
以下是引用wangdch2008在2008-4-21 11:09:00的发言:[br]左侧包 裹性胸腔积液可能性大
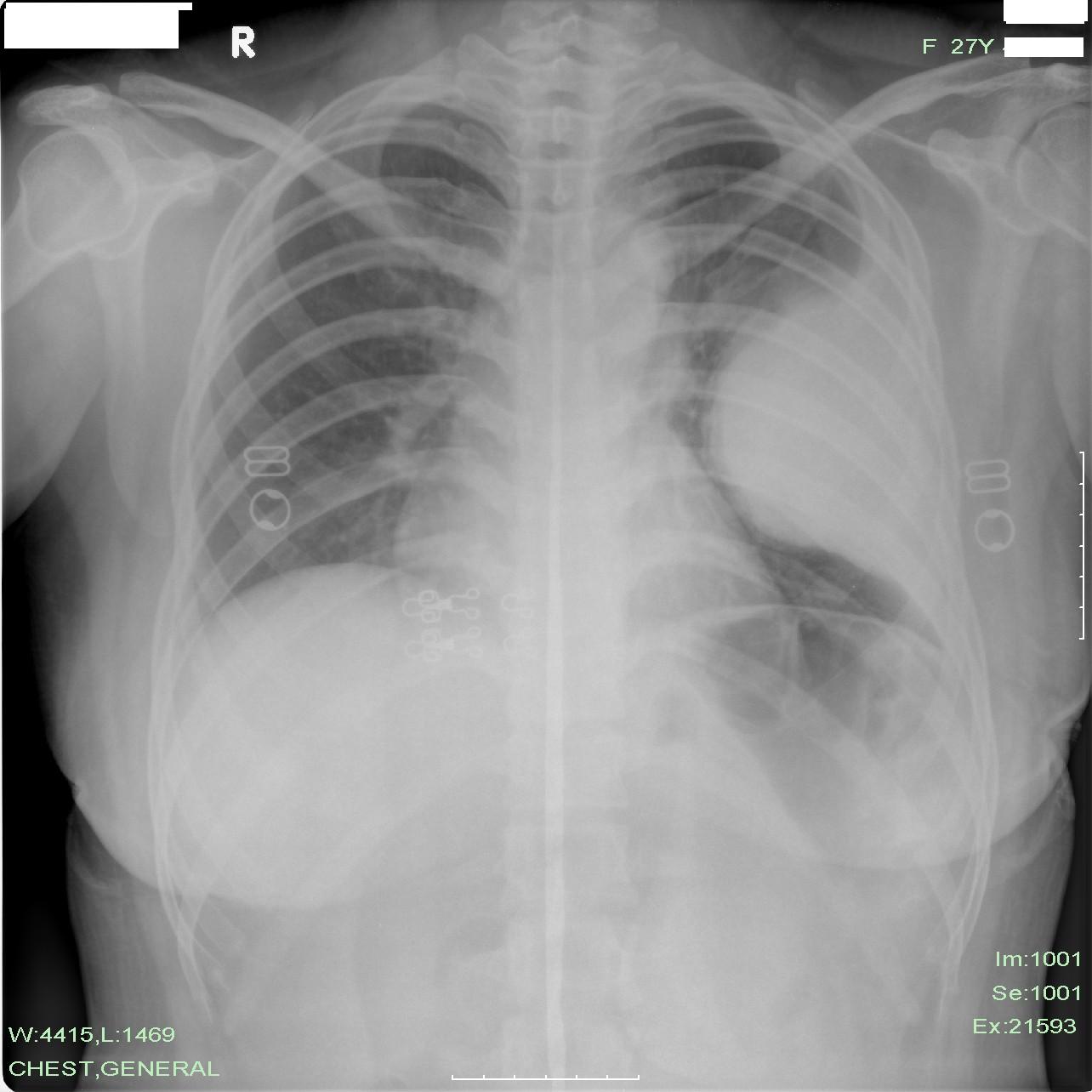
以下是引用chenwei198421st在2008-4-21 11:42:00的发言:[br]病理是来源于肺的小细胞性神经内分泌癌!谢谢大家支持!
以下是引用chenwei198421st在2008-4-21 11:42:00的发言:[br]病理是来源于肺的小细胞性神经内分泌癌!谢谢大家支持!
以下是引用宇宙ct在2008-4-21 10:58:00的发言:[br]间皮瘤?
| 欢迎光临 医影在线 (http://bbs.radida.com/bbs/) | Powered by Discuz! X3.2 |