医影在线
标题: PED0736:女6岁,很重 [打印本页]
作者: aiqinhai 时间: 2008-4-14 22:25
标题: PED0736:女6岁,很重
(结果公布:http://www.radida.com/bbs/forum.php?mod=viewthread&tid=38590)
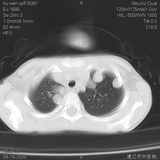
女, 6岁 ,反复咳嗽2周,近两日发热伴右侧胸痛















































[本贴已被 jiajie 于 2008-5-1 21:27:10 修改过]
作者: dyqct 时间: 2008-4-15 00:17
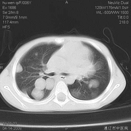
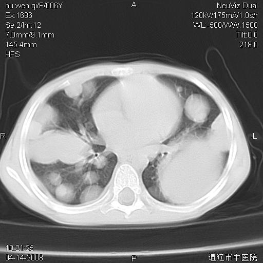
两肺多发似葡萄状大小不等高密度区,边界清楚,部分见薄壁空洞。左胸壁后方见局限性高密度区,边界清楚,广基与后侧胸壁相连。
考虑:1、金黄色葡萄球肺炎(血源性);
2、左侧包裹性积液;
3、建议严格抗炎治疗后复查。
作者: zhangkai 时间: 2008-4-15 00:39
不排除转移瘤可能。
期待结果。
作者: yangyudong333 时间: 2008-4-15 00:41
考虑血源性肺脓肿
作者: 杀毒软件 时间: 2008-4-15 01:02
转移病变,肉芽肿病灶,化脓菌感染均有可能
作者: hguox 时间: 2008-4-15 01:06
两肺多发似葡萄状大小不等高密度影,边界清楚,部分见薄壁空洞。左胸壁后方见局限性高密度区,边界清楚,广基与后侧胸壁相连。另示:脾大
考虑:1、金黄色葡萄球肺炎(血源性);
2 肺包囊虫病
3、左侧包裹性积液;
期待结果
作者: 深泽交通 时间: 2008-4-15 01:14
病灶边缘干净;纵隔有肿大淋巴结;不过左肺尖结节有空洞;?
作者: jiajie 时间: 2008-4-15 03:03
标题: 回复:ped0736:女6岁,很重

[本贴已被 jiajie 于 2008-4-14 20:15:19 修改过]
作者: 前行 时间: 2008-4-15 04:22
转移瘤
作者: 形影不离 时间: 2008-4-15 05:35
转移瘤可能性大。
作者: clj20 时间: 2008-4-15 07:18
两肺多发结节状高密度阴影,边界清楚,部分见薄壁空洞,双侧叶间包裹积液;脾大。可能诊断:1、机遇性感染,肺努卡氏菌病;2、血源性葡萄球肺炎
作者: 宝天曼 时间: 2008-4-15 14:41
不排除转移瘤可能。
期待结果。
作者: 王仕学 时间: 2008-4-15 17:04
期待结果。
作者: 随光逐影 时间: 2008-4-15 19:50
1)考虑为:金黄色葡萄球菌肺炎;不排除两肺多发性转移瘤。2)左上腹(膈下)占位性病变;鉴别于脓肿与肿瘤之间。
作者: liangshusheng 时间: 2008-4-15 20:06
母细胞瘤肺转移可能
作者: 沉默是金 时间: 2008-4-16 04:20
1.肺转移瘤?2.肺胞虫病不除外
作者: jinguoji 时间: 2008-4-16 07:11
支持考虑神经母细胞瘤肺部转移。
作者: wnlyq8688 时间: 2008-4-16 17:41
标题: 回复:ped0736:女6岁,很重
以下是引用jiajie在2008-4-14 19:03:00的发言:[br]
[br][br][br][本贴已被 jiajie 于 2008-4-14 20:15:19 修改过]
支持!!
作者: wnlyq8688 时间: 2008-4-16 20:15
标题: 1
本病例很象郎格罕斯细胞肉芽肿病
--------------------------------------------------------------------------------------
郎格罕斯细胞组织细胞增生症( 简称lch)曾称为组织细胞增生症x,是一组由郎格罕斯细胞为主的组织细胞在单核巨噬细胞系统广泛增殖、浸润为基本病理特征的疾病,好发于骨、肺、肝脾、骨髓、淋巴结和皮肤等。传统上本病分为三个临床综合征:勒雪氏病、韩— 薜— 柯综合征、骨嗜酸肉芽肿。近代根据病变受累范围分为局限性疾病和广泛性疾病组。前者病变较局限,仅累及一个器官系统,例如骨骼、皮肤、肺,多见于年长儿童,病变进展缓慢,预后较好;后者病变广泛累及多个系统,多见于婴幼儿,病程常进展较快,病死率较高。本病发病机理尚未完全阐明,目前多认为是由细胞因子介导的反应性克隆性增殖所致。病毒感染与发病可能有关。
【诊断】
( 一)临床表现
1. 一般表现常见发热、苍白、衰竭等,多见于多系统病变者。
2. 骨骼损害常侵犯颅骨,包括颅盖骨、颌骨及眶骨,于颅盖骨病变处可触及地图样缺损区。其次见于肋骨、四肢管状骨。可为单个骨也可为多处骨质受累。受侵骨邻近软组织受累可出现包块等改变。骨病灶局部可有痛疼、肿胀、行走困难或骨折,椎骨受累压迫神经可出现相应部位神经系统体征。
3. 肝、脾、淋巴结肿大,少部分病例可见黄疸。
4. 皮疹躯干、四肢及头颈部皮肤均可因浸润出现特异性皮疹,多为暗红色2~3mm大小的斑丘疹,顶端有尖或呈出血性、湿疹样皮疹,亦可为黄色瘤样斑丘疹。
5. 肺部浸润表现常有反复咳嗽,重症可见喘憋和青紫,肺部可出现音,亦可发生肺气肿、气胸。
6.病变骨邻近组织受累表现,例如乳突及中耳受侵出现耳流脓,眶骨受累出现突眼,蝶鞍骨受侵引起尿崩症,颌骨病灶引起牙松动及脱落等。
7. 反复腹泻。
[本贴已被 jiajie 于 2008-4-16 13:46:23 修改过]
作者: 卜一 时间: 2008-4-16 23:30
两肺多发似葡萄状大小不等高密度区,边界清楚,部分见薄壁空洞。左胸壁后方见局限性高密度区,边界清楚,广基与后侧胸壁相连。
考虑:1、金黄色葡萄球肺炎(血源性);
2、左侧包裹性积液;
3、建议严格抗炎治疗后复查。
支持!!!
作者: jiangjing 时间: 2008-4-17 01:03
转移病变[神经母细胞瘤]或化脓菌感染[金匍肺炎]均有可能
作者: 光影相伴 时间: 2008-4-17 03:38
支持楼主。
作者: 寒月残冰 时间: 2008-4-18 00:16
支持血源性葡萄球菌感染包裹性积液可能性大
作者: ljchenshiying 时间: 2008-4-18 03:23
转移瘤可能性大。
作者: LIAOQIANG 时间: 2008-4-21 19:30
左肺下叶肿块伴双肺多发大小不一结节。考虑血源性金黄色葡萄球肺炎。
作者: aiqinhai 时间: 2008-4-28 15:51
谢谢各位的诊断意见,结果已经出来了,是神经母细胞瘤肺转移,原发病灶在肾,现在已进行放、化疗。
作者: jinguoji 时间: 2008-5-2 05:45
标题: 回复:ped0736:女6岁,很重
以下是引用aiqinhai在2008-4-28 7:51:00的发言:[br]谢谢各位的诊断意见,结果已经出来了,是神经母细胞瘤肺转移,原发病灶在肾,现在已进行放、化疗。[br]
结果收到,学习了,谢谢!
作者: 358450m 时间: 2008-5-2 09:11
学习了,谢谢
作者: 拾荒者 时间: 2008-5-4 05:11
这么小的孩子就要接受放、化疗的这么,真是太不幸了!
作者: hexue 时间: 2008-5-5 09:13
谢谢 学习了
作者: ZHONGXINMR 时间: 2009-6-2 00:42
收到,谢谢
作者: ZHONGXINMR 时间: 2009-6-2 00:44
原发应该是在肾上腺
| 欢迎光临 医影在线 (http://bbs.radida.com/bbs/) |
Powered by Discuz! X3.2 |