医影在线

标题: CT13019:M,36Y。少见头面部外伤。 [打印本页]

作者: 随光逐影    时间: 2008-4-23 06:05
标题: CT13019:M,36Y。少见头面部外伤。
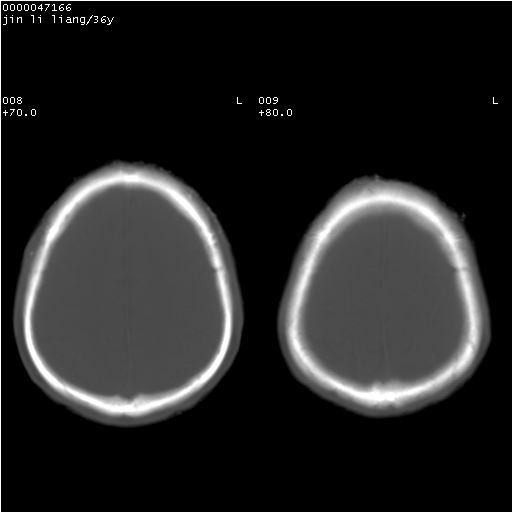
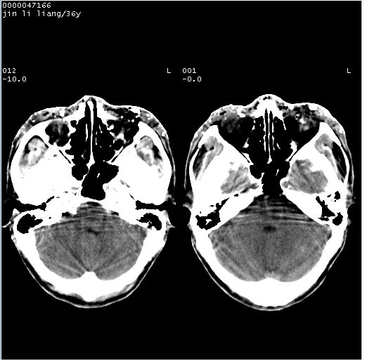
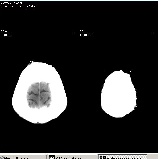
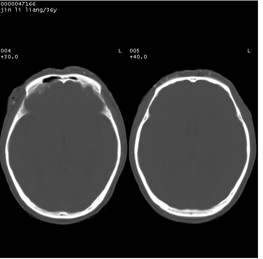
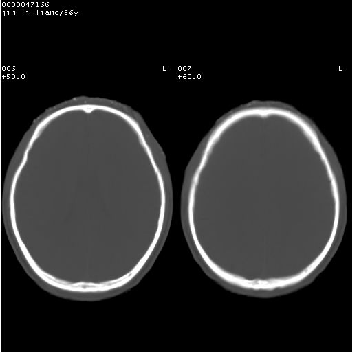
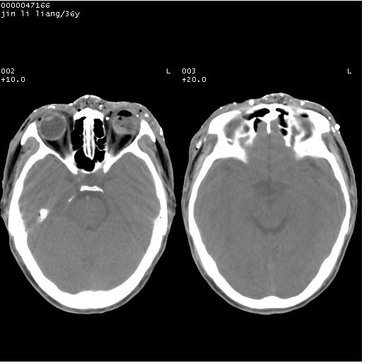
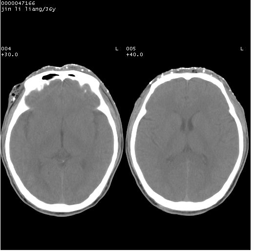
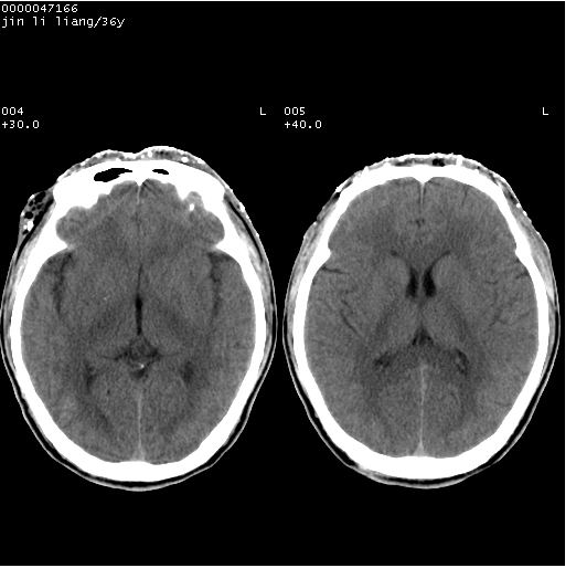
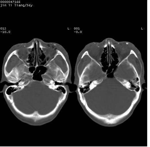
患者 男,36岁。头面部“土炮”炸伤。pe:面目全非,伤口流血不止。

临床诊断:头面部外伤。

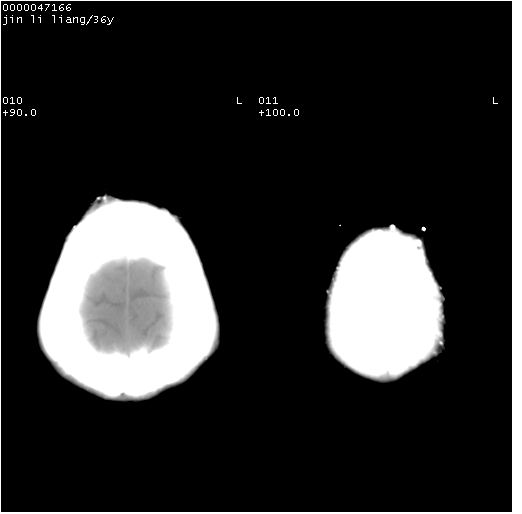
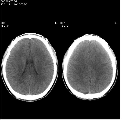
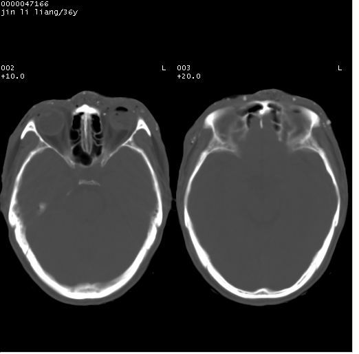
颅脑ct轴位平扫(层厚、层距均为10mm),图像如下:




























[本贴已被 翁志蓬 于 2008-4-22 23:42:58 修改过]

作者: qiushi    时间: 2008-4-23 06:27
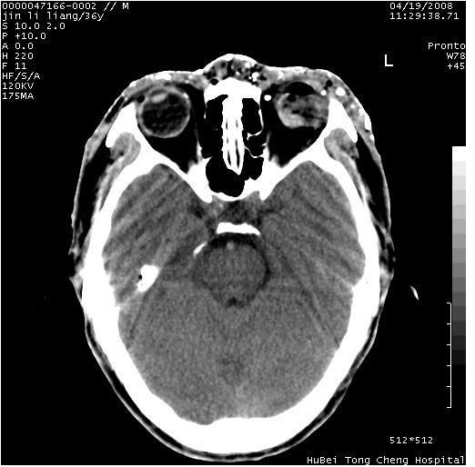
左眼球破裂,异物.
作者: zsl6918    时间: 2008-4-23 06:42
典型的面目全非了.
作者: wnlyq8688    时间: 2008-4-23 06:57
左眼球破裂,球内异物
作者: dr.yang    时间: 2008-4-23 06:57
左眼球内容物浑浊其内见气体影,头面部异物.
作者: peijunlong    时间: 2008-4-23 07:07
左眼球破裂,球内异物典型的面目全非了.
作者: trljl    时间: 2008-4-23 07:15
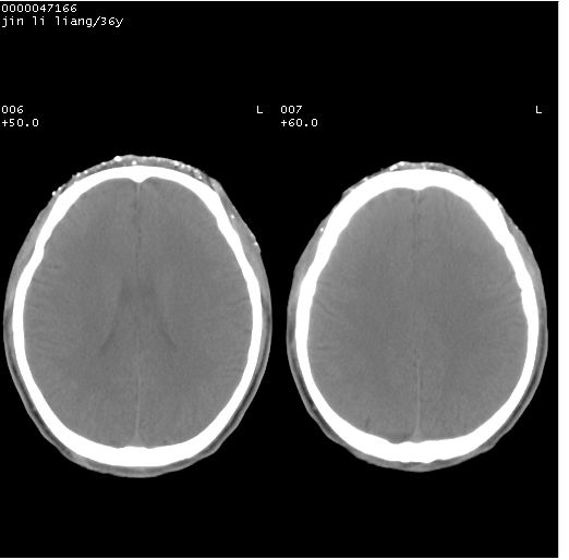
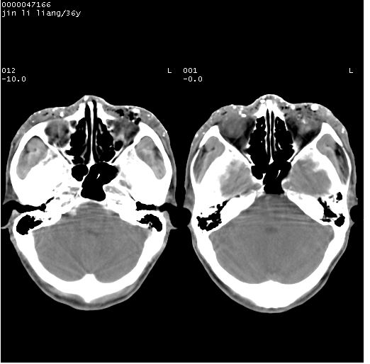
左眼球破裂并异物,眶周、额顶部头皮及软组织挫伤并异物
作者: 卜一    时间: 2008-4-23 13:20
左眼球破裂并异物,眶周、额顶部头皮及软组织挫伤并异物!
作者: yangyudong333    时间: 2008-4-23 14:04
左眼球破裂积气并异物,眶周、额顶部头皮及软组织挫伤并异物!
作者: lyb999    时间: 2008-4-23 17:27
太残了
作者: 黑白光影    时间: 2008-4-23 17:45
迎面一炮,满脸开曝。额顶部头皮及软组织挫伤并异物,左眼球破裂积气并异物,典型的面目全非,惨不忍睹。
作者: 影象小辈    时间: 2008-4-23 17:48
左侧眼球破裂积气异物存留   颜面额部多处软组织挫伤并异物!
作者: 形影不离    时间: 2008-4-23 17:49
惨!
作者: 宇宙CT    时间: 2008-4-23 18:02
左眼球破裂积气并异物,眶周、额顶部头皮及软组织挫伤并异物!
作者: xuhuihong    时间: 2008-4-23 18:13
左眼球破裂积气并异物,眶周、额顶部头皮及软组织挫伤并异物!
作者: jiangjing    时间: 2008-4-23 18:38
左眼球破裂积气并异物,眶周、额顶部头皮及软组织挫伤并异物,右侧眼环前内分异物
作者: 深泽交通    时间: 2008-4-23 18:39
zhi chi
作者: qc80012345    时间: 2008-4-23 20:12
左眼球破裂,异物.
作者: zjzjr    时间: 2008-4-23 20:28
左眼球破裂并异物,眶周、额顶部头皮及软组织挫伤并异物
作者: hhcckk    时间: 2008-4-23 22:22
很惨、很暴力!
作者: 清风照影来    时间: 2008-4-23 22:26
额顶部头皮及软组织挫伤并异物,左眼球破裂积气并异物。可怜
作者: jinguoji    时间: 2008-4-23 22:41
左眼球破裂并异物,眶周、额顶部头皮及软组织挫伤并异物,典型的面目全非了!
作者: 杀毒软件    时间: 2008-4-23 23:05
左眼球破裂并异物,眶周、额顶部头皮及软组织挫伤并异物支持
作者: 王2008    时间: 2008-4-23 23:37
左眼球破裂并异物,眶周、额顶部头皮及软组织挫伤并异物支持
作者: wanghuiyellf    时间: 2008-4-24 03:22
左眼球破裂,球内异物典型的面目全非了.
作者: 731208    时间: 2008-4-24 03:35
左眼球破裂并异物,眶周、额顶部头皮及软组织挫伤并异物!
作者: 阿康2008    时间: 2008-4-24 03:39
痛心,左眼啊!好在颅内还好。
作者: 光影★笑子    时间: 2008-4-24 06:03
左眼球破裂并异物,眶周、额顶部头皮及软组织挫伤并异物,典型的面目全非了!
作者: 52yingxiang    时间: 2008-4-24 06:21
左眼球破裂并异物,眶周、额顶部头皮及软组织挫伤并异物支持
作者: yy杨洋    时间: 2008-4-24 08:42
小心这人是恐怖分子
作者: 影象小辈    时间: 2008-4-24 21:06
左眼球破裂积气并异物,眶周、额顶部头皮及软组织挫伤并异物!
作者: dyqct    时间: 2008-4-25 04:56
标题: 回复:ct13019:m,36y。少见头面部外伤。
以下是引用trljl在2008-4-22 23:15:00的发言:[br]左眼球破裂并异物,眶周、额顶部头皮及软组织挫伤并异物。

支持!!
作者: 37度    时间: 2008-5-6 18:51
造孽啊
作者: dr.yang    时间: 2011-12-4 11:40
左眼球破裂并异物,眶周、额顶部头皮及软组织挫伤并异物支持
作者: xzfengtao    时间: 2011-12-4 15:16
1左侧眼球破裂并积气,球内、框内异物。
2额部顶部软组织伤。




欢迎光临 医影在线 (http://bbs.radida.com/bbs/) Powered by Discuz! X3.2