医影在线
标题: CT12914:外伤性脑梗塞 [打印本页]
作者: 11030404 时间: 2008-4-17 20:10
标题: CT12914:外伤性脑梗塞
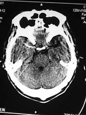
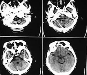
男性,67岁,上楼梯时未扶稳墙后仰摔倒,送入我院,患者诉腰痛头昏,有恶心感。
ct片如下:





枕骨骨折

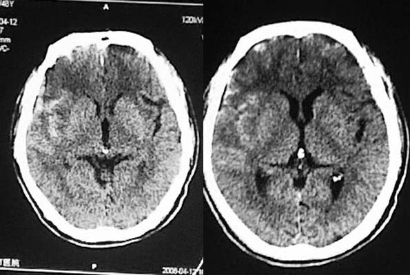
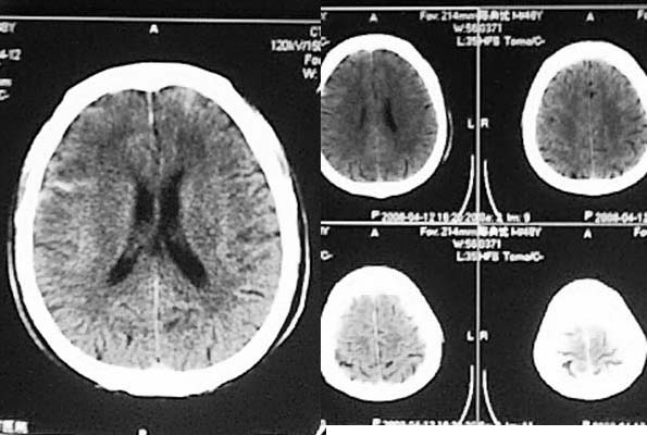
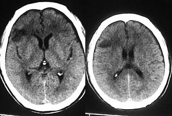
临床予以止血,降颅内压等处理治疗后5日,患者症状缓解,呕吐恶心症状明显减轻,仍然腰背部疼痛乏力。
复查ct:





[本贴已被 jiajie 于 2008-4-17 14:39:36 修改过]
作者: 11030404 时间: 2008-4-17 20:16
患者既往体健,无高血压病史
作者: zjzjr 时间: 2008-4-17 20:47
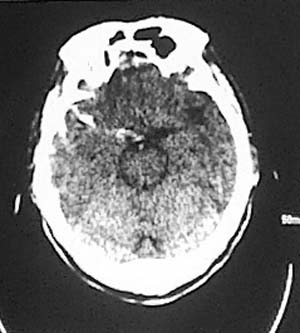
支持蛛网膜下腔出血.右额叶脑挫伤
作者: 11030404 时间: 2008-4-17 20:52
标题: 外伤脑梗塞
相信各位都会看这种外伤片,发这个帖子的目的在于请大家讨论右侧额、颞叶交界去的低密度到底是脑挫裂伤还是外伤导致周围血管闭塞引起的脑梗塞,请说出理由!!
虽然图片不是很理想,但已经够我们诊断了。请大家一起讨论,一起提高,非常感谢。
[本贴已被 11030404 于 2008-4-17 12:54:42 修改过]
作者: 形影不离 时间: 2008-4-17 23:15
相信同行们大部分支持脑挫裂伤,不排除蛛血引起血管痉挛所致脑梗塞,如果要很定那项诊断,还建议增强或mri检查。
作者: panyishengct 时间: 2008-4-17 23:25
左额/顶部硬膜下积液,蛛血,右额叶病灶第一次有高密度影,应该是脑挫裂伤,外伤性脑梗塞应该在第一次照片上就出现.
作者: 黑白光影 时间: 2008-4-17 23:33
3、5、6楼曰滴很好,说出了个三五六道道。
作者: xulianj 时间: 2008-4-18 00:12
支持脑挫裂伤
作者: yangyudong333 时间: 2008-4-18 01:51
支持脑挫裂伤,图片质量太差
作者: wqs571018 时间: 2008-4-18 02:56
支持蛛网膜下腔出血.右额叶脑挫伤,左额颞部硬膜下积液。
作者: 拾荒者 时间: 2008-4-18 07:02
左侧额顶部硬膜下积液,右侧侧裂池内高密度影考虑蛛血,右额叶低密度影是由于脑挫裂伤还是外伤性脑梗塞不好说,但右枕部骨缝,边缘锐利,局部软组织未见异常,不考虑骨折,建议细致观察骨缝边缘有否硬化;考虑枕骨变异可能。
| 欢迎光临 医影在线 (http://bbs.radida.com/bbs/) |
Powered by Discuz! X3.2 |