医影在线

标题: PED0742:请高手帮我看看这是不是气胸,病理基础是什么? [打印本页]

作者: muzhongzhe    时间: 2008-4-19 21:47
标题: PED0742:请高手帮我看看这是不是气胸,病理基础是什么?
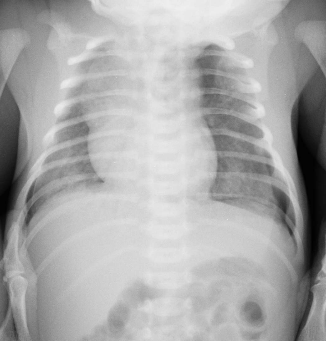
患者,男婴,生后7小时,全身发绀,呼吸急促。

未处理第2天



[emb10]



[本贴已被 jiajie 于 2008-4-19 17:18:49 修改过]

作者: liangshusheng    时间: 2008-4-19 22:15
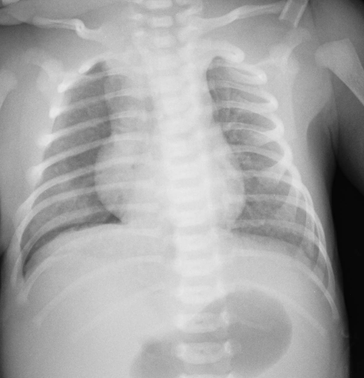
肺透明膜病伴气胸
作者: jiangjing    时间: 2008-4-19 23:23
肺透明膜病变
作者: wjyd    时间: 2008-4-19 23:43
肺透明膜病
作者: 李世军    时间: 2008-4-20 00:31
肺透明膜病
作者: 子期    时间: 2008-4-20 00:44
不是气胸,由于是仰卧位摄片,背部的皮肤皱褶造成的假象,这种情况在成人也可出现,若不注意,很容易误为气胸.若平时注意观察,这种例子时有见到.
作者: 同    时间: 2008-4-20 03:23
肺透明膜病
作者: yangyudong333    时间: 2008-4-20 15:13
肺透明膜病
作者: xn2ylwg    时间: 2008-4-20 20:08
肺透明膜病已经很少见了.
作者: 杀毒软件    时间: 2008-4-20 20:22
支持考虑肺透明膜病
作者: 余辉    时间: 2008-4-21 01:36
支持考虑肺透明膜病
作者: liaizhi    时间: 2008-4-21 06:05
支持肺透明膜病.
作者: peijunlong    时间: 2008-4-21 07:40
是皮肤邹折造成的假像。
作者: zjzjr    时间: 2008-4-21 18:58
肺透明膜病
作者: LIAOQIANG    时间: 2008-4-21 19:00
考虑肺透明膜病。
作者: 麻醉一生    时间: 2008-4-21 20:32
支持肺透明膜病.
作者: wnlyq8688    时间: 2008-4-22 00:12
支持考虑肺透明膜病,
是皮肤皱折造成的假像。
作者: 王2008    时间: 2008-4-22 04:00
是皮肤邹折造成的假像。
作者: dyqct    时间: 2008-4-22 06:50
标题: 回复:ped0742:请高手帮我看看这是不是气胸,病理基础是什
以下是引用liangshusheng在2008-4-19 14:15:00的发言:[br]肺透明膜病伴气胸

支持!
作者: 形影不离    时间: 2008-4-22 17:52
支持考虑肺透明膜病。
作者: hexue    时间: 2008-4-23 22:23
标题: 回复:ped0742:请高手帮我看看这是不是气胸,病理基础是什
支持考虑肺透明膜病。
作者: yjrgw666    时间: 2008-4-24 05:08
请各位老师说哈什么是透明膜肺啊,谢谢!
作者: jinguoji    时间: 2008-4-26 23:03
支持肺透明膜病伴气胸。
作者: hexue    时间: 2008-5-5 09:24
标题: 回复:ped0742:请高手帮我看看这是不是气胸,病理基础是什
支持考虑肺透明膜病.有结果就好了




欢迎光临 医影在线 (http://bbs.radida.com/bbs/) Powered by Discuz! X3.2