医影在线
标题: CT13027:左顶叶低密度灶请大家指点 [打印本页]
作者: 油油 时间: 2008-4-24 00:41
标题: CT13027:左顶叶低密度灶请大家指点
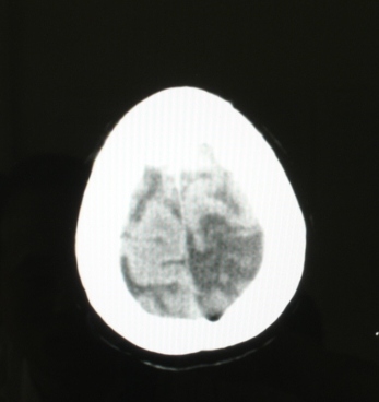
病人女性,58岁.左颞部外伤2小时,自觉头痛头晕.否认其它疾病史.
病灶ct值28~31hu.










[本贴已被 jiajie 于 2008-4-23 18:26:56 修改过]
作者: yangyudong333 时间: 2008-4-24 01:13
软化灶
作者: XIANXIANZHONGYI 时间: 2008-4-24 01:41
无占位效应,周围脑沟清楚,支持软化灶。
作者: 随光逐影 时间: 2008-4-24 01:51
病灶周围有负压性改变,多为脑软化灶。
作者: 宇宙CT 时间: 2008-4-24 02:17
病灶周围有负压性改变,多为脑软化灶
作者: wanghuiyellf 时间: 2008-4-24 02:25
软化灶
作者: 油油 时间: 2008-4-24 02:50
请大家仔细看看
作者: 前行 时间: 2008-4-24 04:00
建议mr检查
作者: 阿康2008 时间: 2008-4-24 04:23
左顶叶局限性脑水肿,可以考虑增强看看,排除肉芽肿,比如脑血吸虫病等。
作者: 同 时间: 2008-4-24 04:45
考虑脑软化.
作者: mzh123 时间: 2008-4-24 04:51
和外伤没有关系, 可以认为是陈旧病变。
作者: zjzjr 时间: 2008-4-24 05:02
病灶周围有负压性改变,多为脑软化灶。
作者: jsgdoctor 时间: 2008-4-24 05:05
病灶周围有负压性改变,多为脑软化灶
作者: 不学无术 时间: 2008-4-24 05:09
支持脑软化灶
作者: lyb999 时间: 2008-4-24 05:15
除考虑脑软化,也不排除转移灶。
作者: zsl6918 时间: 2008-4-24 05:22
局部脑沟有变化,建议强化,不除外血管畸形或转移性病变.
作者: 子十 时间: 2008-4-24 05:26
标题: 学习
[emb10][emb10][emb10][em13][em16]
[本贴已被 子十 于 2008-4-24 8:18:37 修改过]
作者: yueguangqishi 时间: 2008-4-24 05:28
脑软化灶
作者: lijuanln 时间: 2008-4-24 05:36
左顶叶不规则低密度灶后缘隐约见略高密度影,软化灶不能完全解释,建议增强检查或mai检查。
作者: 光影★笑子 时间: 2008-4-24 06:13
病灶周围有负压性改变,多为脑软化灶。
作者: panyishengct 时间: 2008-4-24 06:16
无占位效应,周围脑沟清楚,支持软化灶。
作者: dr.yang 时间: 2008-4-24 06:46
标题: 回复:ct13027:左顶叶低密度灶请大家指点
以下是引用panyishengct在2008-4-23 22:16:00的发言:[br]无占位效应,周围脑沟清楚,支持软化灶。 [br] [br]
作者: yy杨洋 时间: 2008-4-24 08:47
考虑脑软化.
作者: qc80012345 时间: 2008-4-24 13:55
脑软化灶
作者: 影象小辈 时间: 2008-4-24 21:22
位置表浅 ct值28-31 建议增强或mr检查
作者: dyqct 时间: 2008-4-25 04:32
支持左顶叶脑软化灶。
作者: yugongyishan 时间: 2008-4-25 04:41
支持左顶叶软化灶
作者: jinguoji 时间: 2008-4-30 21:57
支持左顶叶脑软化灶。
| 欢迎光临 医影在线 (http://bbs.radida.com/bbs/) |
Powered by Discuz! X3.2 |