
























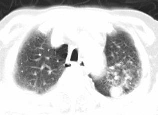
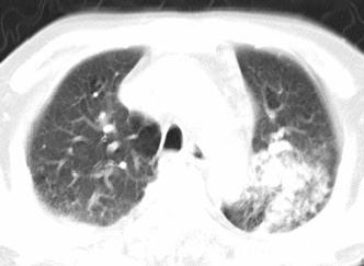
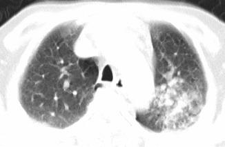
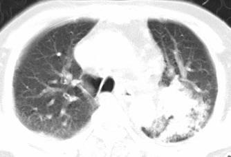
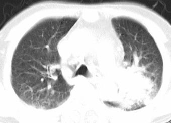
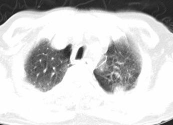
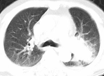
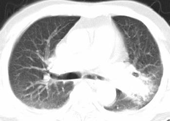
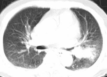
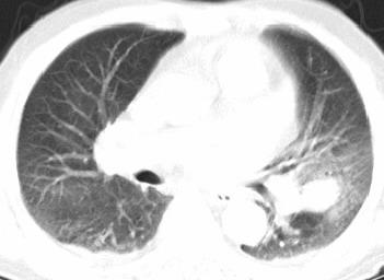
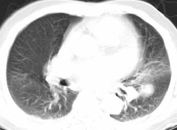
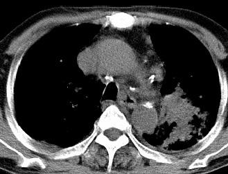
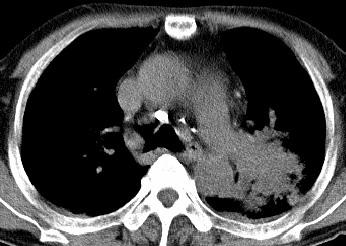
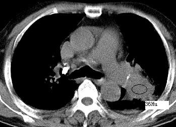
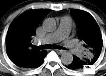
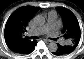
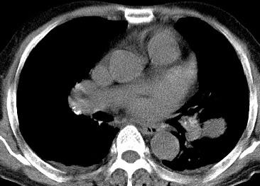
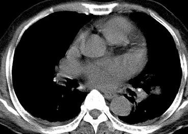
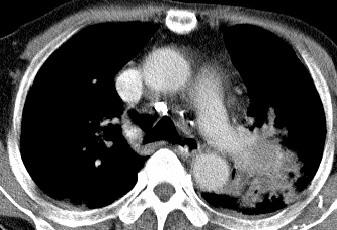
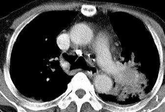
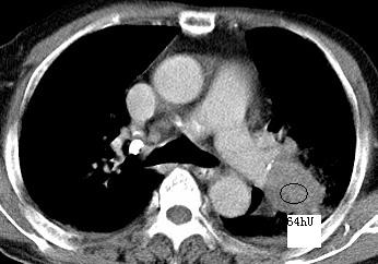
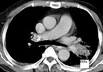
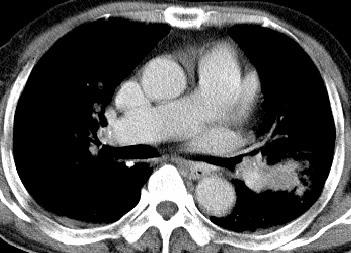
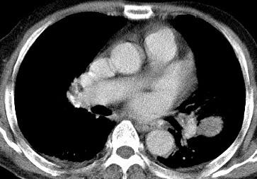
以下是引用xianxianzhongyi在2008-4-20 14:44:00的发言:[br]本人愚见:次病例短短两月的时间,呈现如此大面积实变,病变增长过于迅速,此其一。其二,病变在动脉早期既有明显强化。其三,左上叶后段及下叶背段多叶受累。其四,肺门及纵隔内未见明显肿大的淋巴结。估计层面较厚段支气管显示不清。 诊断:炎性实变可能性大。
以下是引用hhcckk在2008-4-20 15:37:00的发言:[br][quote]以下是引用xianxianzhongyi在2008-4-20 14:44:00的发言:[br]本人愚见:次病例短短两月的时间,呈现如此大面积实变,病变增长过于迅速,此其一。其二,病变在动脉早期既有明显强化。其三,左上叶后段及下叶背段多叶受累。其四,肺门及纵隔内未见明显肿大的淋巴结。估计层面较厚段支气管显示不清。 诊断:炎性实变可能性大。
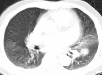
以下是引用光影相伴在2008-4-20 14:39:00的发言:[br]支持:1)左侧中央型肺癌伴左肺上叶阻塞性肺炎。、[br] 2)双侧少量胸腔积液。
| 欢迎光临 医影在线 (http://bbs.radida.com/bbs/) | Powered by Discuz! X3.2 |