















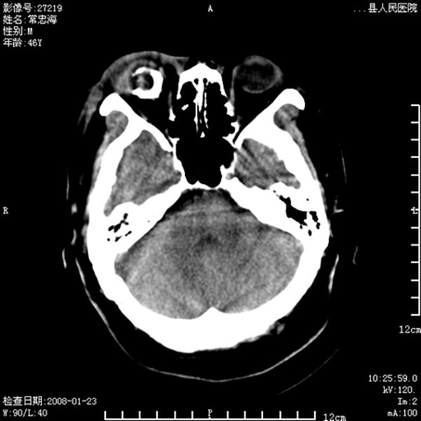
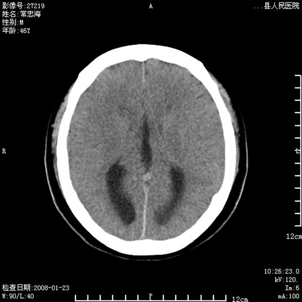
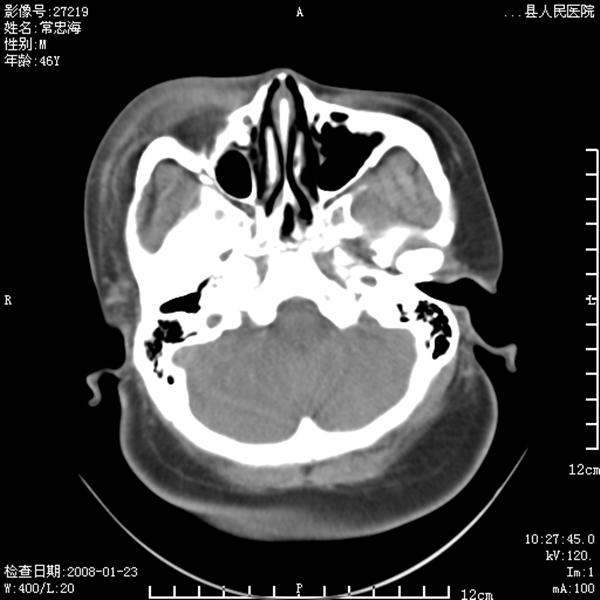
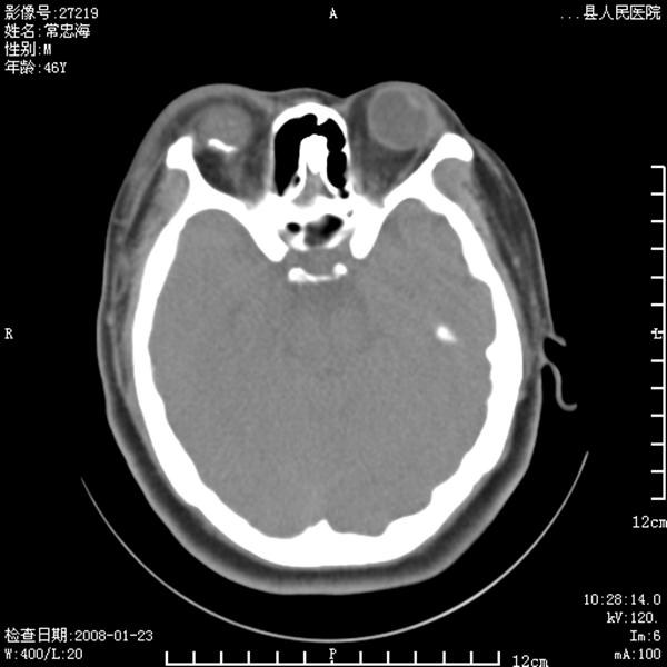
以下是引用形影不离在2008-4-19 21:08:00的发言:[br]胼胝体发育不良;右侧眼球痨。
以下是引用江边学者在2008-4-19 22:26:00的发言:[br]1.胼胝体发育不良。[br]2.右侧眼球痨。[br]3.右侧颜面部软组织挫伤。
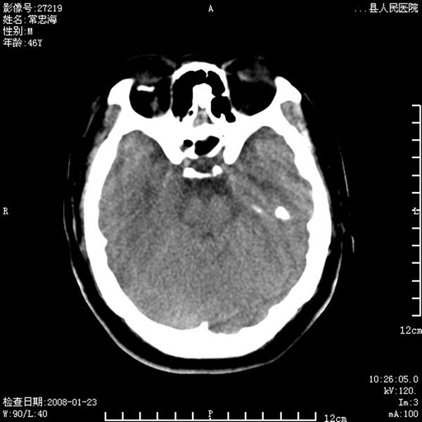
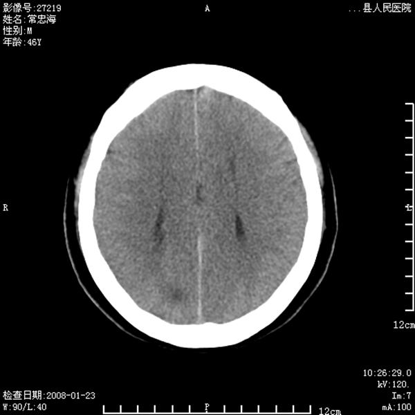
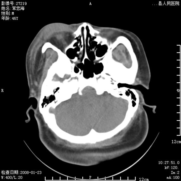
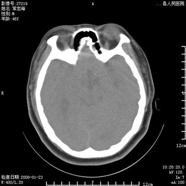
以下是引用形影不离在2008-4-19 21:08:00的发言:[br]胼胝体发育不良;右侧眼球痨。
以下是引用江边学者在2008-4-19 22:26:00的发言:[br]1.胼胝体发育不良。[br]2.右侧眼球痨。[br]3.右侧颜面部软组织挫伤。
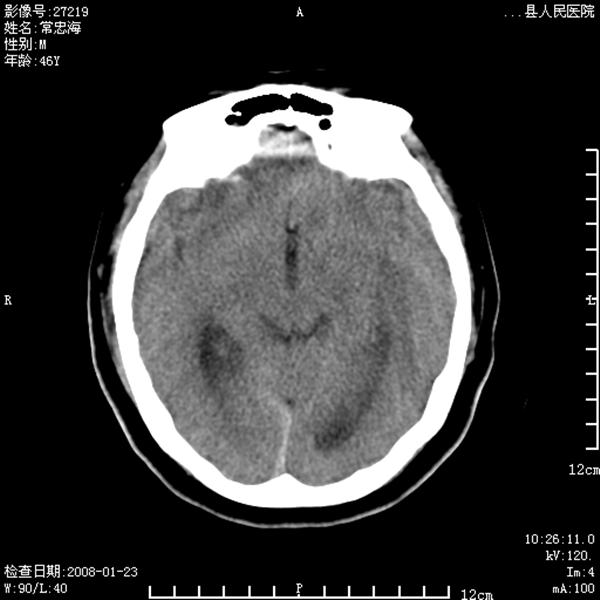
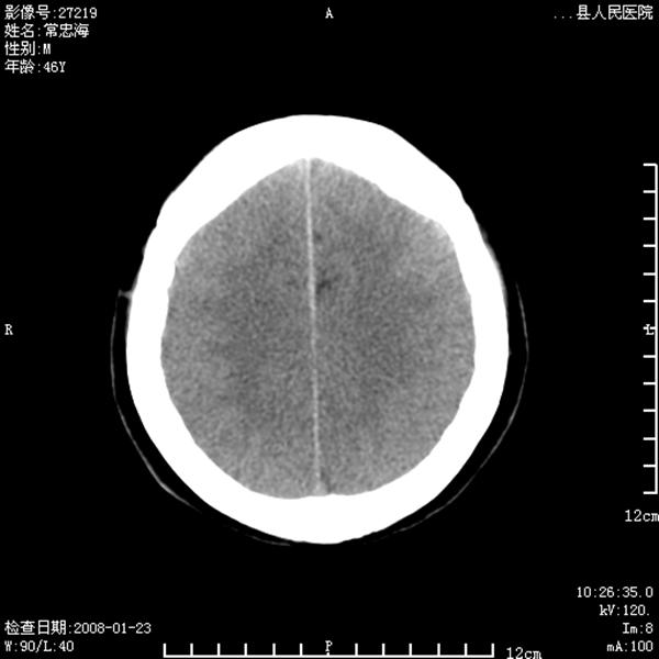
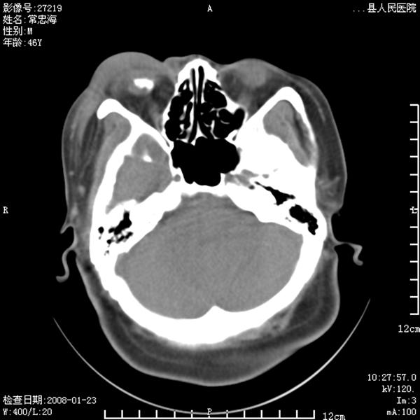
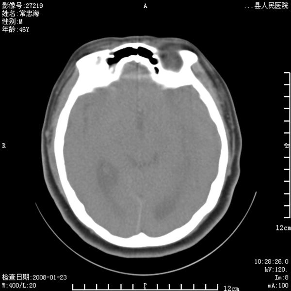
以下是引用江边学者在2008-4-19 22:26:00的发言:[br]1.胼胝体发育不良。[br]2.右侧眼球痨。[br]3.右侧颜面部软组织挫伤。
| 欢迎光临 医影在线 (http://bbs.radida.com/bbs/) | Powered by Discuz! X3.2 |