医影在线

标题: X4013:M60Y,胸部平片 [打印本页]

作者: 黑白光影    时间: 2008-4-23 03:09
标题: X4013:M60Y,胸部平片
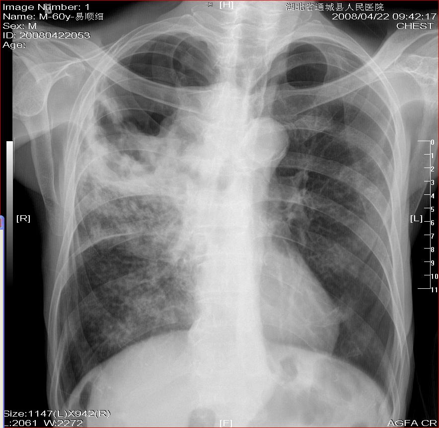
男  60岁  自述:进行性消瘦  畏寒  咳嗽  偶咳粘稠‘黑’色痰  食欲下降一月余。不烧 无盗汗。





[本贴已被 jiajie 于 2008-4-22 20:45:04 修改过]

作者: 358450m    时间: 2008-4-23 03:17
右肺tb
作者: liangshusheng    时间: 2008-4-23 03:20
右肺中央型肺癌并阻塞性肺炎,慢支肺气肿。主动脉硬化,肺心待排,建议ct检查。
作者: 杀毒软件    时间: 2008-4-23 03:42
考虑右肺干酪性肺炎并双肺播散
作者: 随光逐影    时间: 2008-4-23 03:43
1)右上肺继发性肺结核伴空洞形成,两肺支气管播散。2)主动脉结钙化。
作者: 前行    时间: 2008-4-23 03:47
支持楼上
作者: clj20    时间: 2008-4-23 04:07
胸片有胸片的局限性,此种病例最好做ct检查,排除肺ca,另右上肺可能有肺大泡
作者: yangyudong333    时间: 2008-4-23 04:10
1)右上肺继发性肺结核伴空洞形成,两肺支气管播散。2)主动脉结钙化。
作者: qsbaomingcheng    时间: 2008-4-23 04:11
1)右肺继发性肺结核,两肺支气管播散
2)右上肺损毁?
作者: yuebin    时间: 2008-4-23 04:14
1)右上肺继发性肺结核伴空洞形成,两肺支气管播散。  
  
支持.未见明确肿块.
作者: 眼睛    时间: 2008-4-23 04:20
胸片有胸片的局限性,此种病例最好做ct检查,排除肺ca,另右上肺可能有肺大泡
作者: 碧空一鹰    时间: 2008-4-23 04:29
加做侧位及ct
作者: dyqct    时间: 2008-4-23 04:57
标题: 回复:x4013:m60y,胸部平片
以下是引用随光逐影在2008-4-22 19:43:00的发言:[br]1)右上肺继发性肺结核伴空洞形成,两肺支气管播散。2)主动脉结钙化。

支持!建议ct进一步检查。
作者: jinguoji    时间: 2008-4-23 05:55
考虑右肺干酪性肺炎并双肺播散,建议ct检查。
作者: wy232326    时间: 2008-4-23 06:06
1)右上肺继发性肺结核伴空洞形成,两肺支气管播散。2)主动脉结钙化。  支持
作者: tfq6909    时间: 2008-4-23 07:11
为什么老没侧位片,不好排除肿块.但下肺野也有小片影,多考虑tb播散
作者: 宇宙CT    时间: 2008-4-23 18:13
1)右上肺继发性肺结核伴空洞形成,两肺支气管播散。  
  
支持.未见明确肿块.
作者: 彭    时间: 2008-4-23 18:19
支持三楼,建议ct.
作者: jiangjing    时间: 2008-4-23 19:20
考虑 肺癌或结核,没有侧位。建议结合临床及痰检与ct及相关检查
作者: 宇宙CT    时间: 2008-4-23 19:47
考虑 肺癌或结核,没有侧位。建议结合临床及痰检与ct及相关检查
作者: qc80012345    时间: 2008-4-23 20:33
ct检查
作者: hexue    时间: 2008-4-23 21:00
标题: 回复:x4013:m60y,胸部平片
考虑 肺癌或结核,没有侧位。建议结合临床及痰检与ct及相关检查
作者: 王2008    时间: 2008-4-23 23:03
以下是引用随光逐影在2008-4-22 19:43:00的发言:
1)右上肺继发性肺结核伴空洞形成,两肺支气管播散。2)主动脉结钙化。


支持!建议ct进一步检查。
作者: qchxj1977    时间: 2008-4-23 23:53
1)右上肺继发性肺结核伴空洞形成,两肺支气管播散。2)主动脉结钙化。
作者: ljj88    时间: 2008-4-24 00:35
1)右上肺继发性肺结核伴空洞形成,两肺支气管播散。2)主动脉结钙化。
作者: shibing    时间: 2014-1-4 08:55
ct




欢迎光临 医影在线 (http://bbs.radida.com/bbs/) Powered by Discuz! X3.2