





















































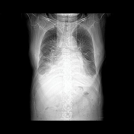
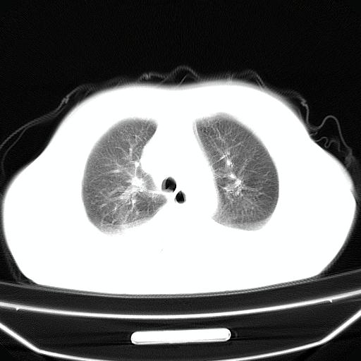
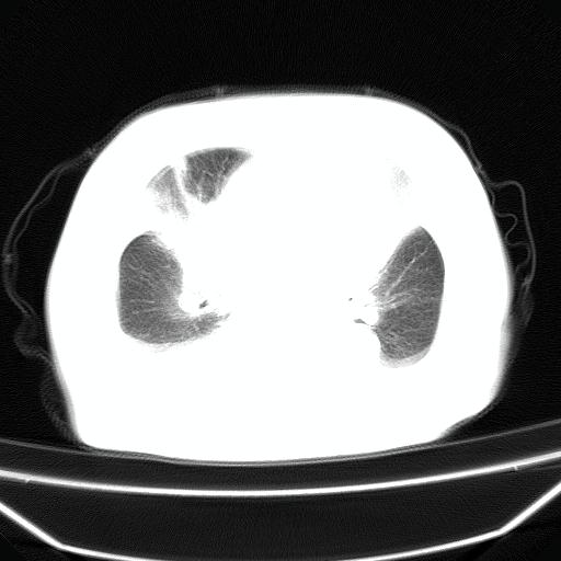
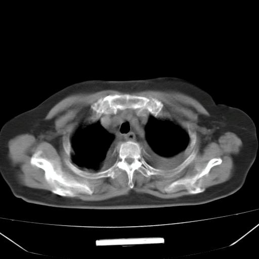
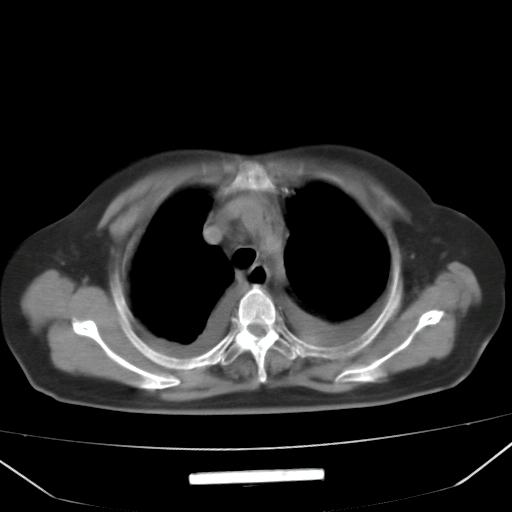
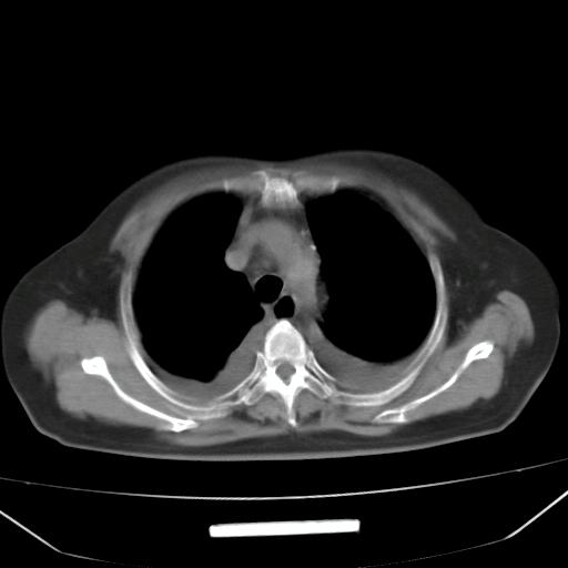
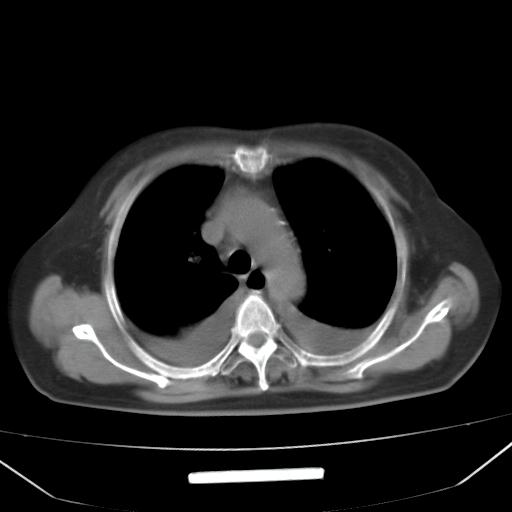
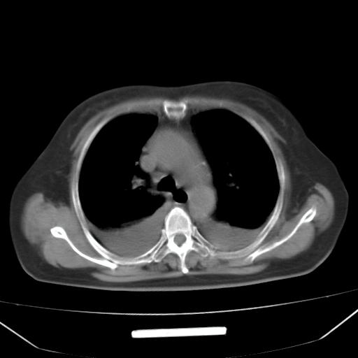
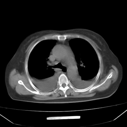
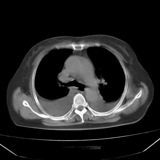
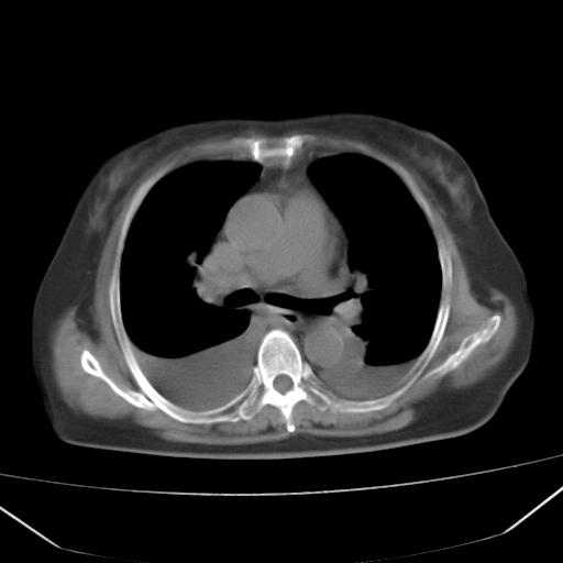
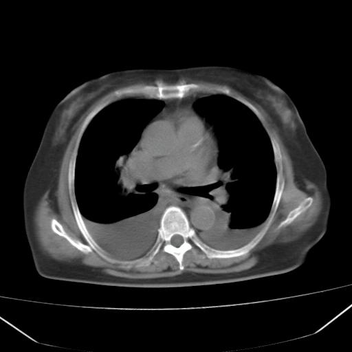
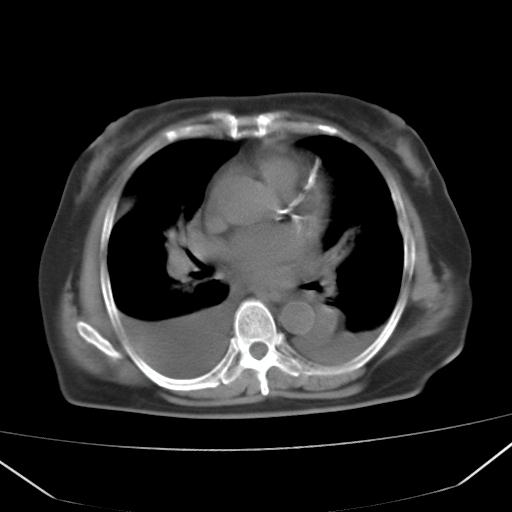
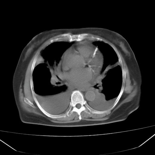
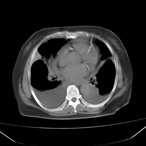
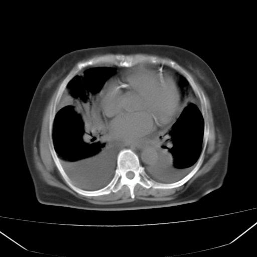
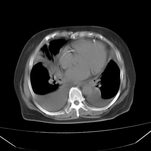
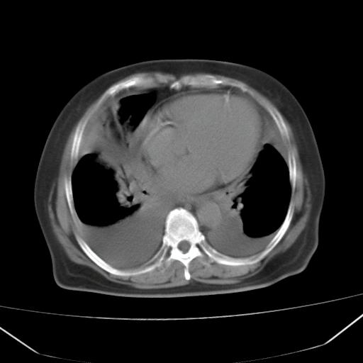
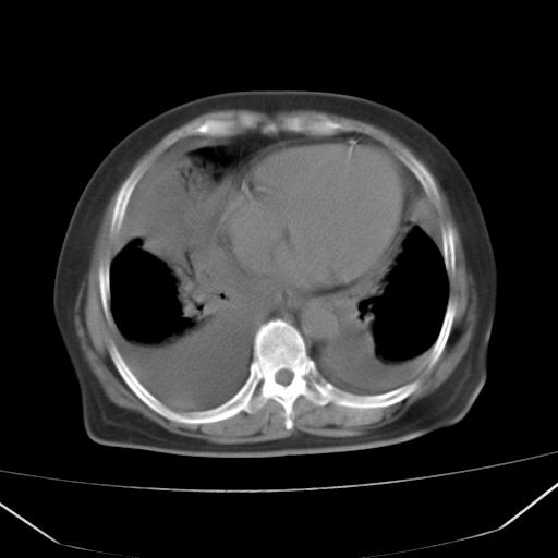
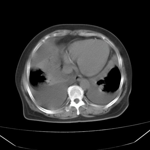
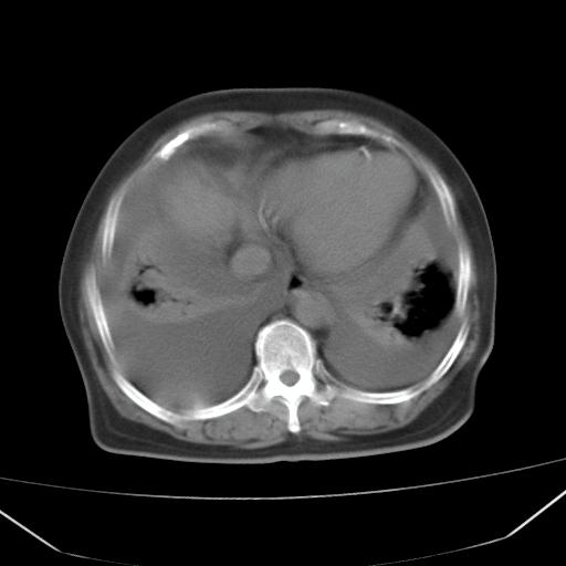
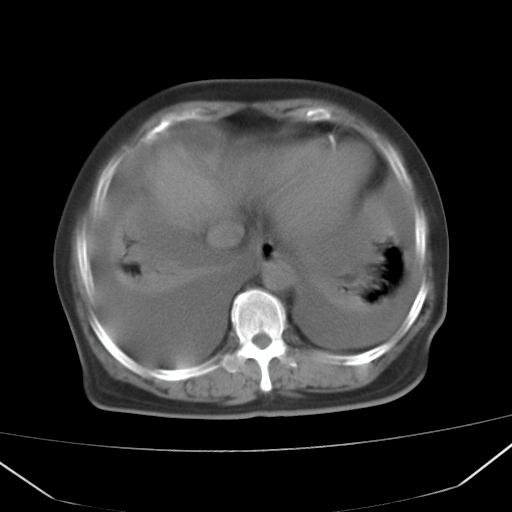
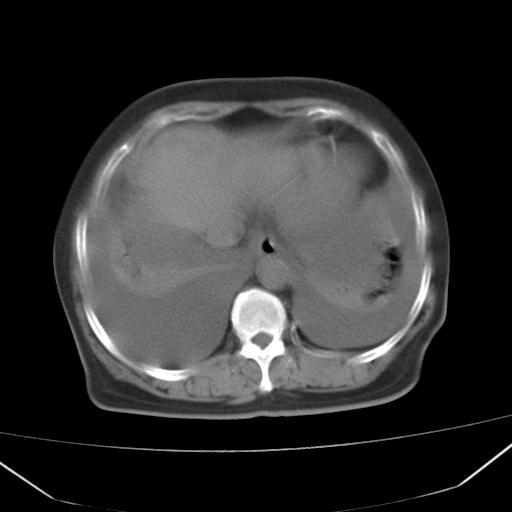
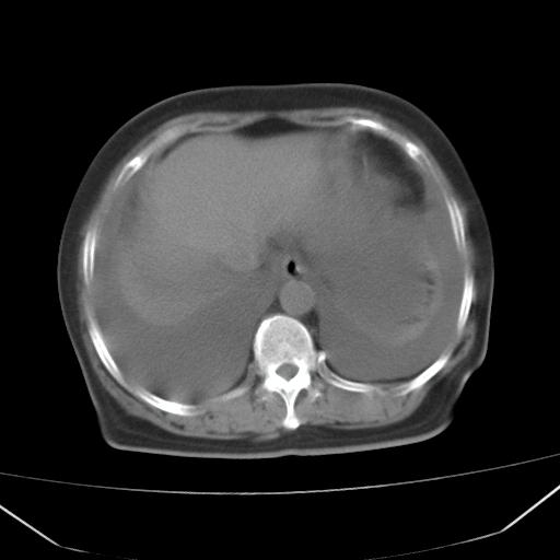
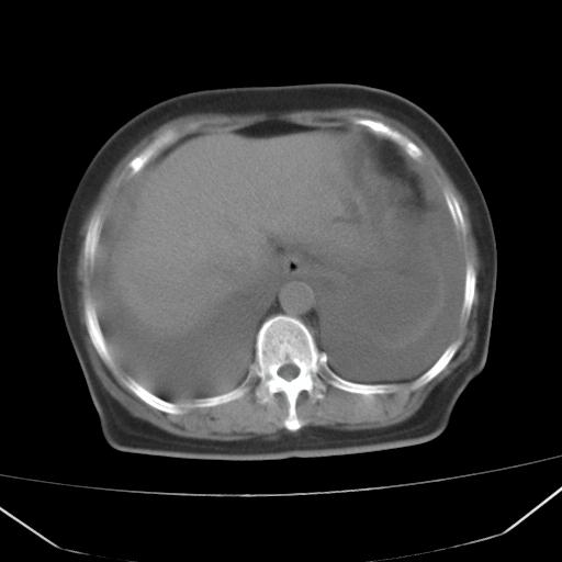
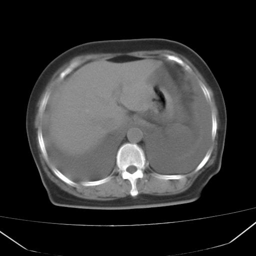
以下是引用liuyue在2008-4-19 22:25:00的发言:[br]先考虑:1.心衰伴肺水肿、双侧胸腔积液、叶间积液、双下肺不完全性肺不张; [br] 2.冠状动脉粥样硬化。
以下是引用lijuanln在2008-4-19 23:05:00的发言:[br]两侧胸腔积液,肺水肿[br]心包积液[br]提示心衰
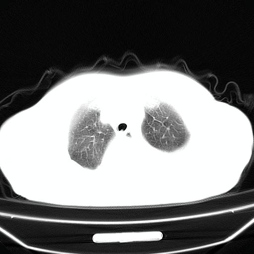
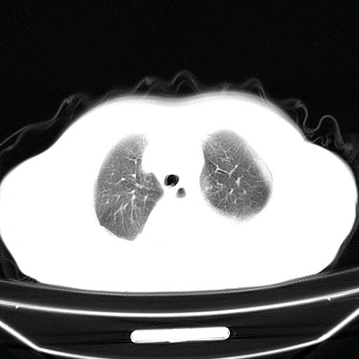
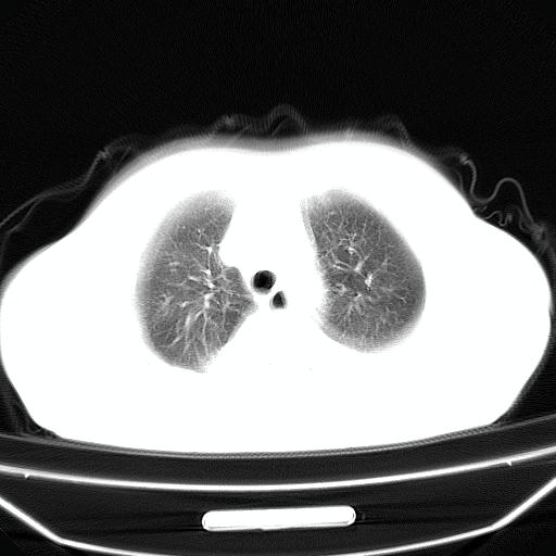
以下是引用jiangjing在2008-4-20 10:43:00的发言:[br]结合病史支持 冠心病[冠状动脉钙化],心功能不全,肺淤血、肺水肿,双侧胸腔与斜裂积液
以下是引用jiangjing在2008-4-20 10:43:00的发言:[br]结合病史支持 冠心病[冠状动脉钙化],心功能不全,肺淤血、肺水肿,双侧胸腔与斜裂积液
以下是引用liuyue在2008-4-19 22:25:00的发言:[br]先考虑:1.心衰伴肺水肿、双侧胸腔积液、叶间积液、双下肺不完全性肺不张; [br] 2.冠状动脉粥样硬化。
以下是引用liuyue在2008-4-19 22:25:00的发言:[br]先考虑:1.心衰伴肺水肿、双侧胸腔积液、叶间积液、双下肺不完全性肺不张; [br] 2.冠状动脉粥样硬化。
| 欢迎光临 医影在线 (http://bbs.radida.com/bbs/) | Powered by Discuz! X3.2 |