医影在线
标题: CT13028:女,56岁。咳嗽、气促一月,咳血一周。CT值增加约30 [打印本页]
作者: sxlcbc 时间: 2008-4-24 00:59
标题: CT13028:女,56岁。咳嗽、气促一月,咳血一周。CT值增加约30










[本贴已被 sxlcbc 于 2008-4-23 17:00:00 修改过]
[本贴已被 jiajie 于 2008-4-23 18:27:38 修改过]
作者: 玉真 时间: 2008-4-24 02:02
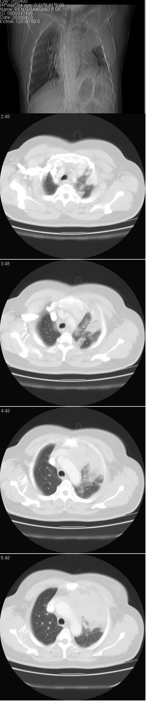
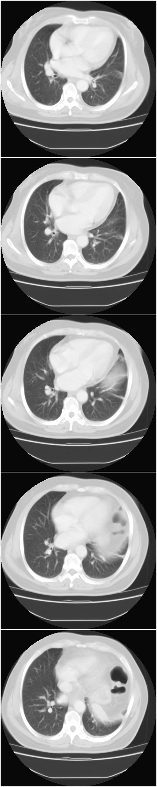
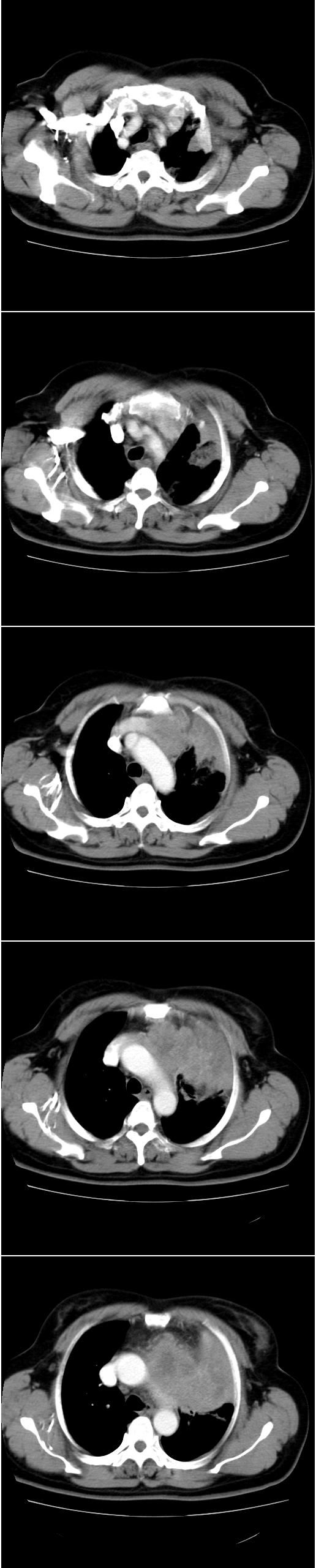
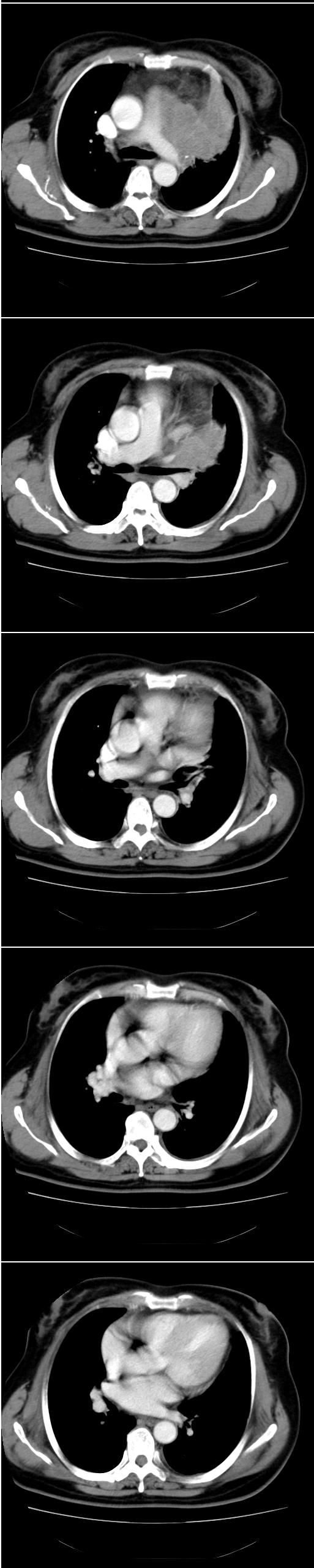
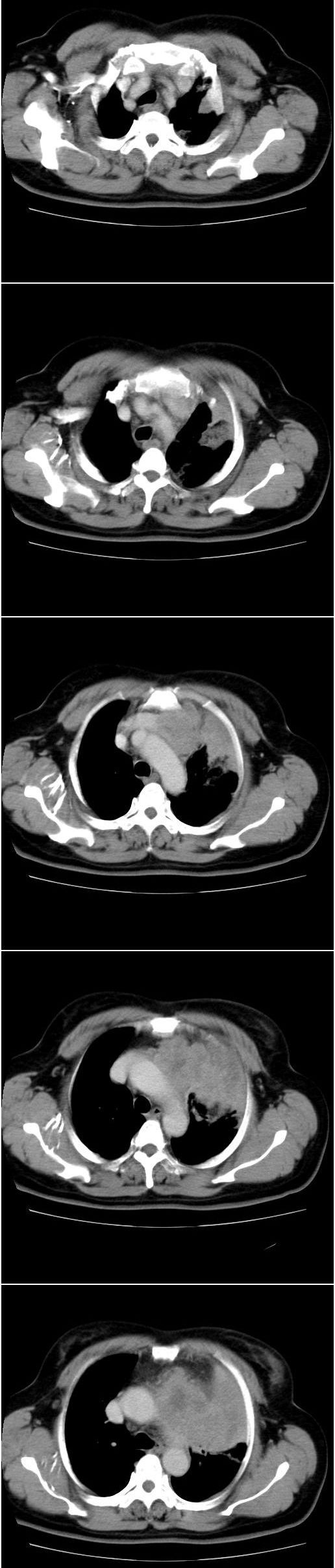
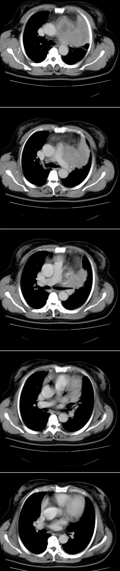
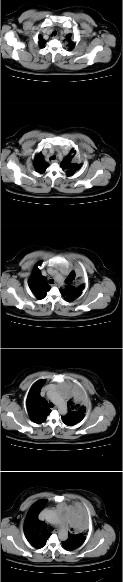
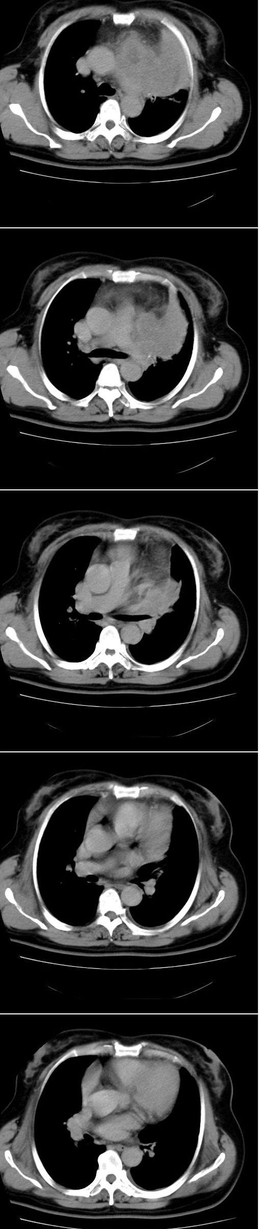
左上肺肿块伴阻塞性改变,考虑肺癌可能大
作者: 宇宙CT 时间: 2008-4-24 02:23
左上肺肿块伴阻塞性改变,考虑肺癌可能大
作者: qian 时间: 2008-4-24 02:44
感觉病灶主要来源于前上纵隔,向周围浸润,考虑为侵袭性胸腺瘤。
作者: 余辉 时间: 2008-4-24 03:05
考虑左上肺癌(周围型)伴左肺门及纵隔转移(主肺动脉窗旁病灶可能为肿大并坏死的淋巴结),不除外纵隔型肺癌
作者: 731208 时间: 2008-4-24 03:22
考虑左上肺癌(周围型)伴左肺门及纵隔转移(主肺动脉窗旁病灶可能为肿大并坏死的淋巴结),不除外纵隔型肺癌
作者: SUNYONGDOCTOR 时间: 2008-4-24 03:40
肺癌并纵隔,左肺门侵犯,纵隔多发肿大淋巴结
作者: qc80012345 时间: 2008-4-24 03:55
肺癌;纵膈淋巴结肿大。肺不张。
作者: 联众之王 时间: 2008-4-24 04:15
软组织肿块,应该有肺不张(因为左膈及脾脏\\胃抬高明显):考虑中央ca
作者: 同 时间: 2008-4-24 04:48
标题: 回复:ct13028:女,56岁。咳嗽、气促一月,咳血一周。ct值增
以下是引用余辉在2008-4-23 19:05:00的发言:[br]考虑左上肺癌(周围型)伴左肺门及纵隔转移(主肺动脉窗旁病灶可能为肿大并坏死的淋巴结),不除外纵隔型肺癌
作者: hguox 时间: 2008-4-24 05:01
以下是引用余辉在2008-4-23 19:05:00的发言:
考虑左上肺癌(周围型)伴左肺门及纵隔转移(主肺动脉窗旁病灶可能为肿大并坏死的淋巴结),不除外纵隔型肺癌
作者: zjzjr 时间: 2008-4-24 05:06
支持纵隔旁型肺癌伴主动脉弓\\主肺动脉及左侧头壁动脉受侵.
作者: jsgdoctor 时间: 2008-4-24 05:12
考虑左上肺癌(周围型)伴左肺门及纵隔转移(主肺动脉窗旁病灶可能为肿大并坏死的淋巴结),不除外纵隔型肺癌
作者: zsl6918 时间: 2008-4-24 05:17
考虑左肺中心性肺癌并纵隔淋巴结转移,累及左肺动脉及左侧头臂静脉.但不除外纵隔恶性肿瘤累及肺组织.
作者: lyb999 时间: 2008-4-24 05:26
考虑左肺中心性肺癌并纵隔淋巴结转移,纵隔恶性肿瘤累及肺组织的可能性小,因为后者一般不会导致横膈上抬。
作者: 72xiang.zi 时间: 2008-4-24 05:50
考虑为侵袭性胸腺瘤,
作者: yangyudong333 时间: 2008-4-24 05:50
考虑左上肺癌(周围型)伴左肺门及纵隔转移(主肺动脉窗旁病灶可能为肿大并坏死的淋巴结),不除外纵隔型肺癌
作者: wxy7406 时间: 2008-4-24 06:10
考虑左侧中央型肺癌伴左肺上叶肺不张及前纵隔淋巴转移。
作者: panyishengct 时间: 2008-4-24 06:24
支持纵隔旁型肺癌伴主动脉弓\\主肺动脉及左侧头壁动脉受侵.
作者: yy杨洋 时间: 2008-4-24 08:54
标题: 回复:ct13028:女,56岁。咳嗽、气促一月,咳血一周。ct值增
以下是引用zsl6918在2008-4-23 21:17:00的发言:[br]考虑左肺中心性肺癌并纵隔淋巴结转移,累及左肺动脉及左侧头臂静脉.但不除外纵隔恶性肿瘤累及肺组织.
支持
作者: 随光逐影 时间: 2008-4-24 16:20
1)考虑为:左肺上叶中心型肺癌伴左肺上叶阻塞性肺炎、节段性肺不张,左肺门及纵隔淋巴结转移。2)左侧少量胸腔积液。
作者: dyqct 时间: 2008-4-25 04:30
标题: 回复:ct13028:女,56岁。咳嗽、气促一月,咳血一周。ct值增
以下是引用余辉在2008-4-23 19:05:00的发言:[br]考虑左上肺癌(周围型)伴左肺门及纵隔转移(主肺动脉窗旁病灶可能为肿大并坏死的淋巴结),不除外纵隔型肺癌
支持!
作者: jinguoji 时间: 2008-4-30 22:01
考虑左上周围型肺癌伴左肺门及纵隔转移。
| 欢迎光临 医影在线 (http://bbs.radida.com/bbs/) |
Powered by Discuz! X3.2 |