医影在线
标题: X4012:一组有毒气体中毒患者胸片 [打印本页]
作者: hexue 时间: 2008-4-23 02:18
标题: X4012:一组有毒气体中毒患者胸片
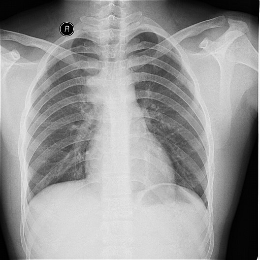
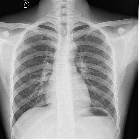
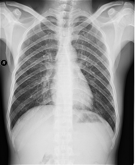
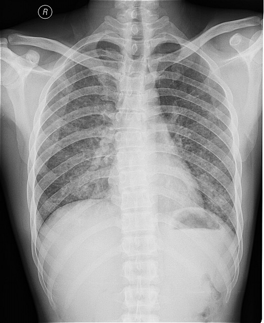
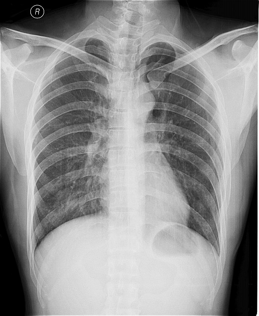
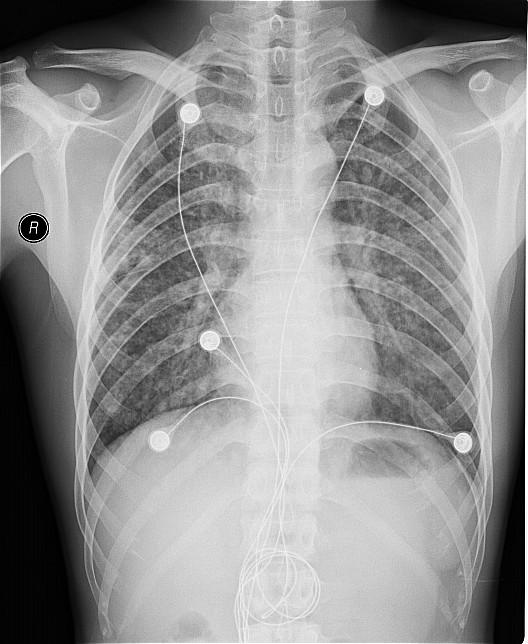
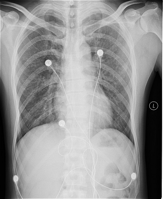
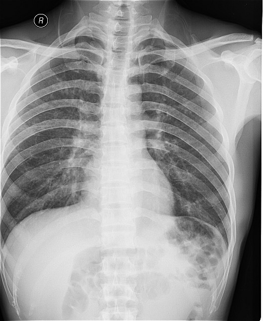
一钨矿工厂因有毒气体泄漏(据说是硝酸)造成十多名工人中毒,均出现不同程度的咳嗽,气逼,心跳加快等中毒症状.其中有几例患者胸片出现小点片状,结节状阴影.是此次中毒引起的肺部改变还是原来就患有矽肺病或其它病变.








[本贴已被 jiajie 于 2008-4-22 18:20:38 修改过]
作者: 358450m 时间: 2008-4-23 02:35
肺水肿,及原来就患有矽肺病
作者: 黑白光影 时间: 2008-4-23 02:48
是矽肺还是呼吸道毒气中毒还真不好说,建议用此组患者病情好转后的复查片说话。
作者: zhengfaming 时间: 2008-4-23 02:59
应该治疗后复查对比
作者: 随光逐影 时间: 2008-4-23 03:36
标题: 回复:x4012:一组有毒气体中毒患者胸片
以下是引用黑白光影在2008-4-22 18:48:00的发言:[br]是矽肺还是呼吸道毒气中毒还真不好说,建议用此组患者病情好转后的复查片说话。
支持。
作者: 杀毒软件 时间: 2008-4-23 03:39
标题: 回复:x4012:一组有毒气体中毒患者胸片
以下是引用黑白光影在2008-4-22 18:48:00的发言:[br]是矽肺还是呼吸道毒气中毒还真不好说,建议用此组患者病情好转后的复查片说话。
支持
作者: 前行 时间: 2008-4-23 03:50
建议高千伏或ct检查
作者: qsbaomingcheng 时间: 2008-4-23 04:12
是矽肺还是呼吸道毒气中毒还真不好说,建议用此组患者病情好转后的复查片说话。
黑白光影说
作者: yangyudong333 时间: 2008-4-23 04:12
支持矽肺
作者: cmj 时间: 2008-4-23 04:19
原就有的矽肺,未见中毒性肺水肿
作者: 眼睛 时间: 2008-4-23 04:22
建议治疗后复查。
[本贴已被 眼睛 于 2008-4-22 20:22:57 修改过]
作者: dyqct 时间: 2008-4-23 04:59
标题: 回复:x4012:一组有毒气体中毒患者胸片
以下是引用黑白光影在2008-4-22 18:48:00的发言:[br]是矽肺还是呼吸道毒气中毒还真不好说,建议用此组患者病情好转后的复查片说话。
支持!
作者: ZHANGZHONGSHOU 时间: 2008-4-23 05:49
短期复查可明确是否有中毒性肺水肿(中毒肺损害)
作者: jinguoji 时间: 2008-4-23 05:56
是矽肺还是呼吸道毒气中毒还真不好说,建议用此组患者病情好转后的复查片说话。----支持!
作者: yxwsd 时间: 2008-4-23 06:04
我看还是以矽肺为主,建议用此组患者病情好转后的复查片说话。
作者: liliang23 时间: 2008-4-23 06:05
是矽肺还是呼吸道毒气中毒还真不好说,建议用此组患者病情好转后的复查片
作者: wy232326 时间: 2008-4-23 06:08
是矽肺还是呼吸道毒气中毒还真不好说,建议用此组患者病情好转后的复查片说话。支持
作者: tfq6909 时间: 2008-4-23 07:06
支持矽肺,未见肺水肿.建议治疗后复查
作者: dr.yang 时间: 2008-4-23 07:58
标题: 回复:x4012:一组有毒气体中毒患者胸片
以下是引用黑白光影在2008-4-22 18:48:00的发言:[br]是矽肺还是呼吸道毒气中毒还真不好说,建议用此组患者病情好转后的复查片说话。
作者: 宇宙CT 时间: 2008-4-23 18:12
是矽肺还是呼吸道毒气中毒还真不好说,建议用此组患者病情好转后的复查片说话。
作者: xuhuihong 时间: 2008-4-23 20:16
hrct
作者: qc80012345 时间: 2008-4-23 20:26
尘肺。
作者: jiangjing 时间: 2008-4-23 20:54
矽肺,部分胸片可见肺水肿。治疗复查
作者: 王2008 时间: 2008-4-23 23:08
建议治疗后复查。
作者: qchxj1977 时间: 2008-4-23 23:47
标题: 回复:x4012:一组有毒气体中毒患者胸片
以下是引用王2008在2008-4-23 15:08:00的发言:[br]建议治疗后复查。[br]
作者: ljj88 时间: 2008-4-24 00:31
短期复查可明确是否有中毒性肺水肿(中毒肺损害)
作者: shibing 时间: 2014-1-4 08:56
肺水肿
| 欢迎光临 医影在线 (http://bbs.radida.com/bbs/) |
Powered by Discuz! X3.2 |