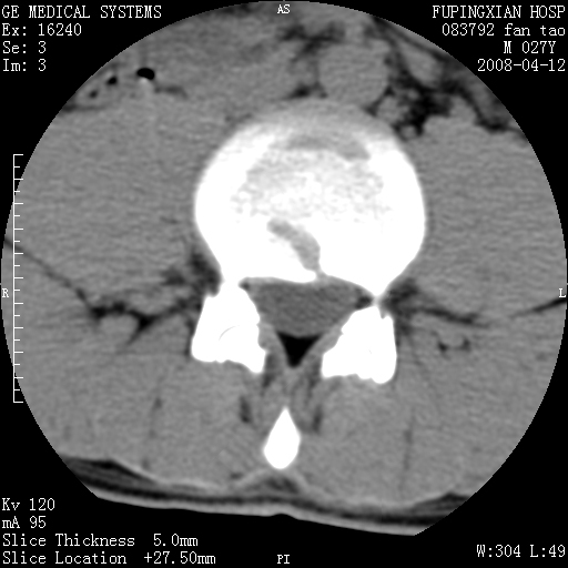
以下是引用xclzq_910在2008-4-13 12:43:00的发言:[br]这个应该没什么了,椎间盘突出后反应性骨质吸收硬化.建议mr
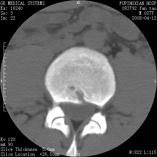
以下是引用形影不离在2008-4-13 16:03:00的发言:[br][quote]以下是引用前行在2008-4-13 13:53:00的发言:[br]椎间盘髓核终板下突出形成许莫氏结节及椎间盘突出,建议mr检查
以下是引用前行在2008-4-13 13:53:00的发言:[br]椎间盘髓核终板下突出形成许莫氏结节及椎间盘突出,建议mr检查
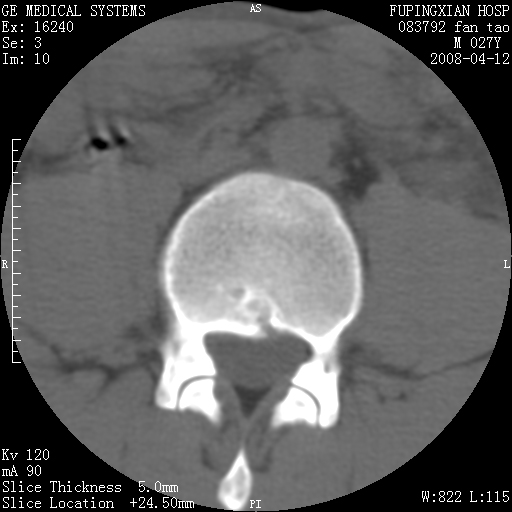
以下是引用前行在2008-4-13 13:53:00的发言:[br]椎间盘髓核终板下突出形成许莫氏结节及椎间盘突出,建议mr检查
以下是引用dyqct在2008-4-13 20:13:00的发言:[br][quote]以下是引用形影不离在2008-4-13 16:03:00的发言:[br][quote]以下是引用前行在2008-4-13 13:53:00的发言:[br]椎间盘髓核终板下突出形成许莫氏结节及椎间盘突出,建议mr检查
| 欢迎光临 医影在线 (http://bbs.radida.com/bbs/) | Powered by Discuz! X3.2 |