医影在线
标题: CT13002:女,46岁。有子宫肌瘤手术史,现在出现右臀部向腿 [打印本页]
作者: sxlcbc 时间: 2008-4-22 18:18
标题: CT13002:女,46岁。有子宫肌瘤手术史,现在出现右臀部向腿








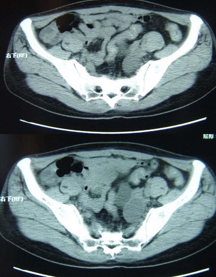
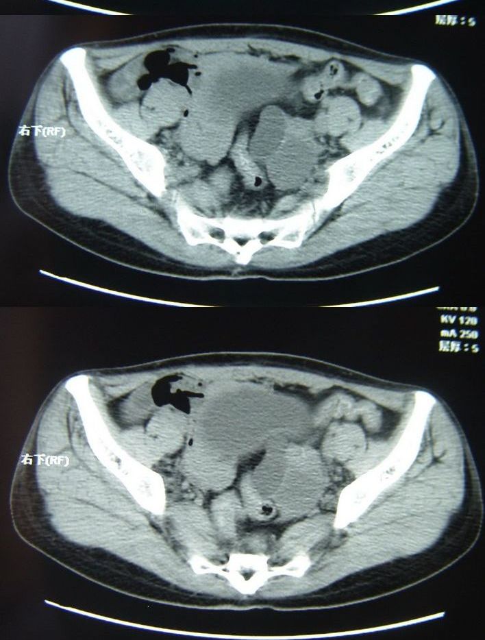
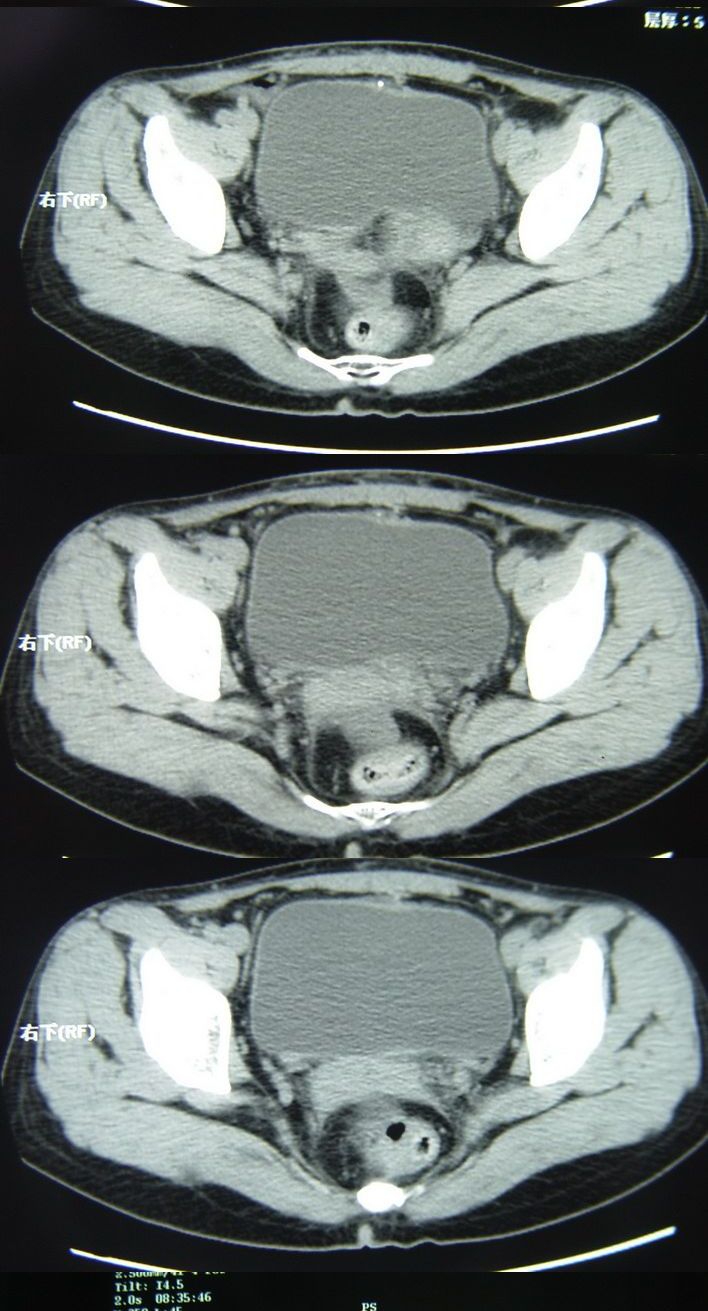
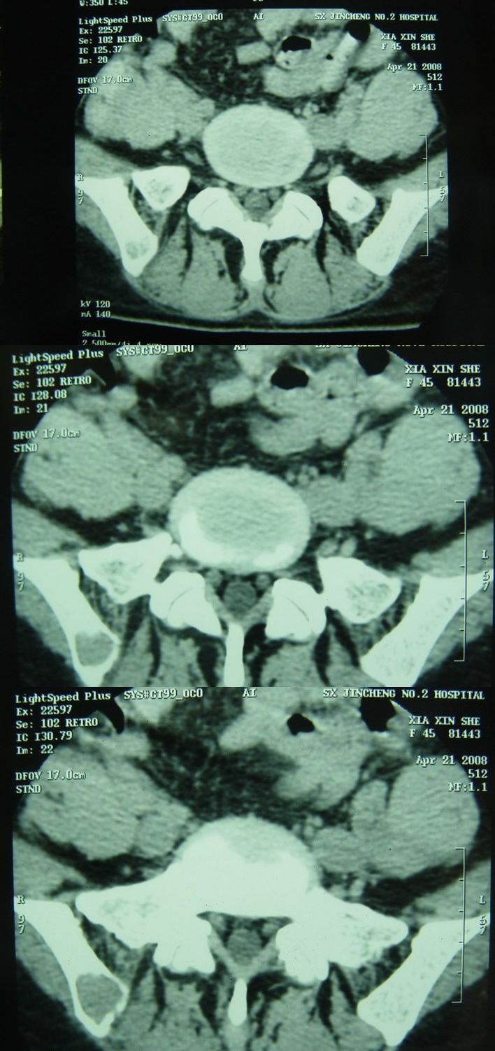
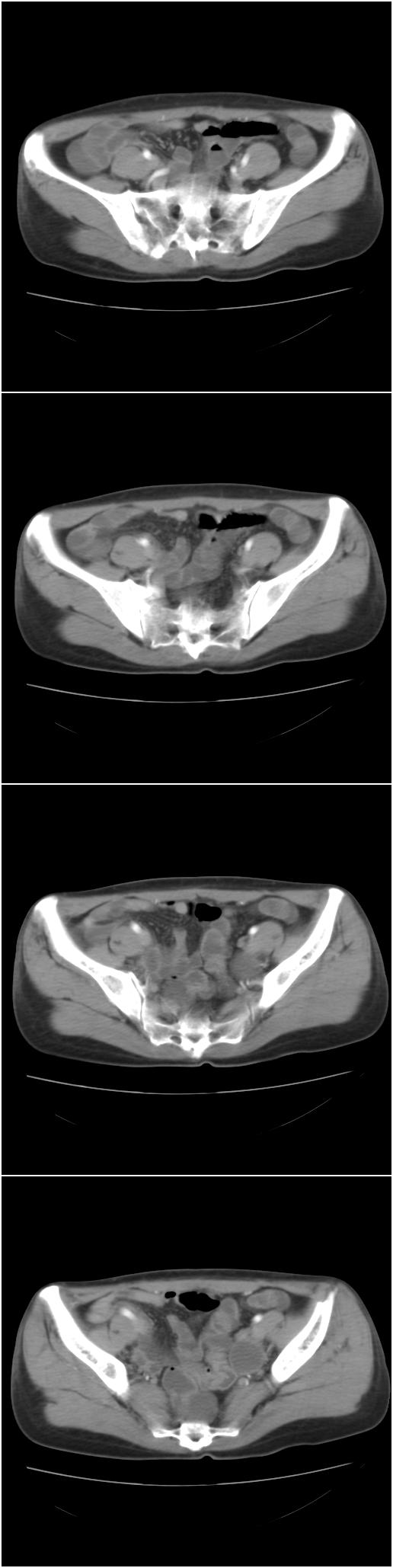
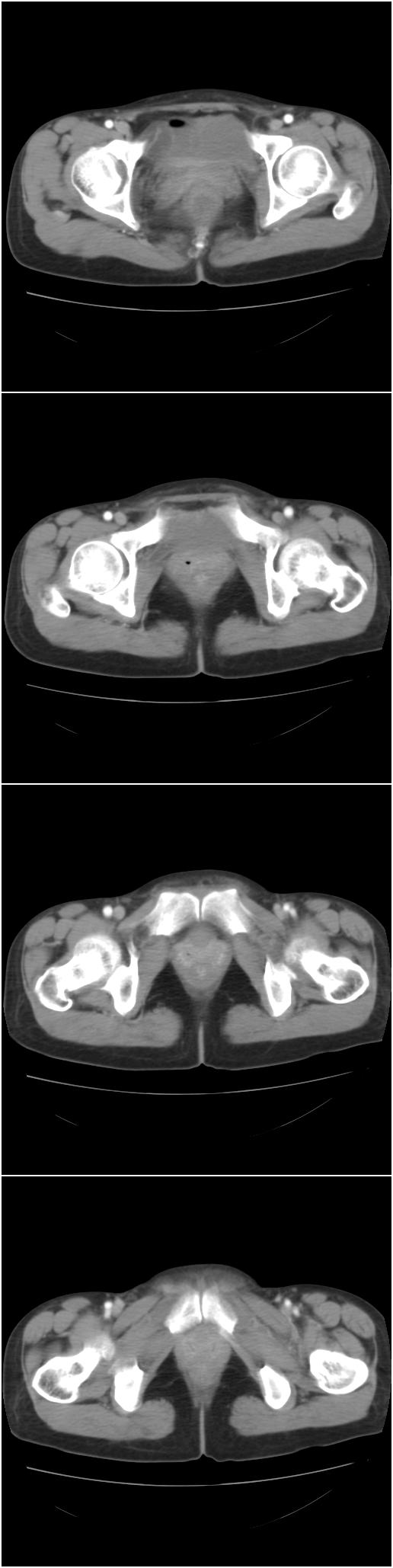
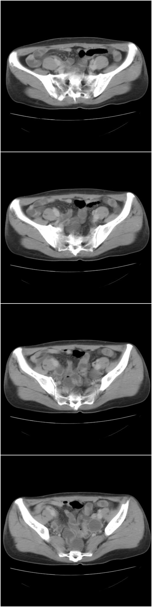
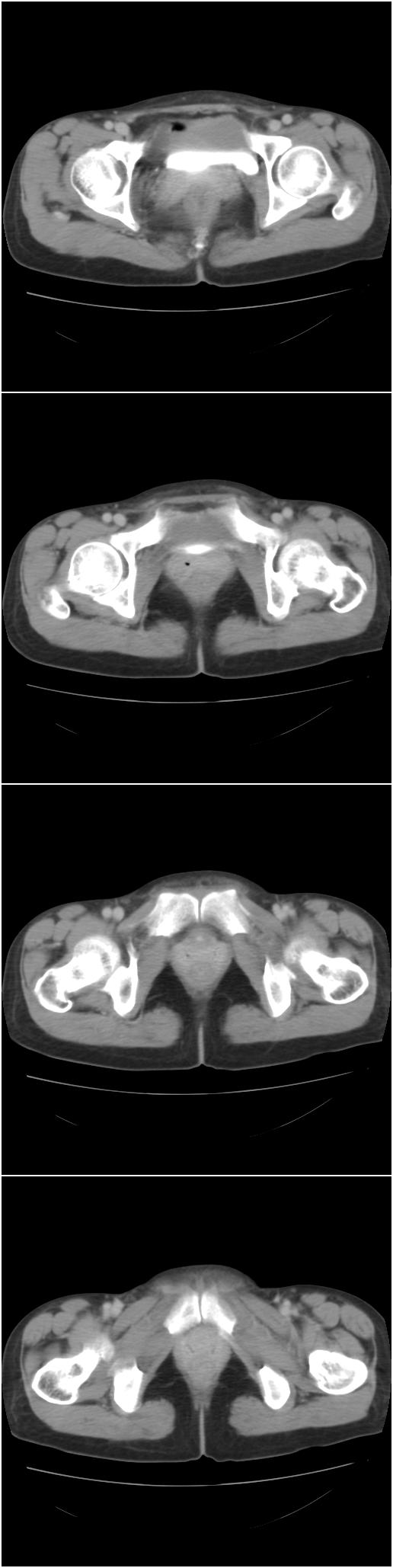
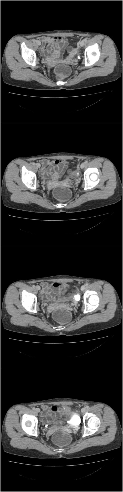
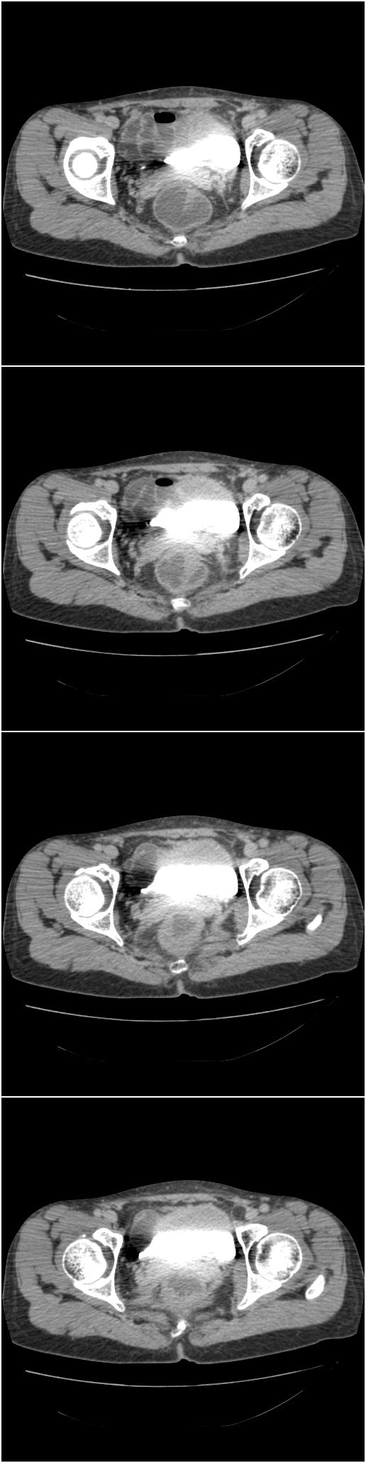
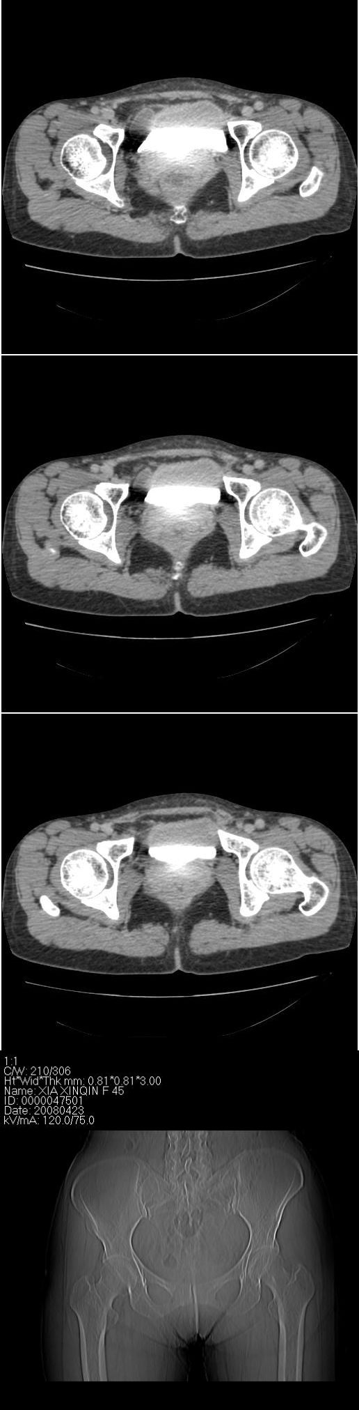
以下是今天的增强片,大家可以看看:












[本贴已被 jiajie 于 2008-4-22 10:19:57 修改过]
[本贴已被 sxlcbc 于 2008-4-23 16:19:53 修改过]
作者: 形影不离 时间: 2008-4-22 18:25
考虑右侧髂骨动脉瘤样骨囊肿。
作者: zzzzhhhhaaaannn 时间: 2008-4-22 19:25
右侧髂骨动脉瘤样骨囊肿
作者: yangyudong333 时间: 2008-4-22 19:50
右侧髂骨动脉瘤样骨囊肿
作者: 前行 时间: 2008-4-22 20:11
骨囊肿
作者: haiming911 时间: 2008-4-22 20:25
考虑1、骨囊肿;2、骨巨细胞瘤。
作者: 沙漠骆驼 时间: 2008-4-22 20:27
考虑: 右侧髂骨动脉瘤样骨囊肿可能性大.
作者: 杀毒软件 时间: 2008-4-22 21:00
考虑右侧髂骨动脉瘤样骨囊肿
作者: liuyue 时间: 2008-4-22 21:43
考虑右侧髂骨动脉瘤样骨囊肿。
作者: jiangjing 时间: 2008-4-22 22:13
考虑 巨细胞瘤。其他待排
作者: 一棵树 时间: 2008-4-22 22:18
病变内部无分隔,未见骨嵴,边缘无硬化考虑动脉瘤样骨囊肿。
作者: qiushi 时间: 2008-4-22 22:38
病变内部无分隔,未见骨嵴,边缘无硬化考虑动脉瘤样骨囊肿。
期待结果
作者: zsl6918 时间: 2008-4-22 22:39
考虑嗜酸性肉芽肿
作者: lrj 时间: 2008-4-22 23:51
1,如果是转移瘤,必须有一定的病史,转移瘤以溶骨性骨破坏无膨胀性骨改变.2,如果是骨囊肿的话,病变的边缘要光整,此病例不是那么光整.3,如果是骨巨的话,好发年龄20-40岁,髂骨也是骨巨的好发部位,同时骨端是骨巨的好发特点,这个病例恰好发生在髂骨耳状面边缘,呈膨胀性生长,虽说年龄偏大了些,但本人还是倾向于骨巨的诊断
作者: 卜一 时间: 2008-4-23 00:10
考虑:右侧髂骨动脉瘤样骨囊肿,巨细胞瘤待排。
作者: zjzjr 时间: 2008-4-23 00:27
考虑右侧髂骨骨囊肿可能性大。盆腔左侧可见混杂密度区,请告知手术方式,充盈肠管重扫除外占位性病变.
作者: dyqct 时间: 2008-4-23 00:28
考虑右侧髂骨动脉瘤样骨囊肿。
作者: shiqingfa 时间: 2008-4-23 02:52
右侧髂骨动脉瘤样骨囊肿
支持
作者: qc80012345 时间: 2008-4-23 03:12
骨巨细胞瘤。鉴别,1,骨囊肿;好发于长骨的干骺端,多见于青少年,骨盆骨囊肿特点是,病变内可有不规则骨小梁间隔,呈肥皂泡状/蜂窝状,骨囊肿周围有硬化边,无骨质破坏及骨膜反映,无软组织肿块。2,动脉瘤样骨囊肿;液平及薄层密质硬化边。3,骨慢性感染;多有疼痛,发热病史,病变周围模糊,可有明显的骨质增生。
作者: zhengfaming 时间: 2008-4-23 03:21
右髂骨见一类圆形略高密度区,似见分层,骨质破坏不明显
考虑良性病变,以动脉瘤样骨囊肿可能性大
作者: 随光逐影 时间: 2008-4-23 03:26
考虑为:右侧髂骨良性骨肿瘤或骨肿瘤样病变(动脉瘤样骨囊肿?骨巨细胞瘤?)。
作者: 求知若渴 时间: 2008-4-23 04:59
标题: 回复:ct13002:女,46岁。有子宫肌瘤手术史,现在出现右臀
以下是引用jiangjing在2008-4-22 14:13:00的发言:[br]考虑 巨细胞瘤。其他待排
动脉瘤样骨囊肿边缘有硬化边.
作者: panyishengct 时间: 2008-4-23 05:48
考虑为:右侧髂骨良性骨肿瘤或骨肿瘤样病变(动脉瘤样骨囊肿?骨巨细胞瘤?)。
作者: 拾荒者 时间: 2008-4-23 06:13
右侧髂骨后缘囊状膨胀性骨质改变,无明显骨间隔,周围无明显硬化及骨膜反应,周围软组织无异常,相邻骨组织密度增高,考虑:动脉瘤样骨囊肿可能,要注意与骨巨细胞瘤及转移瘤鉴别。
作者: 黑白光影 时间: 2008-4-23 18:00
标题: 回复:ct13002:女,46岁。有子宫肌瘤手术史,现在出现右臀
以下是引用随光逐影在2008-4-22 19:26:00的发言:[br]考虑为:右侧髂骨良性骨肿瘤或骨肿瘤样病变(动脉瘤样骨囊肿?骨巨细胞瘤?)。
作者: 深泽交通 时间: 2008-4-23 19:35
囊性;密度均;未见分格;骨囊肿
作者: 影象小辈 时间: 2008-4-23 21:22
右侧髂骨膨胀性骨质破坏区 囊内密度尚均匀 骨巨细胞瘤可能性大 动脉瘤样骨囊肿不除外 建议mr观察囊内成分明确诊断 左侧附件区包裹性积液
作者: sxlcbc 时间: 2008-4-24 00:21
该病人今天做了增强,右侧髂骨病灶明显强化。
作者: wanghuiyellf 时间: 2008-4-24 02:57
骨囊肿
作者: sxlcbc 时间: 2008-4-24 03:38
据患者家属提示,曾在某医院检查说是卵巢有问题,患者这一次做ct增强,主要目的是排除卵巢病变,担心骨转移
作者: 阿康2008 时间: 2008-4-24 03:54
良性病变,巨细胞瘤?骨囊肿?
作者: qiuleiyu 时间: 2008-4-24 04:24
右侧髂后上棘局限性囊状骨质破坏,大部分界清,似见轻度硬化边,内无分格及钙化,病灶上部局部显示模糊。考虑;骨巨细胞瘤可能大,不除外abc。另可见子宫肌瘤术后子宫缺如。
作者: fanshl 时间: 2008-4-24 15:33
标题: 回复
临床和影像学表现:女性患者46岁,有子宫肌瘤手术病史。影像所见可见残余宫颈部分,左右附件未见新生物;右髂骨翼后端囊状膨胀性骨破坏,囊性部分感觉有强化(楼主标上增强前后的ct值就很好了),未见明确的液—液平面,周边硬化不明显或轻度硬化。
分析:患者年龄46岁,没有明确外伤病史,病变呈膨胀性骨破坏,囊性部分未见明确的液—液平面,周边硬化不明显。综合分析该病例比较符合骨巨细胞瘤,不太符合动脉瘤样骨囊肿。
诊断:1、首先考虑骨巨细胞瘤;2子宫肌瘤术后改变
[本贴已被 fanshl 于 2008-4-24 7:36:34 修改过]
作者: 影象小辈 时间: 2008-4-24 21:42
骨巨细胞瘤可能性大 盆腔包裹积液
作者: jinguoji 时间: 2008-4-30 22:28
右侧髂骨动脉瘤样骨囊肿
| 欢迎光临 医影在线 (http://bbs.radida.com/bbs/) |
Powered by Discuz! X3.2 |