医影在线

标题: CT12948:鉴赏一下——上腔静脉变异(CT平扫表现)。 [打印本页]

作者: 随光逐影    时间: 2008-4-19 05:52
标题: CT12948:鉴赏一下——上腔静脉变异(CT平扫表现)。
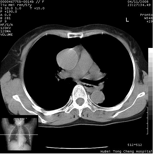
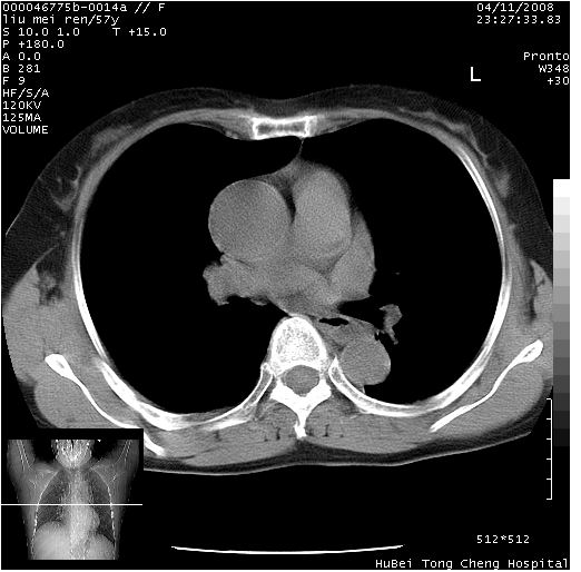
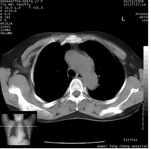
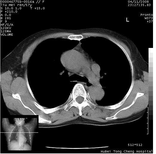
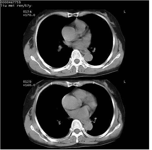
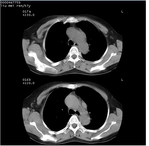
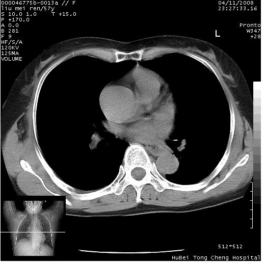
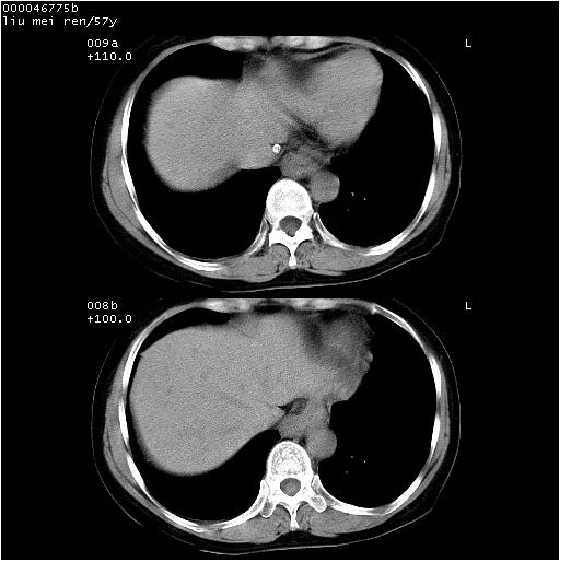
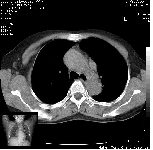
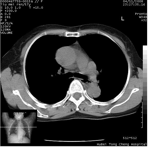
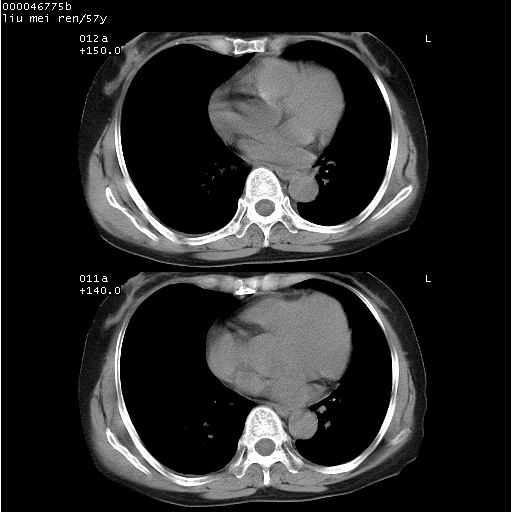
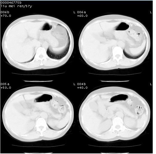
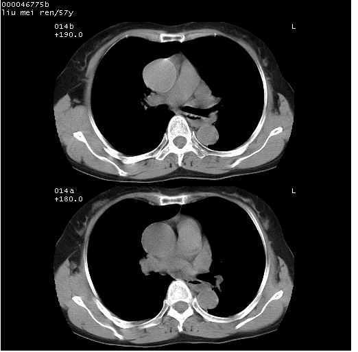
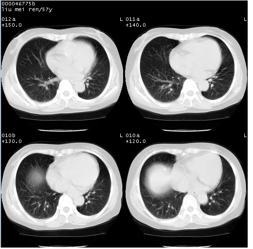
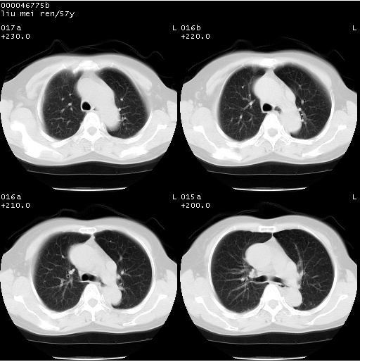
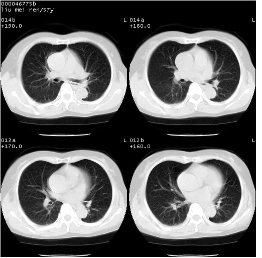
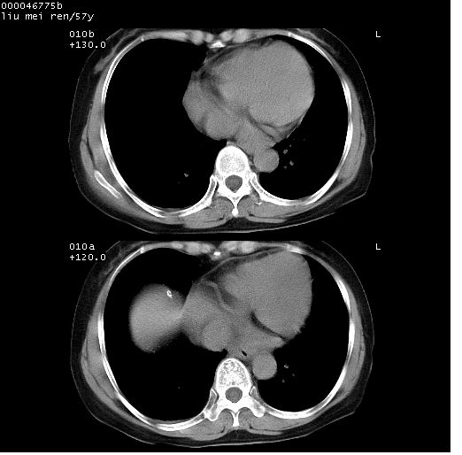
患者 女,57岁。因车祸受伤,其家属要求行“全身ct检查”。平素健康。

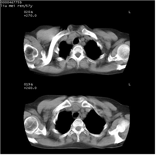
胸部ct轴位平扫(层厚10mm,螺距1.5,重建间隔10mm),图像如下:

































[本贴已被 翁志蓬 于 2008-4-18 22:35:46 修改过]

作者: 黑白光影    时间: 2008-4-19 05:55
第一次见,学习了!
作者: lijuanln    时间: 2008-4-19 06:10
第一次见,我觉得还是增强更有说服力。
作者: WZR    时间: 2008-4-19 16:58
上腔静脉变异
作者: qc80012345    时间: 2008-4-19 16:59
上腔静脉变异,增强检查更全面一些。
作者: zsl6918    时间: 2008-4-19 17:02
左位上腔静脉,先天变异。
作者: zjzjr    时间: 2008-4-19 18:02
左位上腔静脉,先天变异。
作者: 深泽交通    时间: 2008-4-19 18:12
zhi chi
作者: chmh    时间: 2008-4-19 18:18
左位上腔静脉,先天变异
作者: tao772    时间: 2008-4-19 21:45
左位上腔静脉,先天变异。与双侧上腔静脉区别。
作者: 光影相伴    时间: 2008-4-19 22:28
学习!谢谢!
作者: 光影★小胖    时间: 2008-4-20 05:11
左位上腔静脉,先天变异。
作者: 拾荒者    时间: 2008-4-20 06:12
谢谢了!要是增强或许会更好,左上腔静脉。
作者: 形影不离    时间: 2008-4-20 07:23
典型 支持!
作者: 37度    时间: 2008-5-6 19:29
不看结果还看不出名堂来,惭愧
作者: 52yingxiang    时间: 2008-5-6 22:01
学习!谢谢!
作者: panyishengct    时间: 2008-5-7 02:09
左位上腔静脉,先天变异.学习了
作者: dr.yang    时间: 2011-12-4 23:04
谢谢了!要是增强或许会更好,左上腔静脉。




欢迎光临 医影在线 (http://bbs.radida.com/bbs/) Powered by Discuz! X3.2