
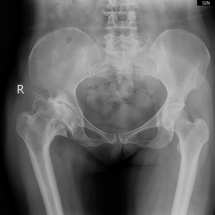
以下是引用ducky807在2008-4-19 14:08:00的发言:[br]这是一个典型的扁平髋,股骨头变扁,密度增高,内可见低密度区,考虑股骨头缺血性坏死
以下是引用ducky807在2008-4-19 14:08:00的发言:[br]这是一个典型的扁平髋,股骨头变扁,密度增高,内可见低密度区,考虑股骨头缺血性坏死
以下是引用gjj6818在2008-4-19 15:16:00的发言:[br][quote]以下是引用ducky807在2008-4-19 14:08:00的发言:[br]这是一个典型的扁平髋,股骨头变扁,密度增高,内可见低密度区,考虑股骨头缺血性坏死
以下是引用jiangjing在2008-4-19 15:39:00的发言:[br]这是一个典型的扁平髋,股骨头变扁,密度增高,内可见低密度区,考虑股骨头缺血性坏死伴退行性病变或髋臼发育不良伴无菌坏死
以下是引用jiangjing在2008-4-19 15:39:00的发言:[br]这是一个典型的扁平髋,股骨头变扁,密度增高,内可见低密度区,考虑股骨头缺血性坏死伴退行性病变或髋臼发育不良伴无菌坏死
以下是引用jiangjing在2008-4-19 15:39:00的发言:[br]这是一个典型的扁平髋,股骨头变扁,密度增高,内可见低密度区,考虑股骨头缺血性坏死伴退行性病变或髋臼发育不良伴无菌坏死

以下是引用ducky807在2008-4-19 14:08:00的发言:[br]这是一个典型的扁平髋,股骨头变扁,密度增高,内可见低密度区,考虑股骨头缺血性坏死
| 欢迎光临 医影在线 (http://bbs.radida.com/bbs/) | Powered by Discuz! X3.2 |