医影在线

标题: X4030:胸片会诊 [打印本页]

作者: 07619    时间: 2008-4-24 02:33
标题: X4030:胸片会诊
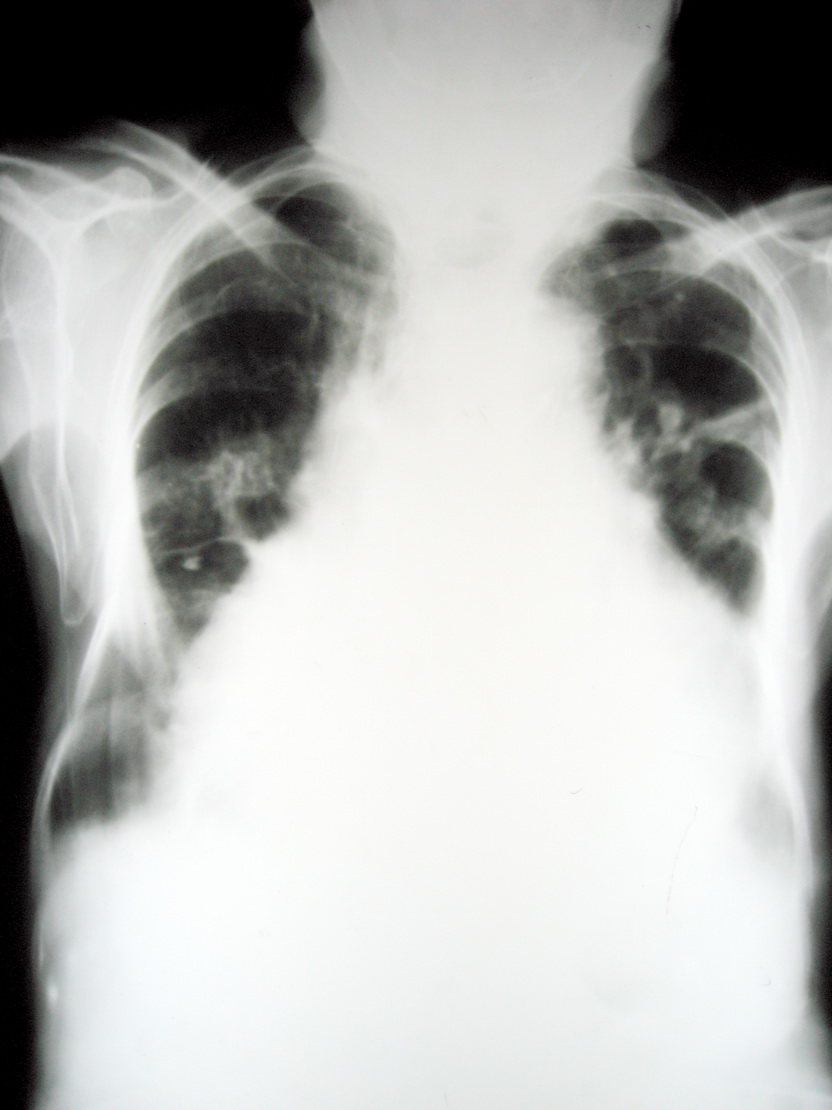
女,85岁。下肢水肿。



[本贴已被 jiajie 于 2008-4-23 19:04:54 修改过]

作者: liangshusheng    时间: 2008-4-24 02:43
全心衰可能
作者: rf    时间: 2008-4-24 02:44
心衰,肺水肿,心包积液。
作者: 358450m    时间: 2008-4-24 02:55
心衰.肺水肿,胸腔少量液积
作者: 07619    时间: 2008-4-24 04:09
标题: 回复:x4030:胸片会诊
是否考虑心肌病或心包积液
作者: zhangkai    时间: 2008-4-24 04:15
心衰,建议超声检查。
作者: 黑白光影    时间: 2008-4-24 04:34
心包积液,心衰,肺心病所可能。
作者: hexue    时间: 2008-4-24 06:33
标题: 回复:x4030:胸片会诊
以下是引用358450m在2008-4-23 18:55:00的发言:[br]心衰.肺水肿,胸腔少量液积

作者: dyqct    时间: 2008-4-24 16:37
标题: 回复:x4030:胸片会诊
以下是引用358450m在2008-4-23 18:55:00的发言:[br]心衰.肺水肿,胸腔少量液积

建议彩超进一步检查。
作者: 杀毒软件    时间: 2008-4-24 18:05
支持楼上,心包可能也得有积液
作者: chenwei198421st    时间: 2008-4-25 01:07
心衰 , 肺水肿 , 双侧少量胸腔积液,心包积液待除外。
建议进一步检查。
作者: zhengfaming    时间: 2008-4-25 01:59
全心衰,肺水肿
胸腔积液?
作者: 刘国良    时间: 2008-4-25 03:01
全心衰,心包积液,肺心病。
作者: ljj88    时间: 2008-4-26 23:22
心衰.肺水肿,胸腔少量液积
作者: 光影相伴    时间: 2008-4-26 23:35
心衰!建议:行超声检查。
作者: wy232326    时间: 2008-4-26 23:57
心衰 , 肺水肿 , 双侧少量胸腔积液,心包积液待除外。
建议进一步检查。
作者: zhangkening    时间: 2008-4-27 04:38
全心衰竭。
作者: lipingx_ray    时间: 2008-5-3 02:33
支持楼上,心包可能也得有积液
作者: shibing    时间: 2014-1-18 08:25
心衰




欢迎光临 医影在线 (http://bbs.radida.com/bbs/) Powered by Discuz! X3.2