医影在线

标题: CT12978:M53Y,体检 [打印本页]

作者: HARRY    时间: 2008-4-20 23:39
标题: CT12978:M53Y,体检















[本贴已被 jiajie 于 2008-4-20 19:00:37 修改过]

作者: 光影相伴    时间: 2008-4-21 00:12
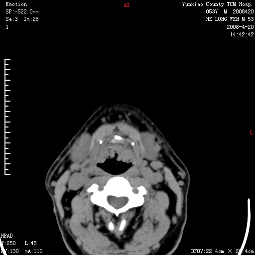
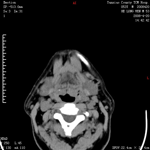
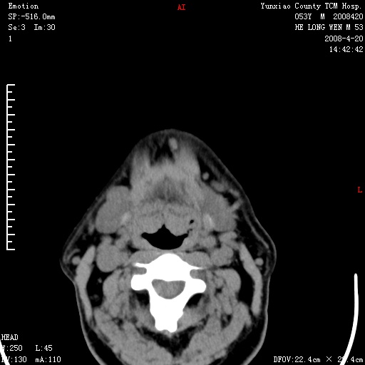
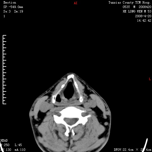
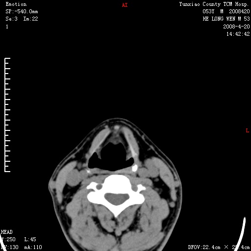
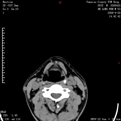
双侧扁桃体肿大:考虑化脓性扁桃体炎。
作者: qiushi    时间: 2008-4-21 00:58
双侧扁桃体肿大 ,考虑扁桃体炎。
作者: 影象小泰斗    时间: 2008-4-21 01:20
双侧扁桃体肿大,建议结合临床!
作者: zsl6918    时间: 2008-4-21 02:48
能强化就强化,不能强化就喉镜检查。
作者: 杀毒软件    时间: 2008-4-21 03:27
双侧扁桃体肿大 ,考虑扁桃体炎
作者: zjzjr    时间: 2008-4-21 03:53
能强化就强化,不能强化就喉镜检查。如怀疑扁桃体肿大,应再往上扫
作者: 影像孺子牛    时间: 2008-4-21 04:31
应该有症状,体检此部位不是常规体检项目,支持双侧扁桃体肿大 ,考虑扁桃体炎,但还是强化一下吧。
作者: hl    时间: 2008-4-21 07:01
双侧扁桃体肿大,考虑扁桃体炎,应做一下增强
作者: xxhwh    时间: 2008-4-21 07:20
应该有症状,体检此部位不是常规体检项目,支持双侧扁桃体肿大 ,考虑扁桃体炎,但还是强化一下吧。
作者: 宇宙CT    时间: 2008-4-21 16:02
应该有症状,体检此部位不是常规体检项目,支持双侧扁桃体肿大 ,考虑扁桃体炎,但还是强化一下吧。
作者: 形影不离    时间: 2008-4-21 16:09
双侧扁桃体肿大 ,考虑扁桃体炎。
作者: qiuleiyu    时间: 2008-4-21 18:30
显示部分为舌扁桃体,腭扁桃体未见显示。会厌显示欠规则,建议喉镜。
作者: 拾荒者    时间: 2008-4-22 05:06
病史太简单,体检?扁桃体是有增大,不会就这么简单吧?
作者: dyqct    时间: 2008-4-25 23:48
标题: 回复:ct12978:m53y,体检
以下是引用zjzjr在2008-4-20 19:53:00的发言:[br]能强化就强化,不能强化就喉镜检查。如怀疑扁桃体肿大,应再往上扫

支持!
作者: jinguoji    时间: 2008-4-27 07:54
能强化就强化,不能强化就喉镜检查。如怀疑扁桃体肿大,应再往上扫----支持!




欢迎光临 医影在线 (http://bbs.radida.com/bbs/) Powered by Discuz! X3.2