医影在线

标题: CT13069:双髋关节 [打印本页]

作者: lizhjie    时间: 2008-4-26 01:13
标题: CT13069:双髋关节
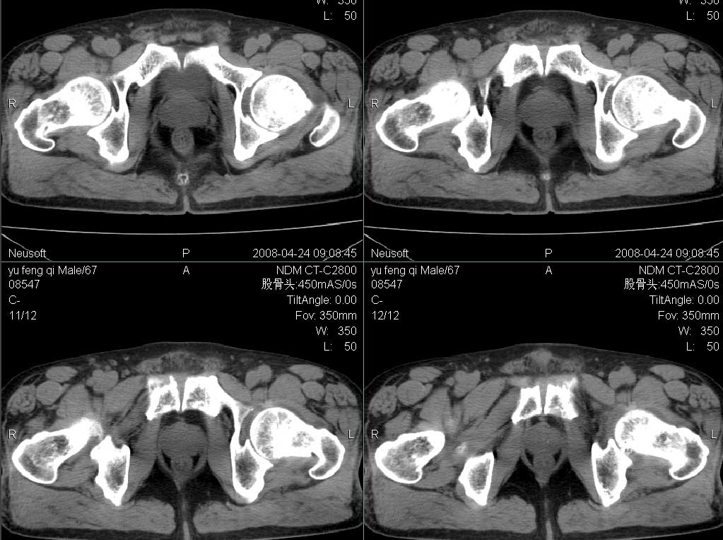
男67岁,左髋疼痛破行2月。








[本贴已被 翁志蓬 于 2008-4-25 22:43:52 修改过]

作者: qc80012345    时间: 2008-4-26 01:24
未见异常。
作者: zsl6918    时间: 2008-4-26 01:25
骨质疏松,退变。
作者: 杀毒软件    时间: 2008-4-26 01:29
骨质疏松
作者: jiangjing    时间: 2008-4-26 02:01
左侧髋关节积液,无菌坏死待排,建议mri检查
作者: 影象小辈    时间: 2008-4-26 02:04
未见异常
作者: wangjj555    时间: 2008-4-26 02:40
骨质疏松,退变
作者: shang2    时间: 2008-4-26 03:02
未见异常.
作者: 宇宙CT    时间: 2008-4-26 03:02
未见异常
作者: 随光逐影    时间: 2008-4-26 03:14
建议行mri检查排除左侧股骨头无菌性坏死。
作者: qiuleiyu    时间: 2008-4-26 03:18
左髋退行性改变。
作者: 前行    时间: 2008-4-26 03:25
左髋关节积液,建议mr检查。
作者: hellen    时间: 2008-4-26 03:53
考虑左髋关节tb,建议相关检查.
作者: xuhuihong    时间: 2008-4-26 03:56
mri是强项,建议行mri检查排除左侧股骨头无菌性坏死。
作者: 光影★小胖    时间: 2008-4-26 04:02
建议行mri检查排除左侧股骨头无菌性坏死。
作者: 王2008    时间: 2008-4-26 04:17
左髋退行性改变。
作者: zjzjr    时间: 2008-4-26 04:59
支持左侧髋关节少量积液.
作者: lrj    时间: 2008-4-26 05:05
支持双款关节轻度退变,左髋关节少许积液
作者: mzh123    时间: 2008-4-26 05:07
标题: 回复:双髋关节
以下是引用jiangjing在2008-4-25 18:01:00的发言:[br]左侧髋关节积液,无菌坏死待排,建议mri检查

作者: 余辉    时间: 2008-4-26 05:10
暂未见明显异常(有没有片子?不知顶部有没有形太异常)
作者: yangyudong333    时间: 2008-4-26 05:36
未见异常
作者: jinguoji    时间: 2008-4-26 07:22
标题: 回复:ct13069:双髋关节
以下是引用随光逐影在2008-4-25 19:14:00的发言:[br]建议行mri检查排除左侧股骨头无菌性坏死。

作者: wanghuiyellf    时间: 2008-4-26 07:26
未见异常
作者: 88156倦依西    时间: 2008-4-26 18:45
建议行mri检查、排除左侧股骨头无菌性坏死可能。
作者: 拾荒者    时间: 2008-4-27 07:12
ct平扫未见明显异常,建议行mri检查排除左侧股骨头无菌性坏死早期改变。
作者: dr.yang    时间: 2011-12-3 07:53
ct平扫未见明显异常,建议行mri检查排除左侧股骨头无菌性坏死早期改变。
其它退行性改变。




欢迎光临 医影在线 (http://bbs.radida.com/bbs/) Powered by Discuz! X3.2