医影在线

标题: CT12858:女,52岁,胎甲球蛋白861肝左叶占位,肝癌。下腔静 [打印本页]

作者: 72xiang.zi    时间: 2008-4-15 06:46
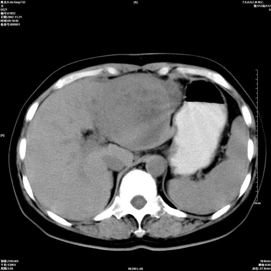
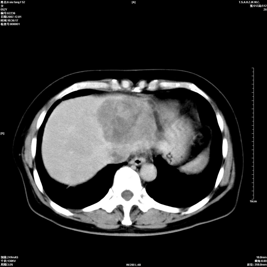
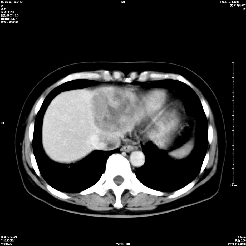
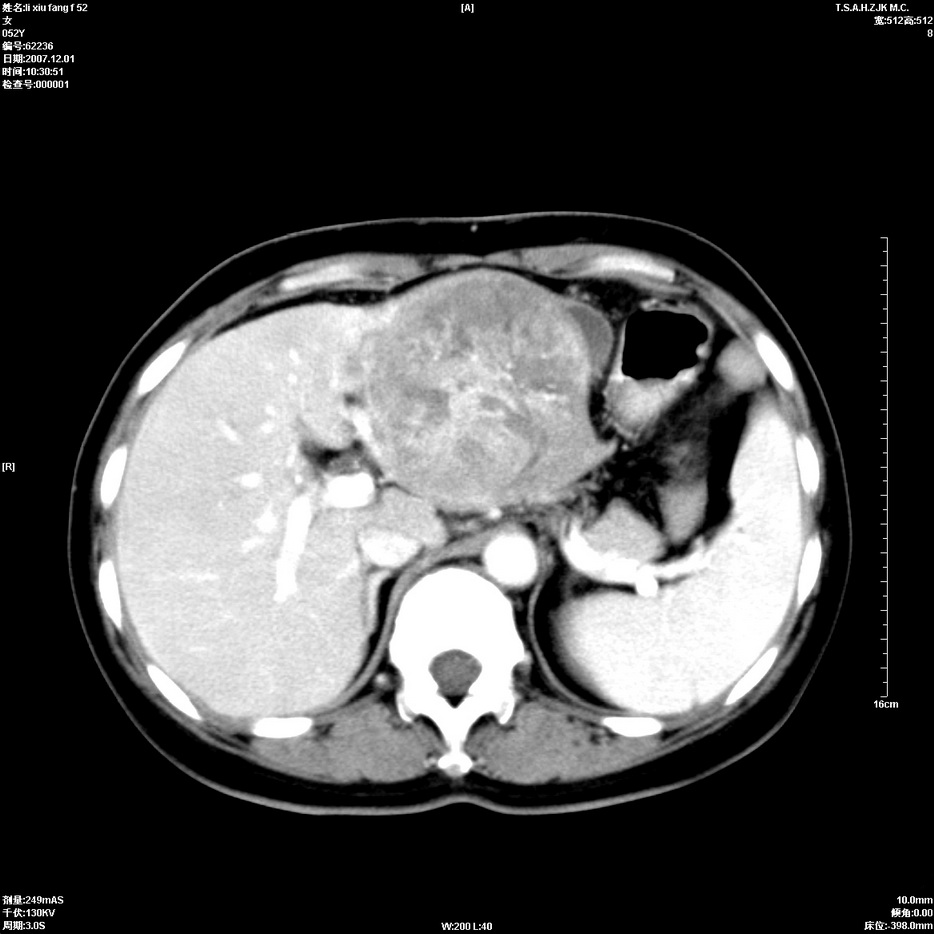
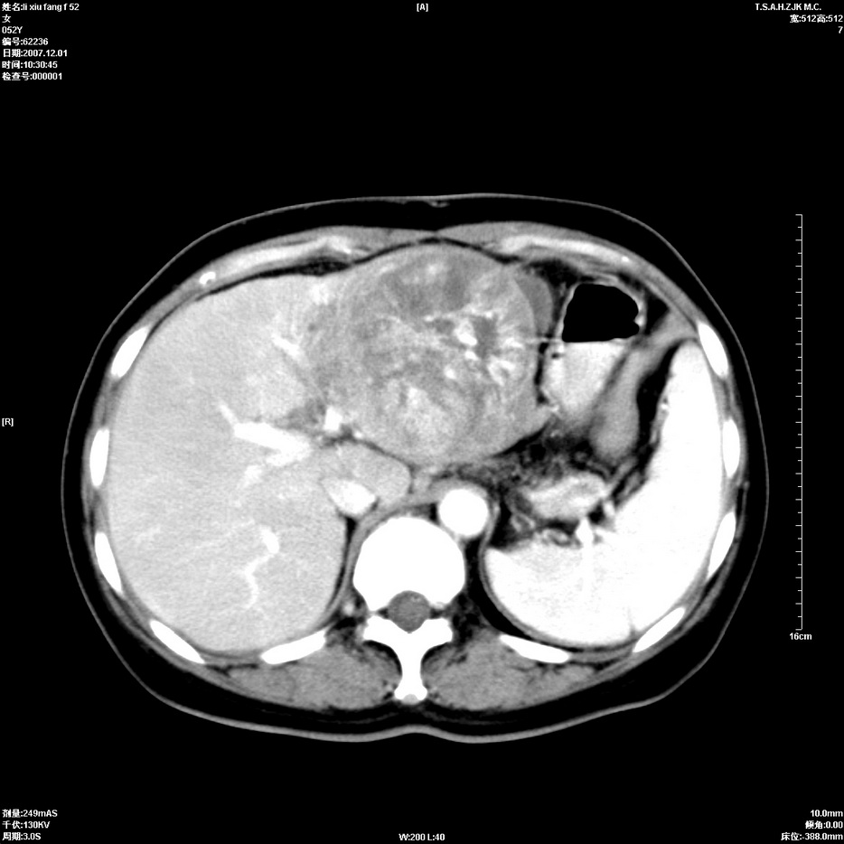
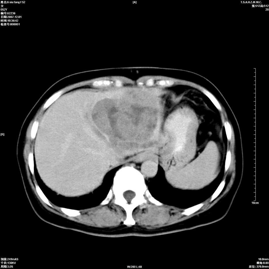
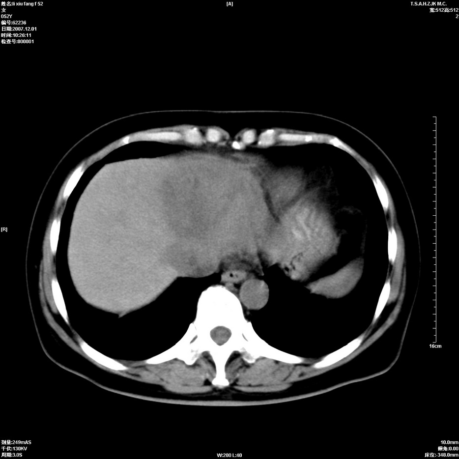
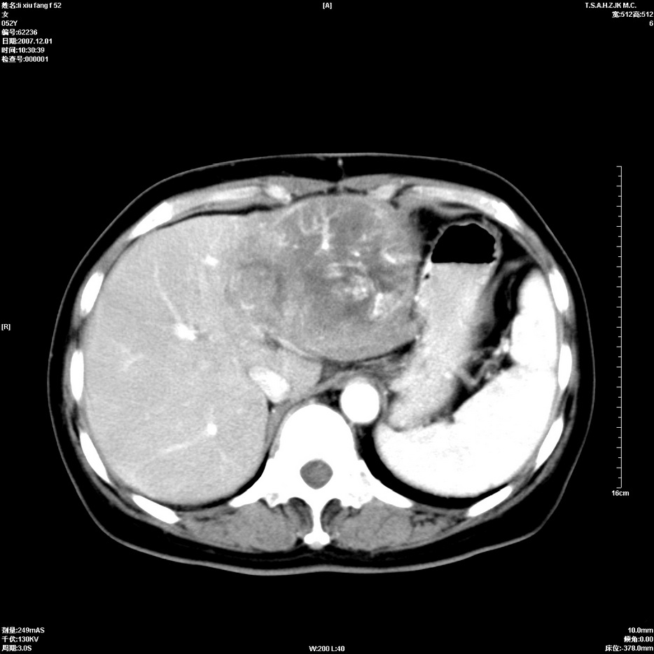
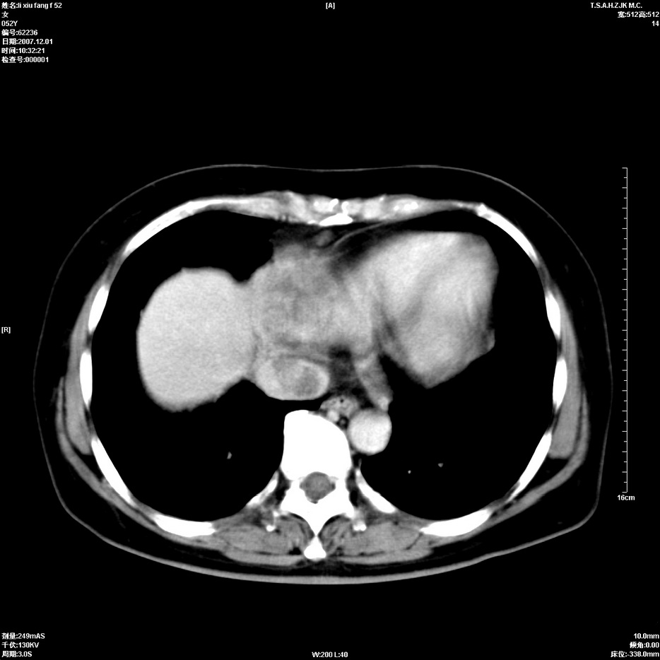
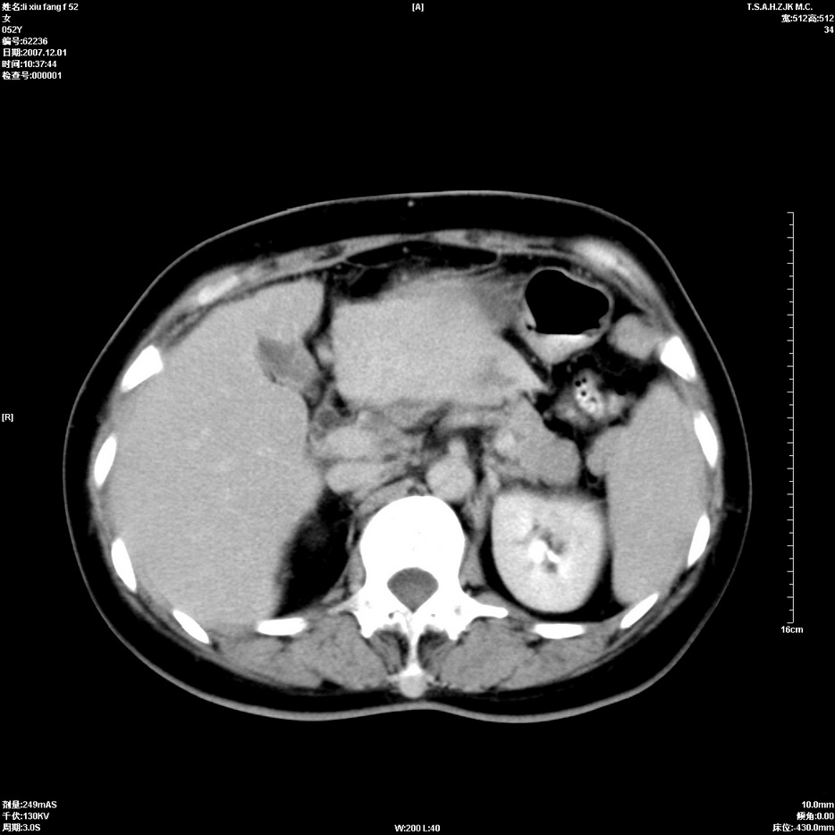
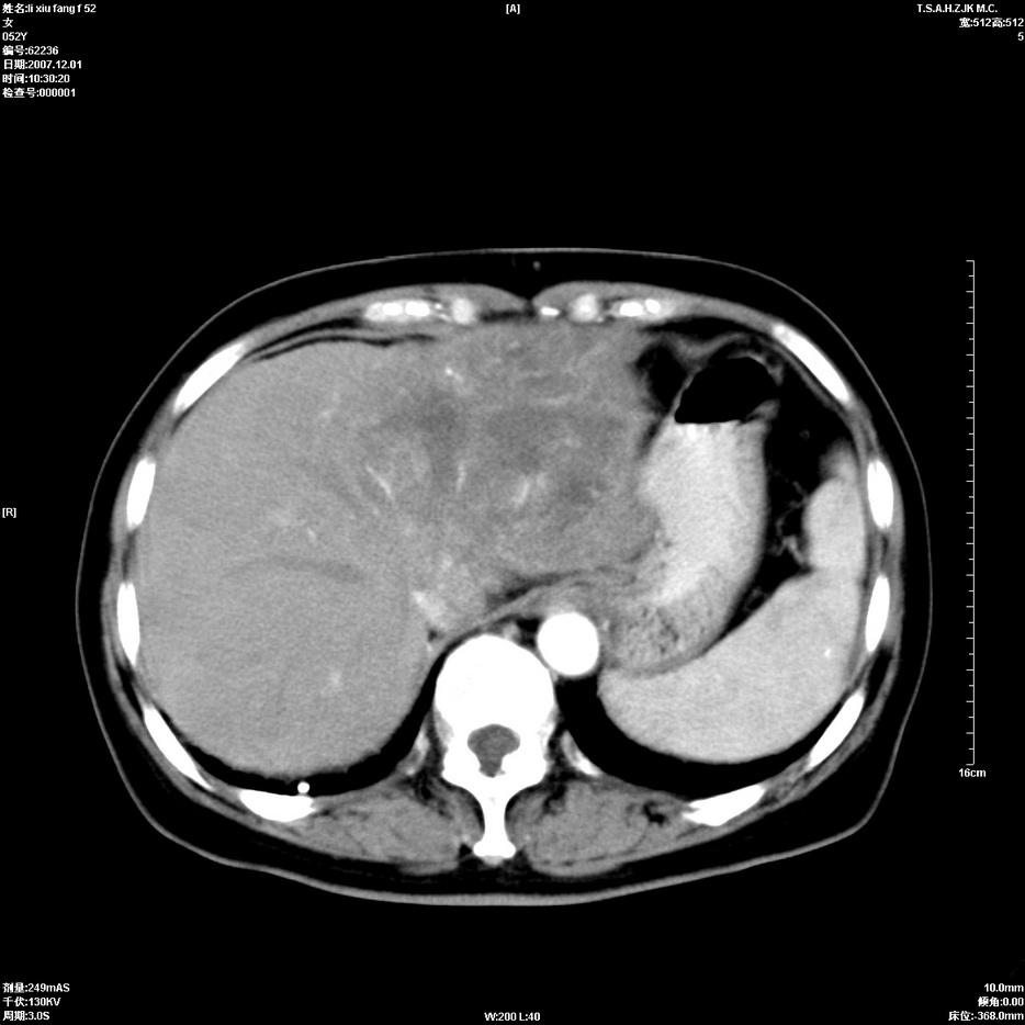
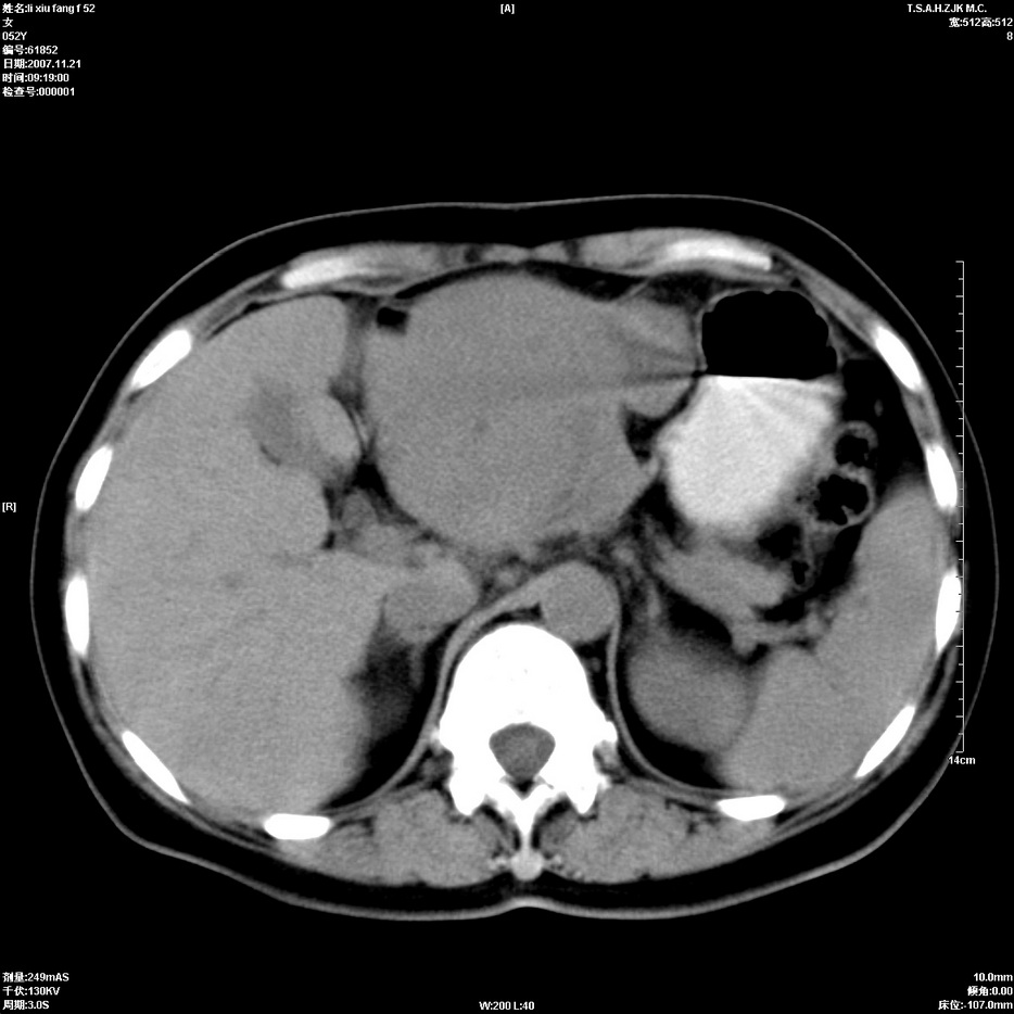
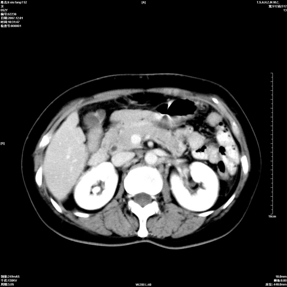
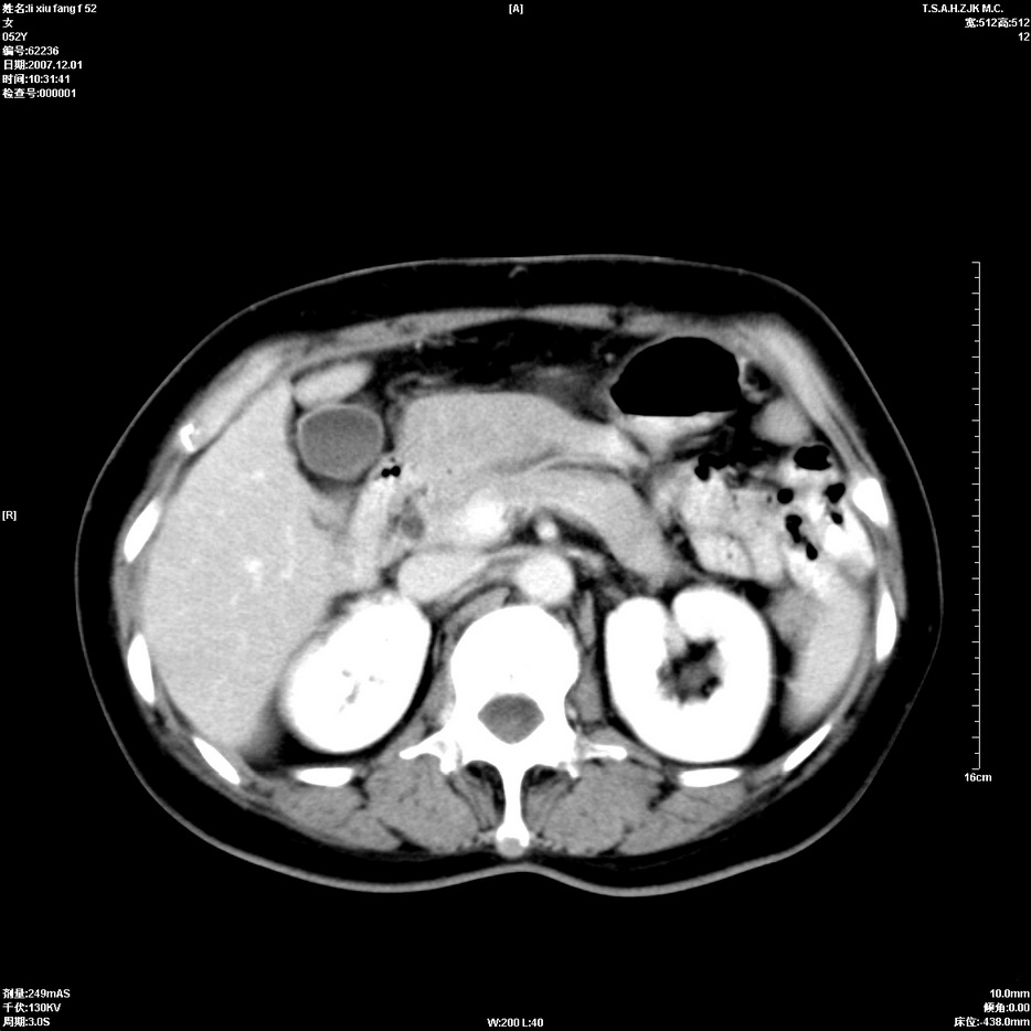
标题: CT12858:女,52岁,胎甲球蛋白861肝左叶占位,肝癌。下腔静
























































[本贴已被 jiajie 于 2008-4-15 6:49:46 修改过]

作者: 王仕学    时间: 2008-4-15 16:51
支持楼主
作者: 宇宙CT    时间: 2008-4-15 16:58
支持楼主
作者: 深泽交通    时间: 2008-4-15 17:04
zhi chi
作者: 形影不离    时间: 2008-4-15 17:27
支持!
作者: zhangkai    时间: 2008-4-15 17:43
支持
作者: 沙漠骆驼    时间: 2008-4-15 18:31
支持...
作者: zjzjr    时间: 2008-4-15 18:43
典型,介入效果好.
作者: dyqct    时间: 2008-4-15 19:06
支持楼主意见。
作者: jinguoji    时间: 2008-4-15 19:08
支持楼主意见!
作者: 杀毒软件    时间: 2008-4-15 19:45
支持楼主意见
作者: 随光逐影    时间: 2008-4-15 23:07
支持楼主意见。
作者: yangyudong333    时间: 2008-4-16 01:23
支持楼主意见!
作者: 黑白光影    时间: 2008-4-16 01:28
支持楼主意见!
作者: zsl6918    时间: 2008-4-16 01:47
典型表现。
作者: 拾荒者    时间: 2008-4-16 06:57
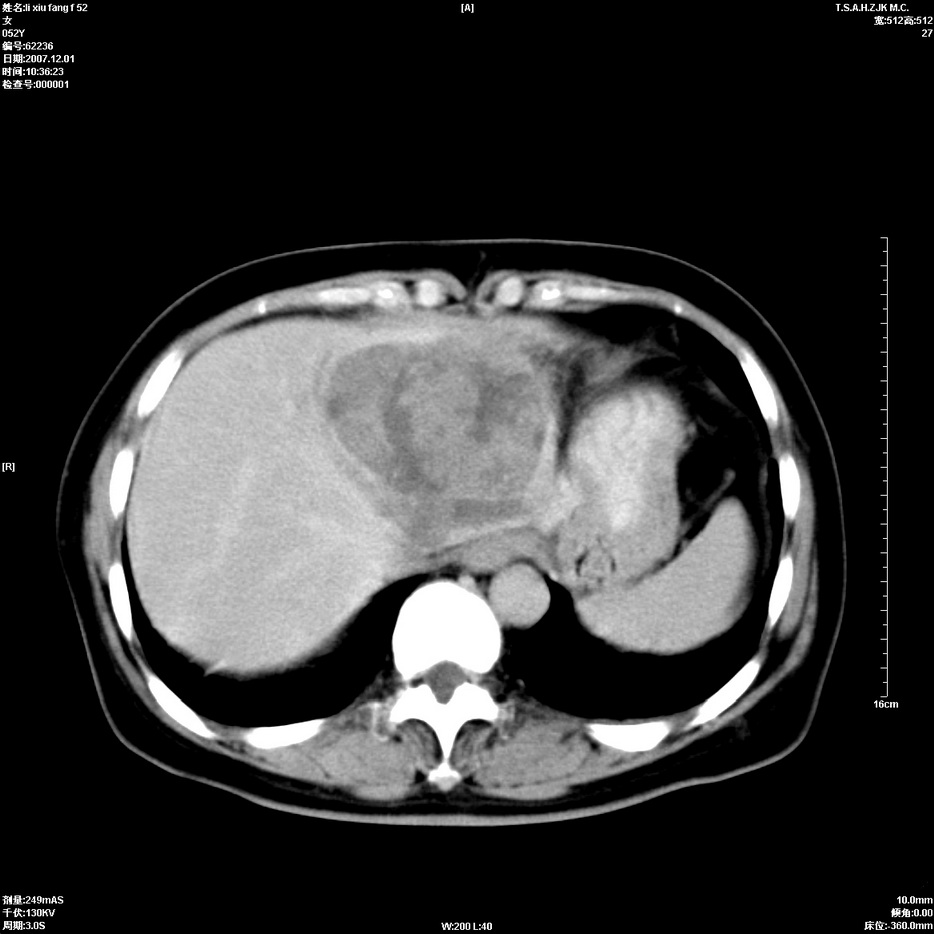
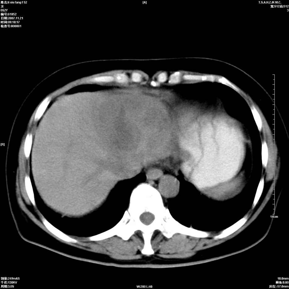
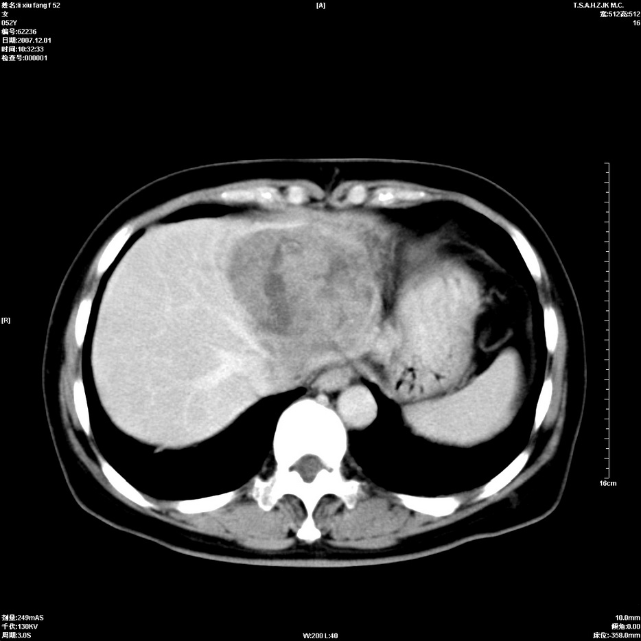
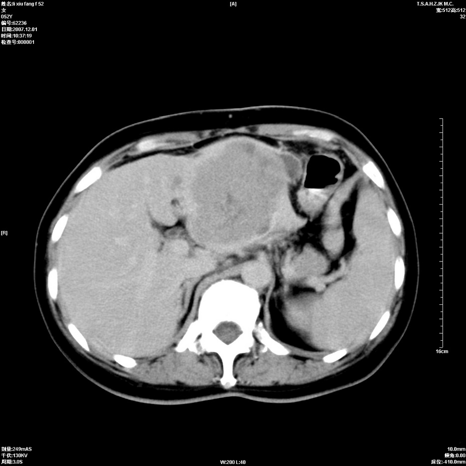
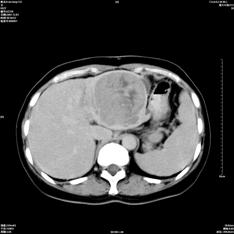
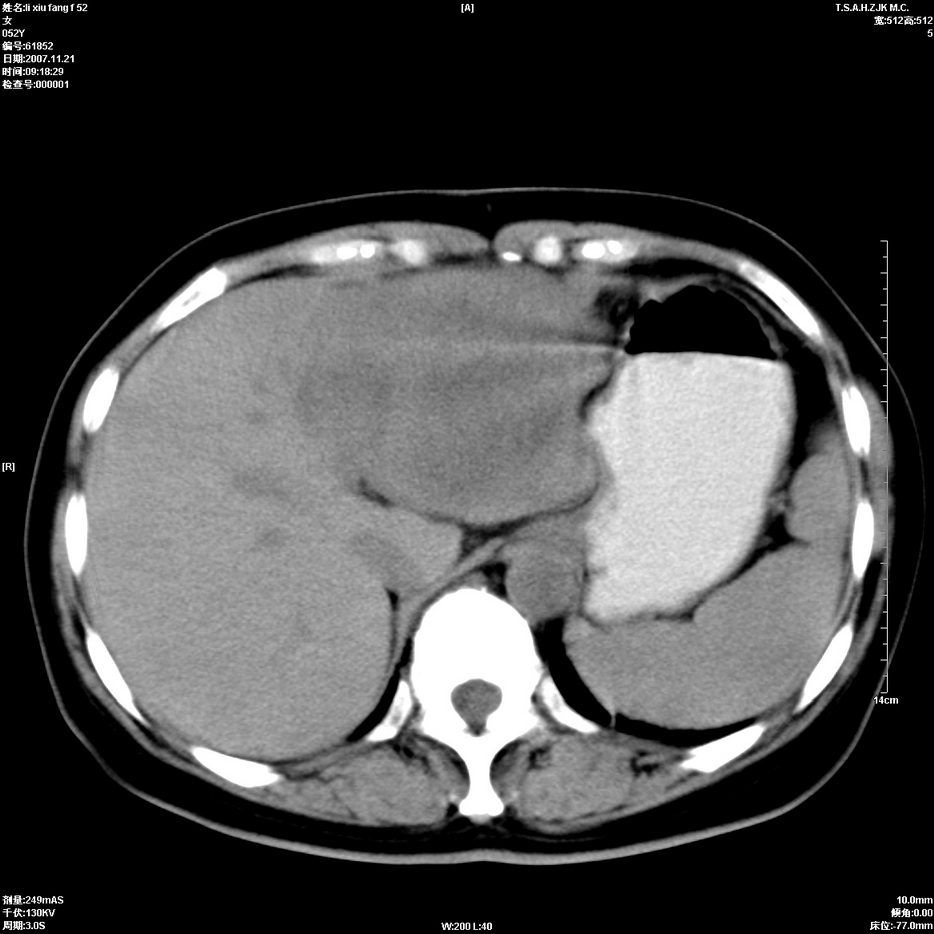
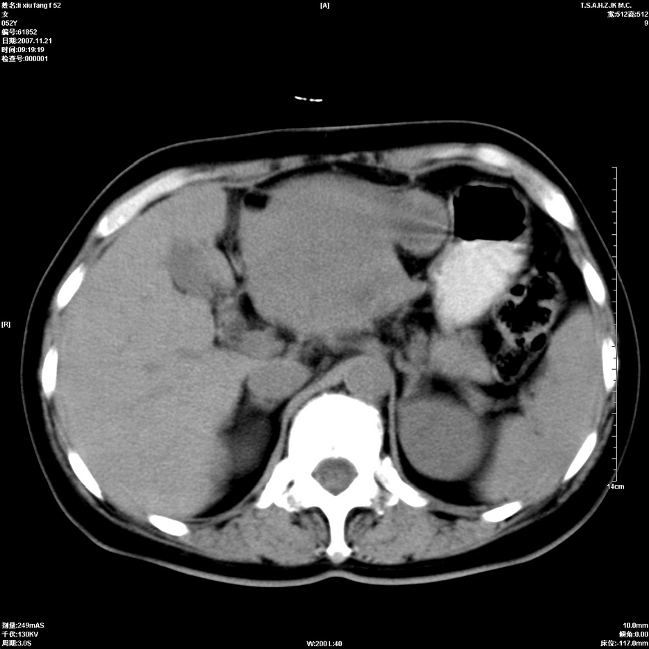
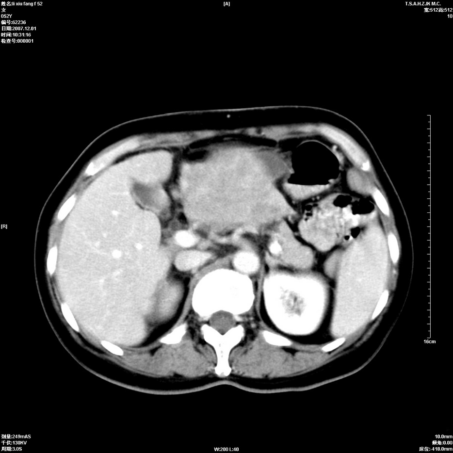
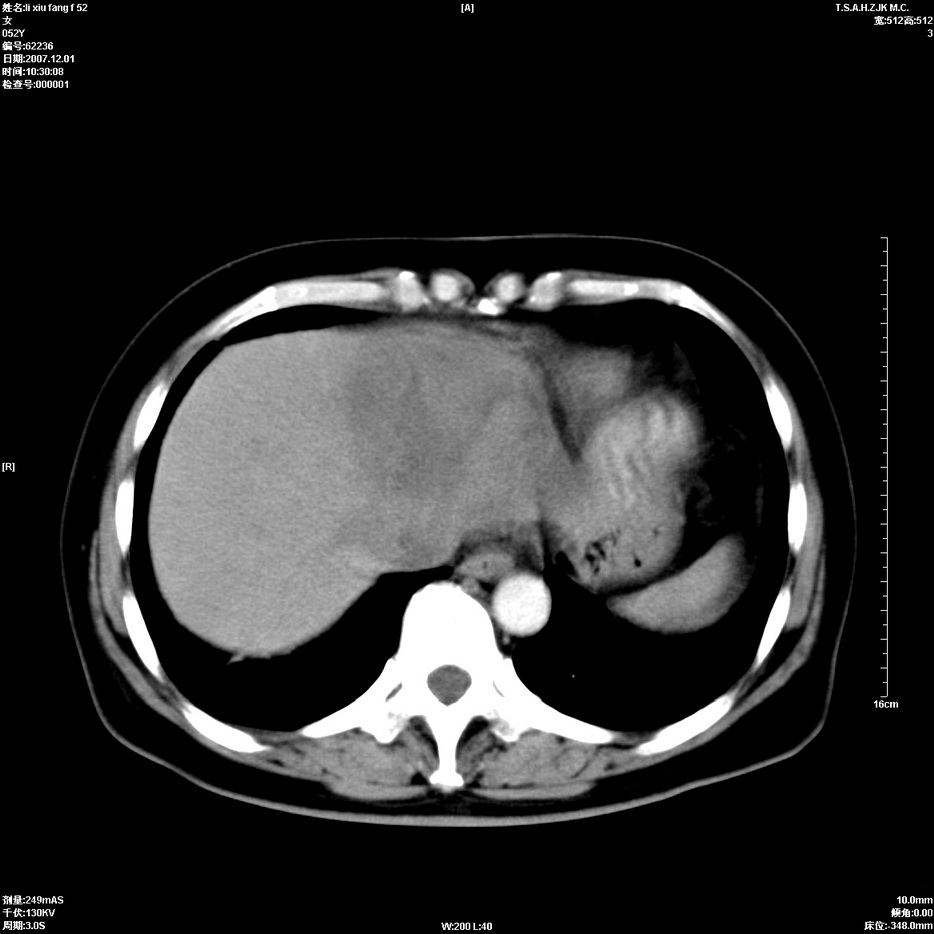
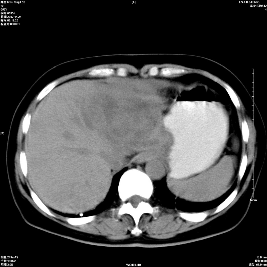
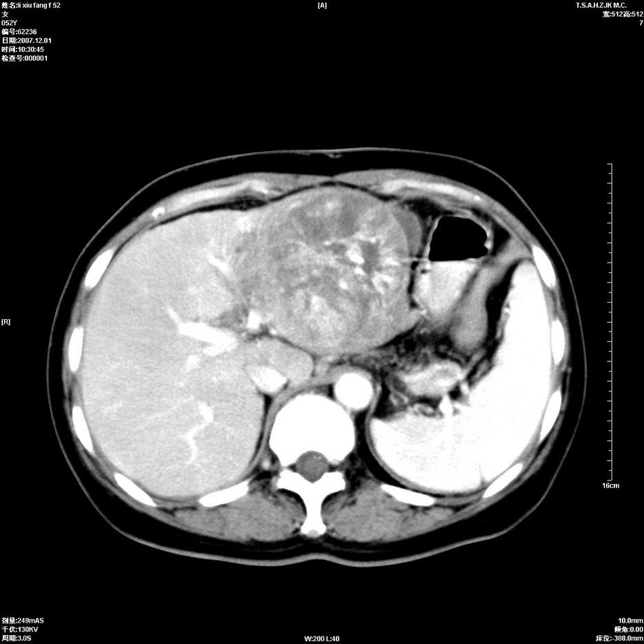
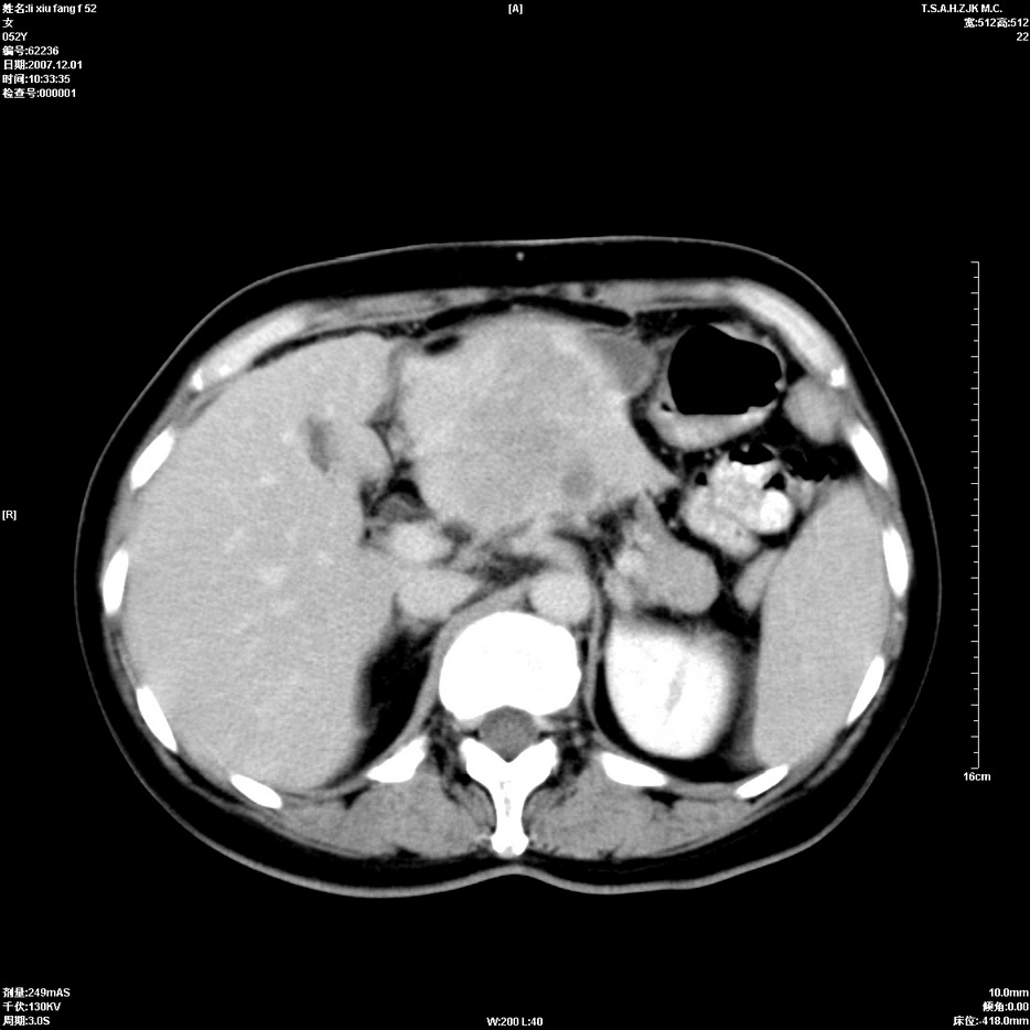
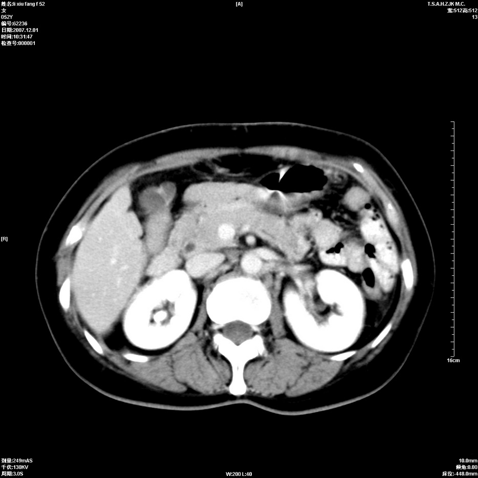
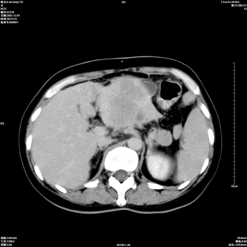
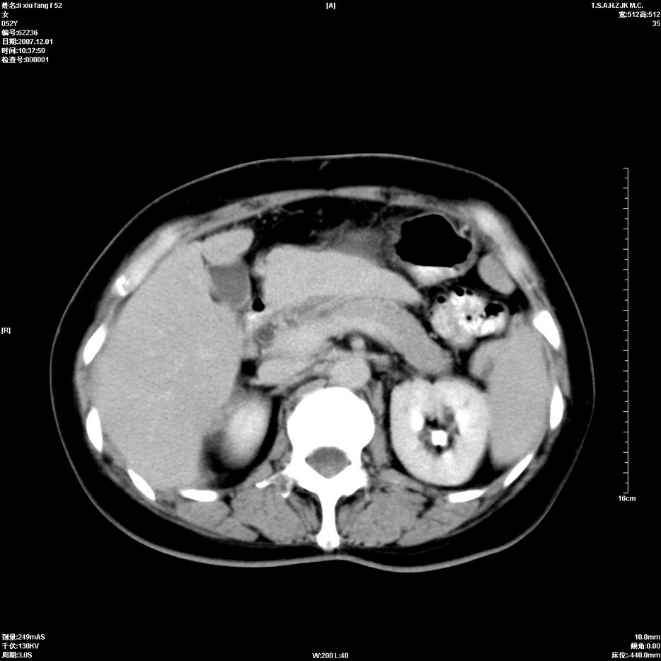
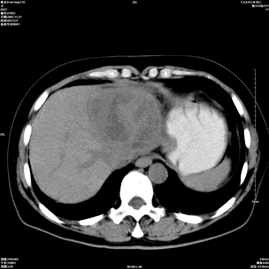
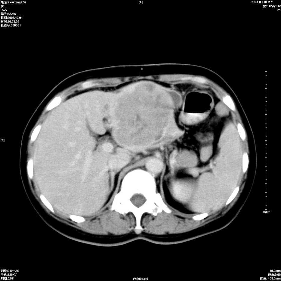
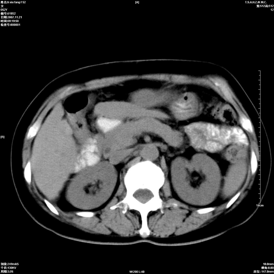
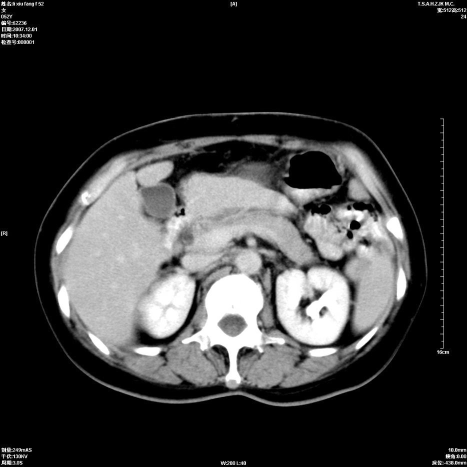
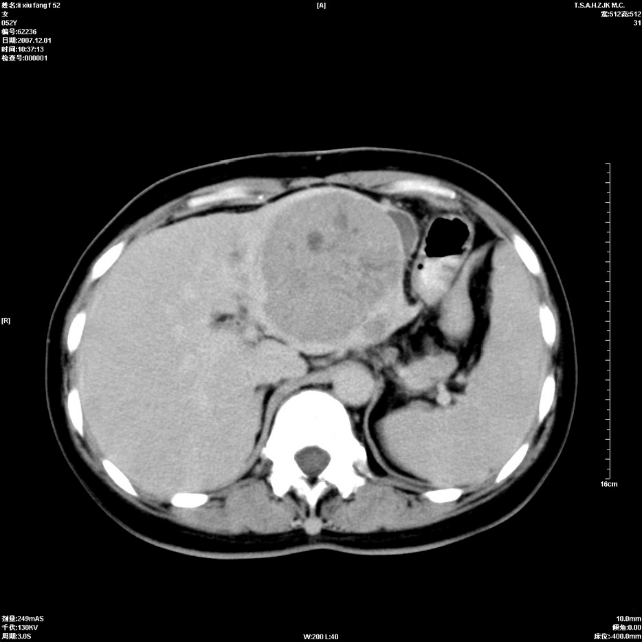
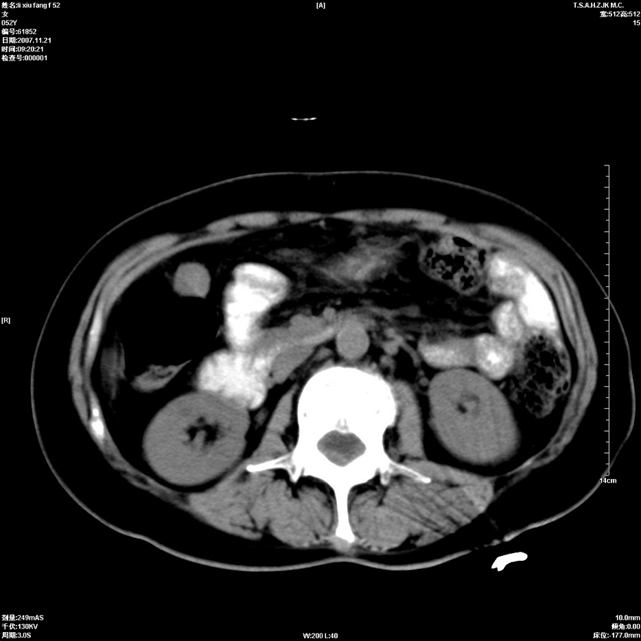
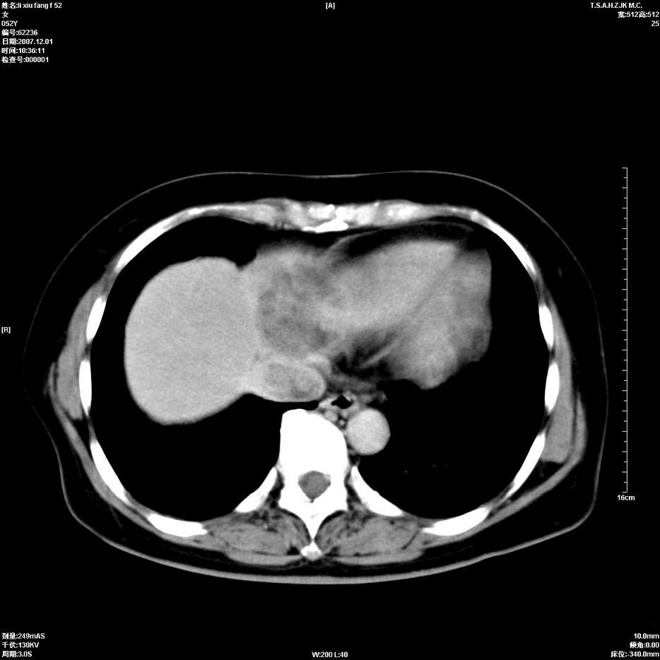
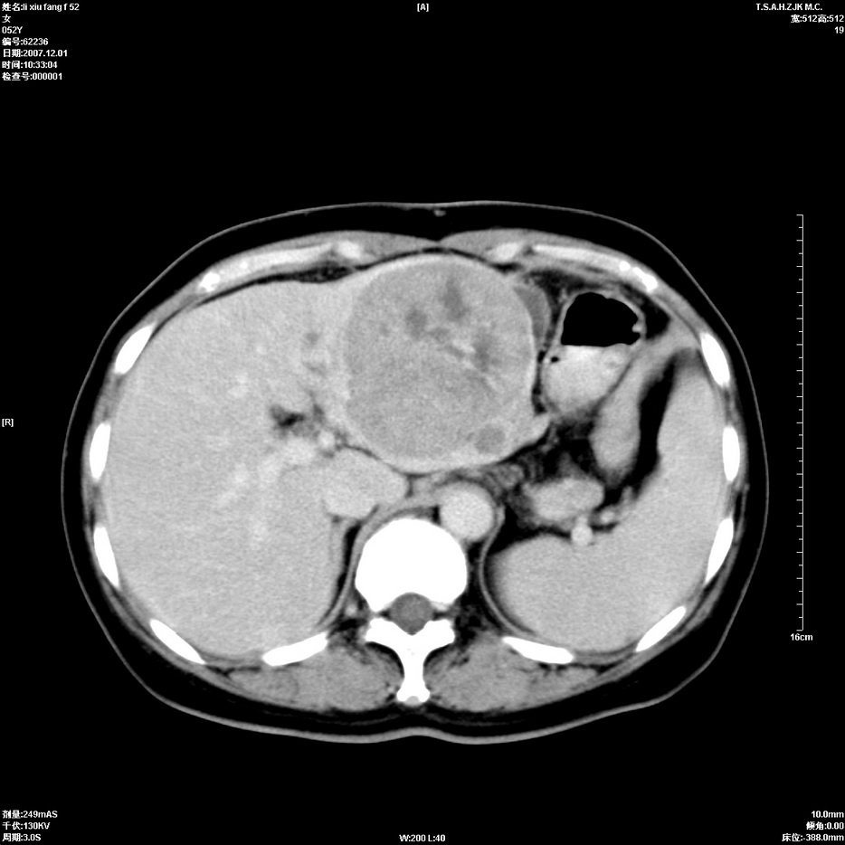
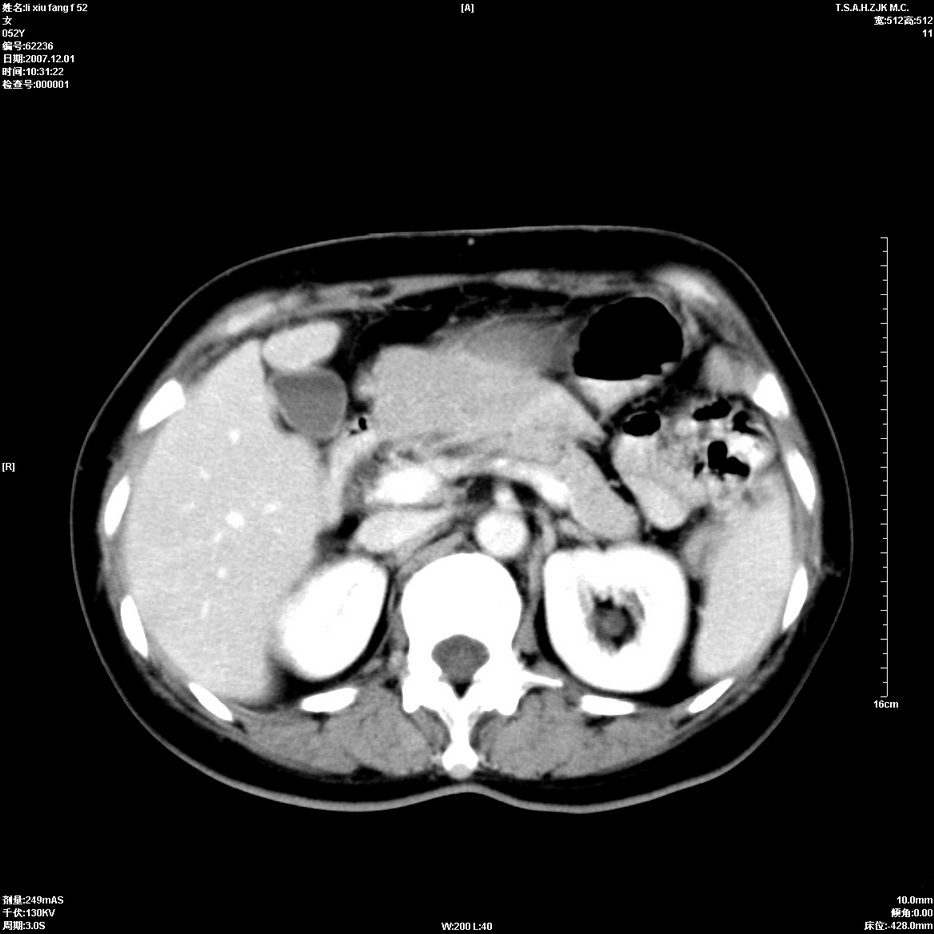
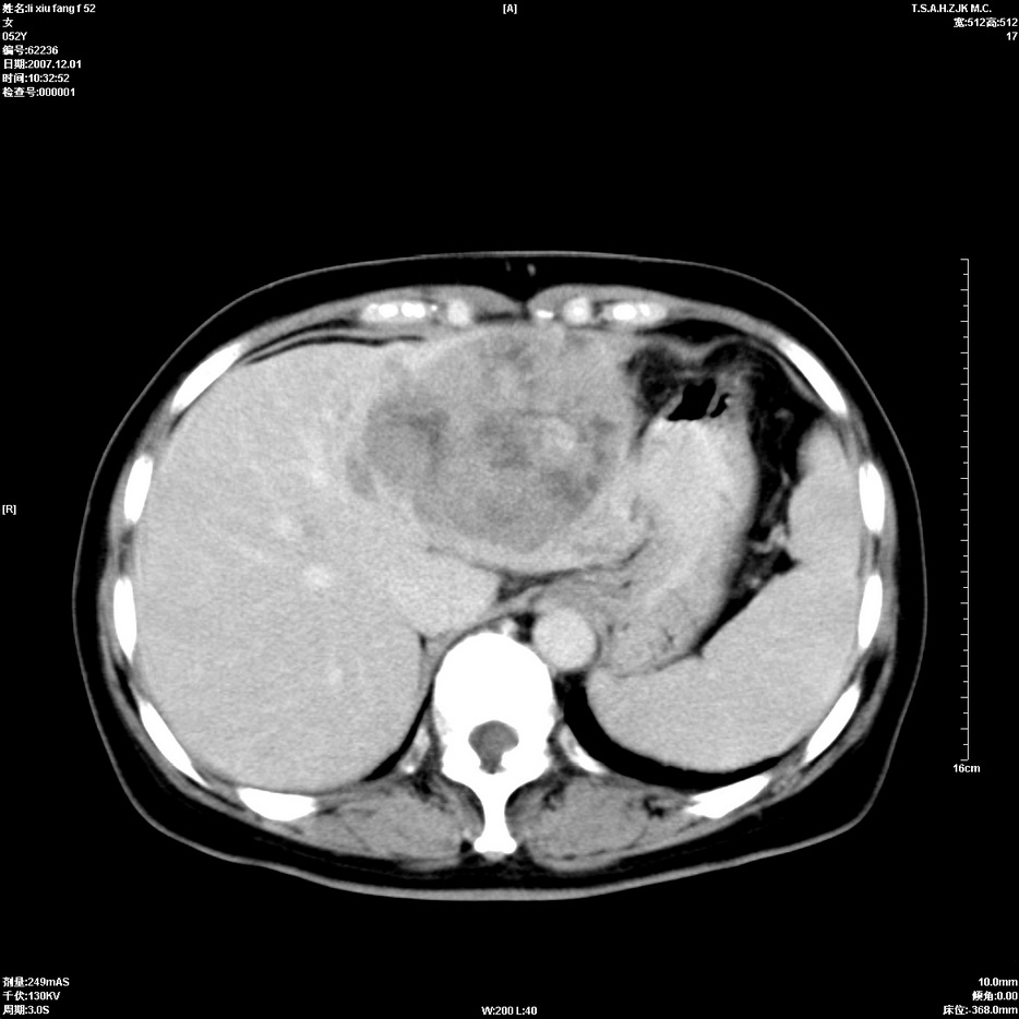
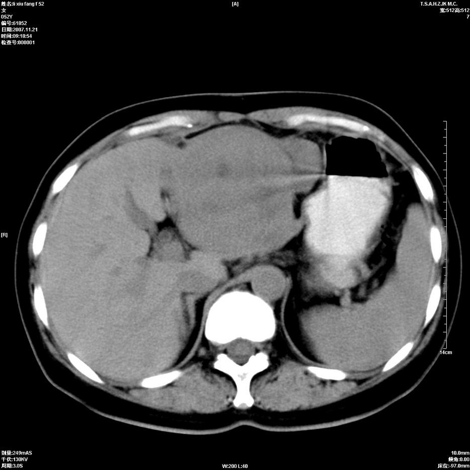
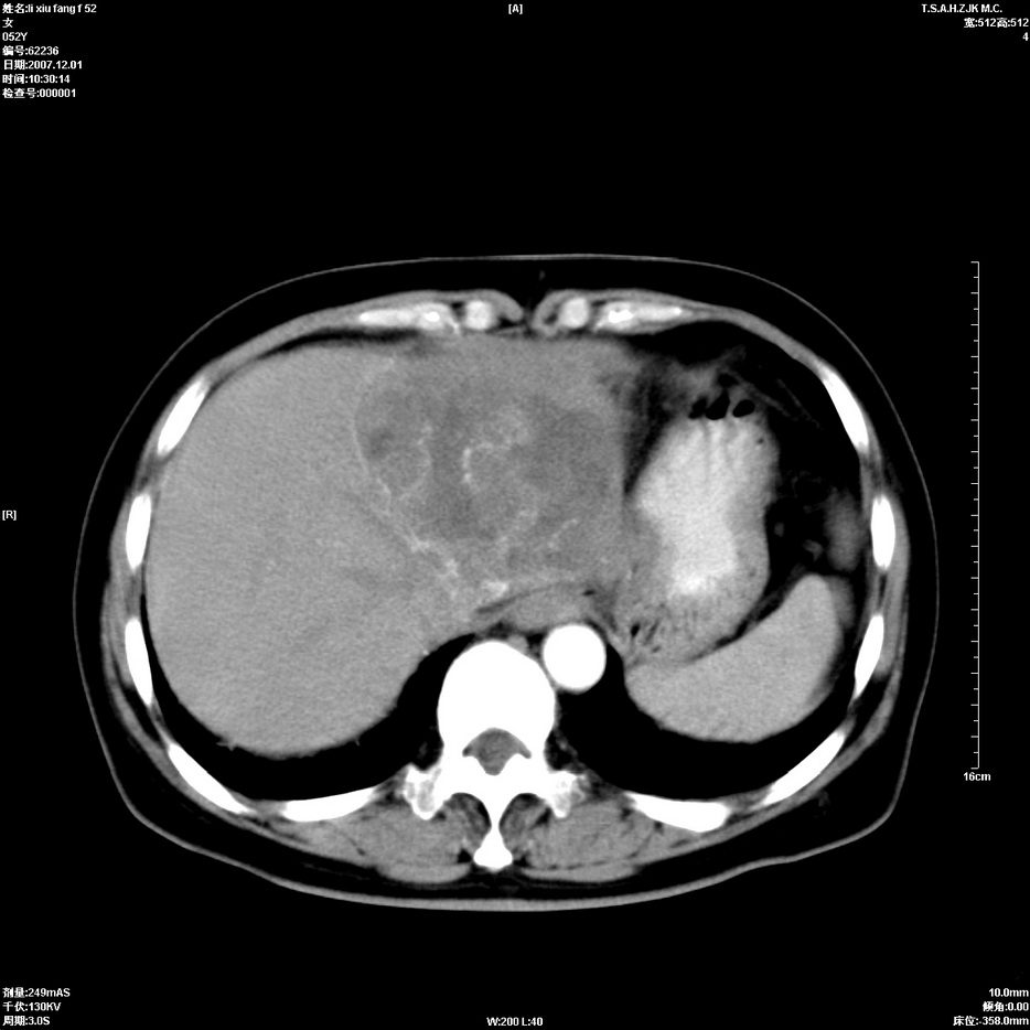
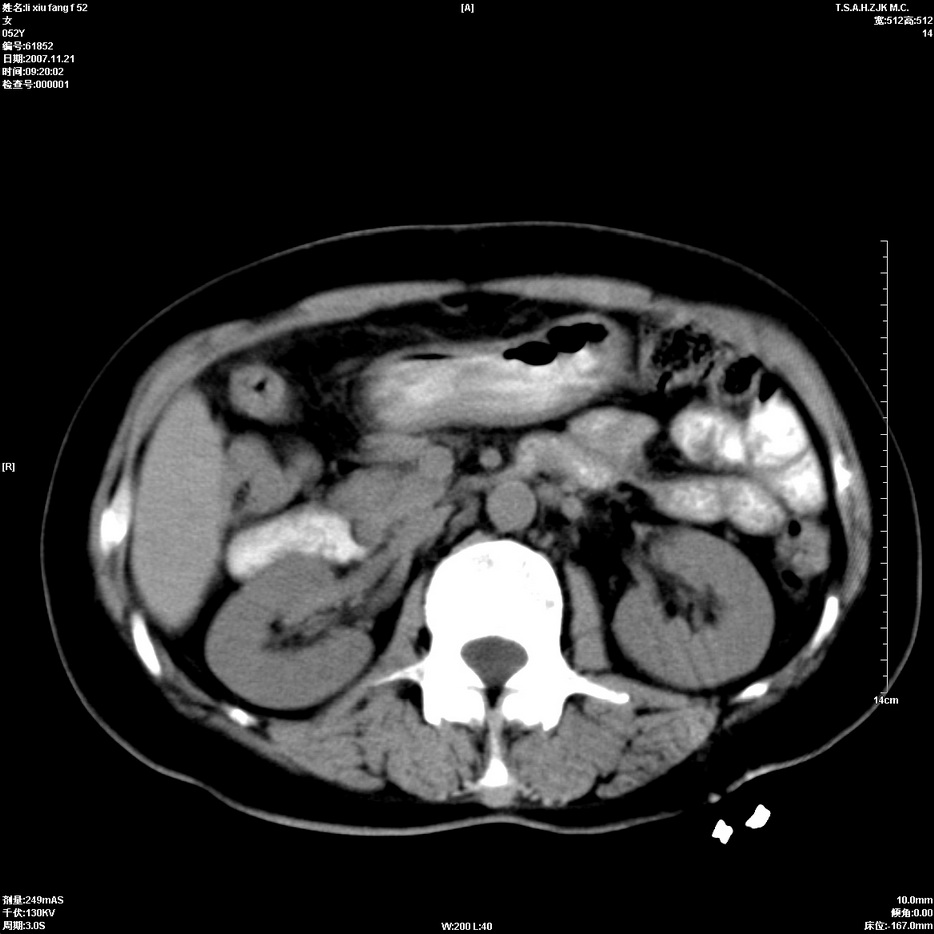
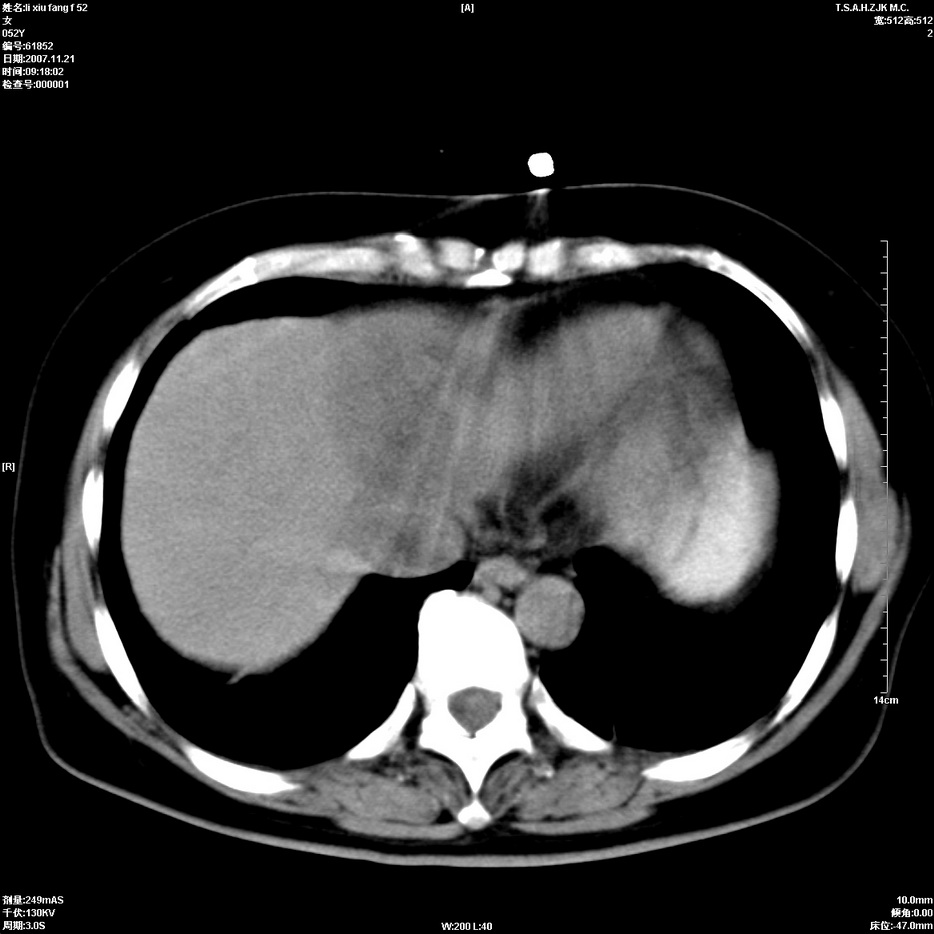
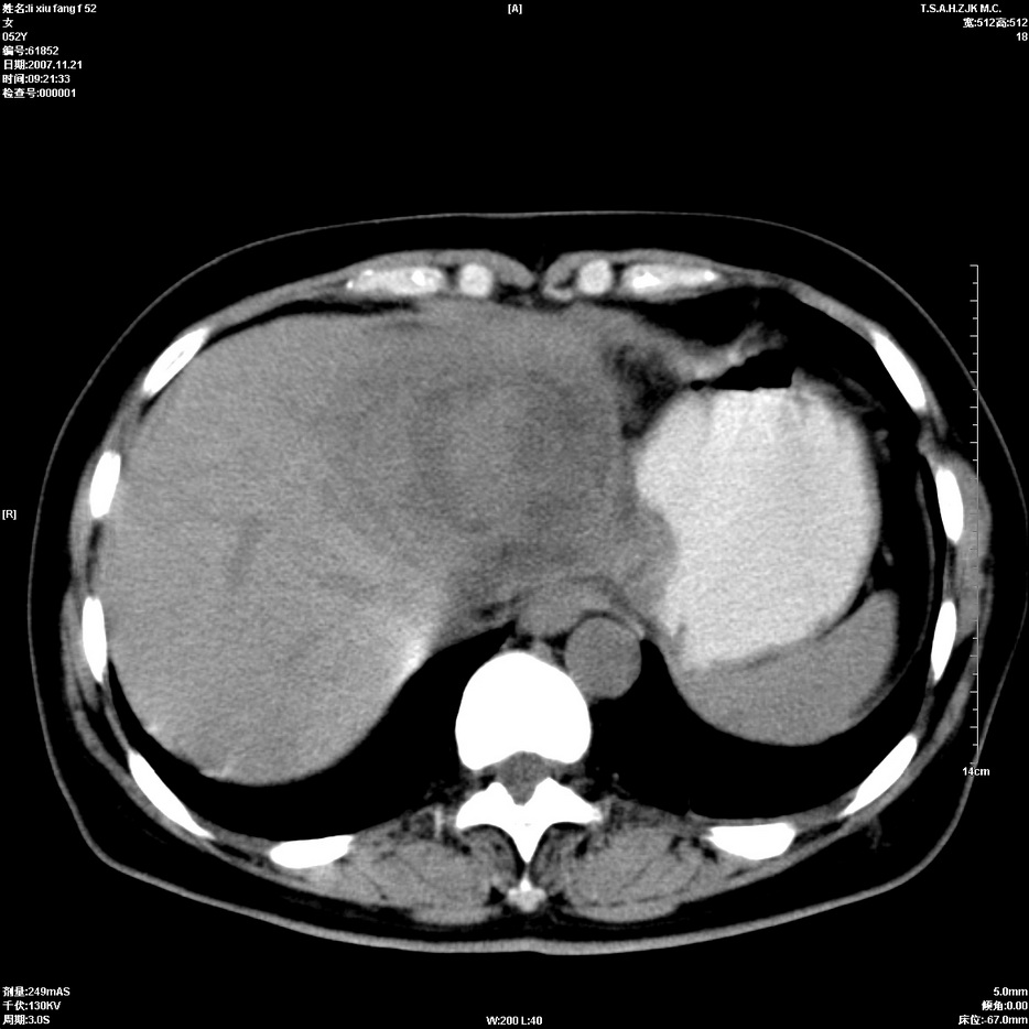
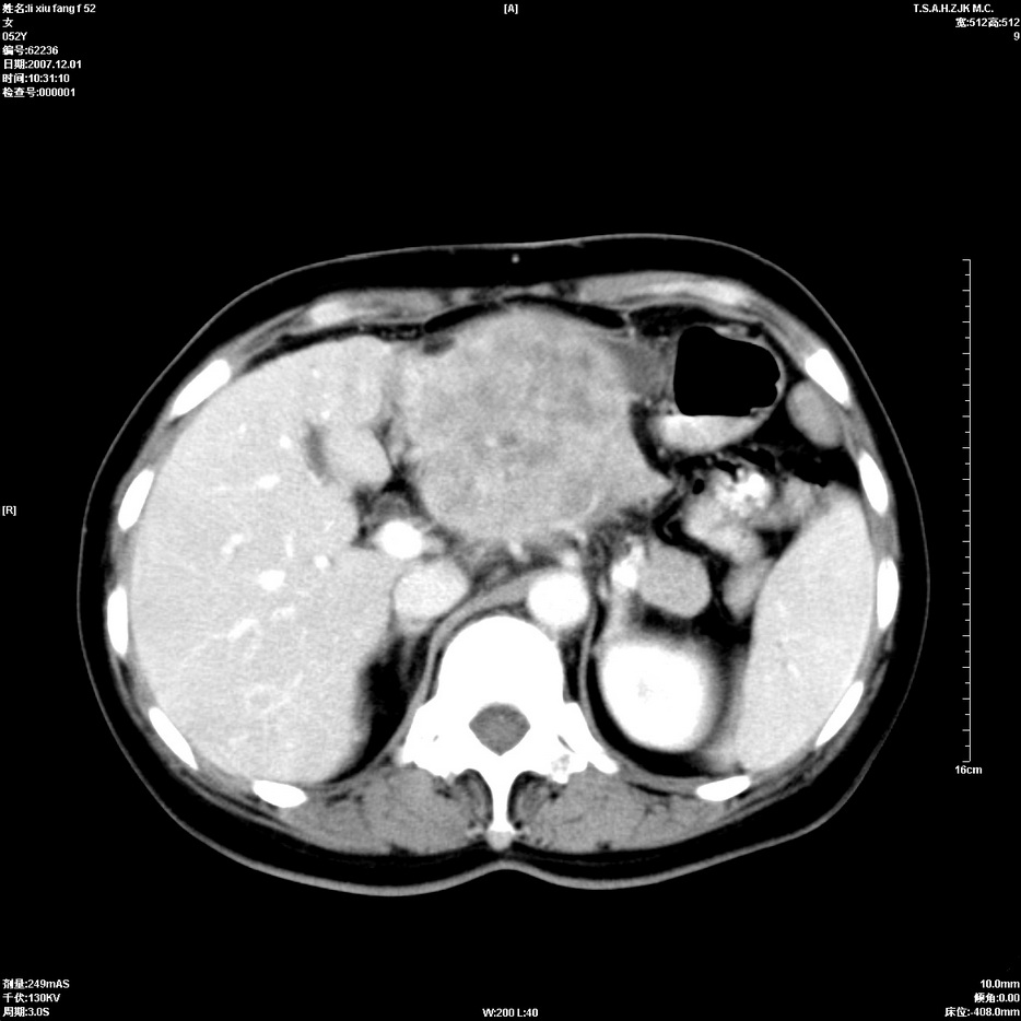
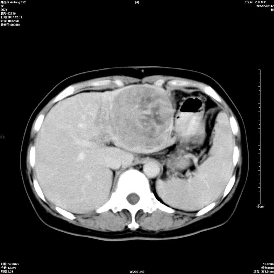
肝左叶巨大低密度灶肿块,增强符合快进快出表现,有动静脉交通支;静脉期,下腔静脉内有充盈缺损,afp明显升高,支持肝癌并下腔静脉癌栓形成。
作者: 深泽交通    时间: 2008-4-24 23:34
支持
作者: 影象小辈    时间: 2008-4-25 02:05
支持楼主   门静脉主干及左支癌栓形成
作者: mzh123    时间: 2008-4-28 06:18
标题: 回复:ct12858:女,52岁,胎甲球蛋白861肝左叶占位,肝癌。
以下是引用拾荒者在2008-4-15 22:57:00的发言:[br]肝左叶巨大低密度灶肿块,增强符合快进快出表现,有动静脉交通支;静脉期,下腔静脉内有充盈缺损,afp明显升高,支持肝癌并下腔静脉癌栓形成。

作者: liuyue    时间: 2008-4-28 07:21
支持楼主的诊断------肝癌.




欢迎光临 医影在线 (http://bbs.radida.com/bbs/) Powered by Discuz! X3.2