





















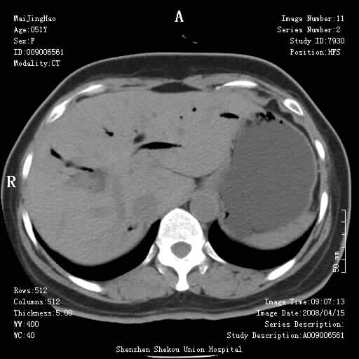
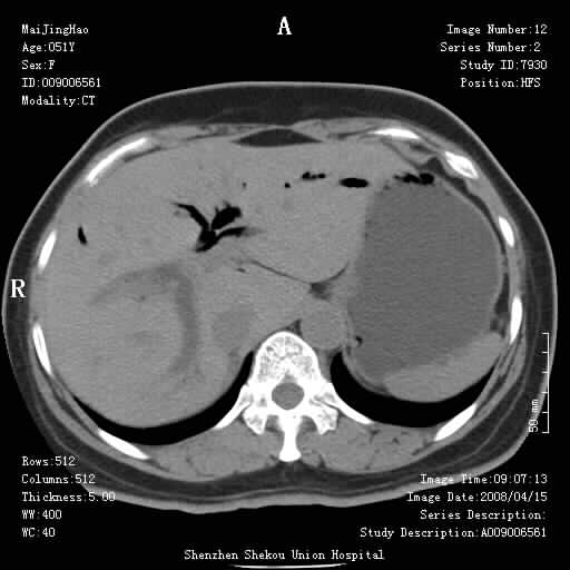
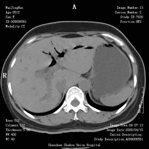
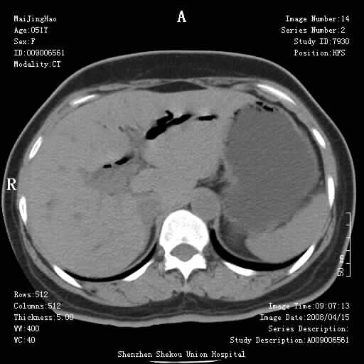
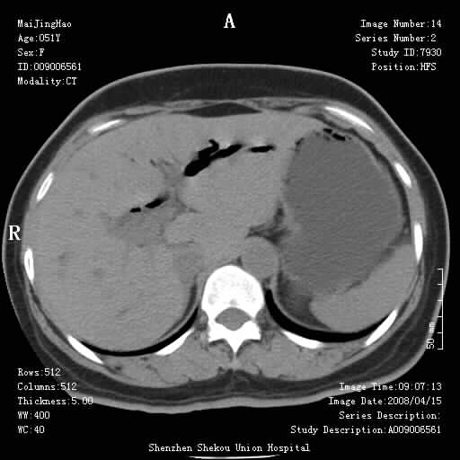
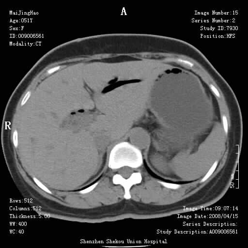
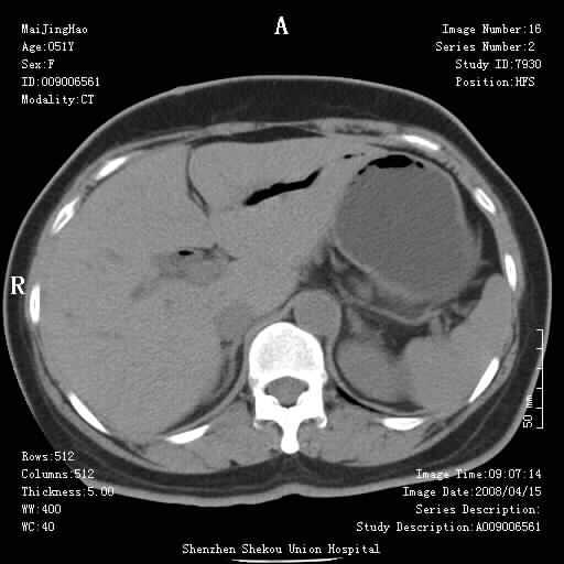
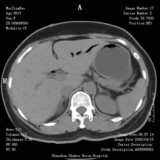
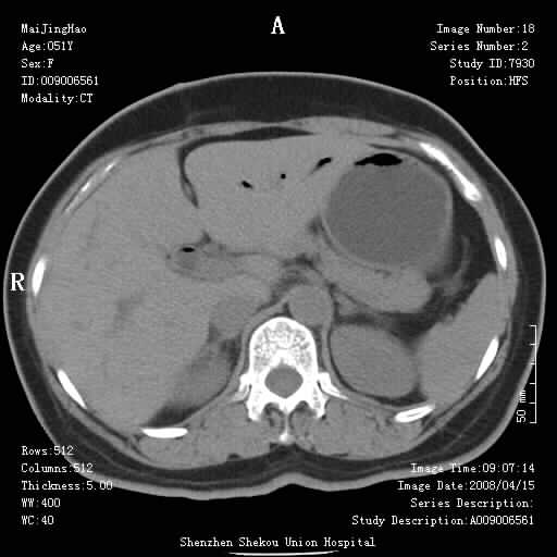
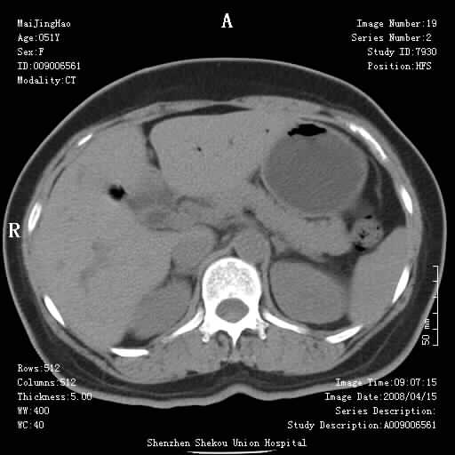
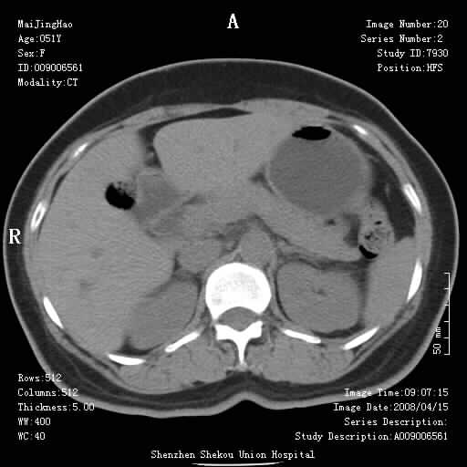
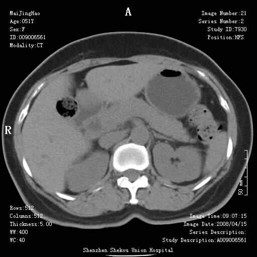
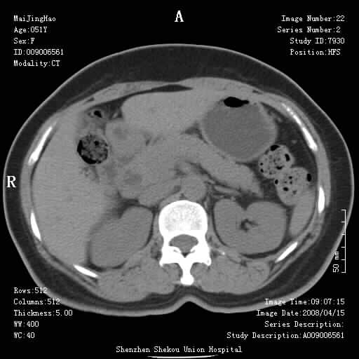
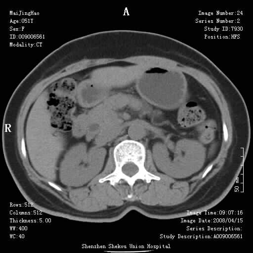
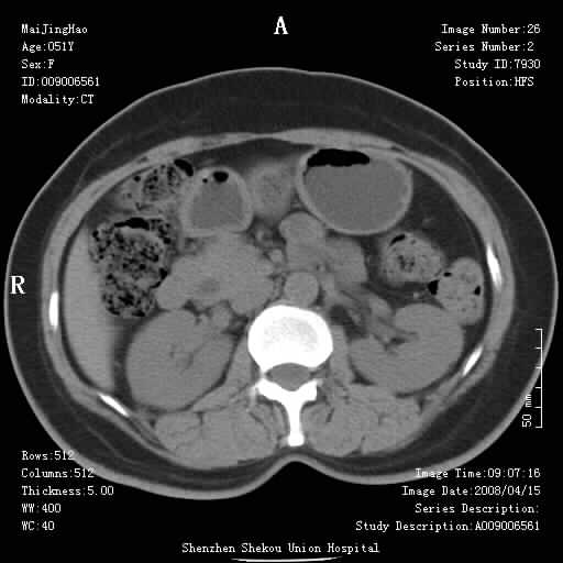
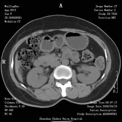
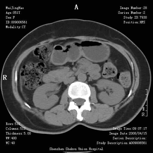
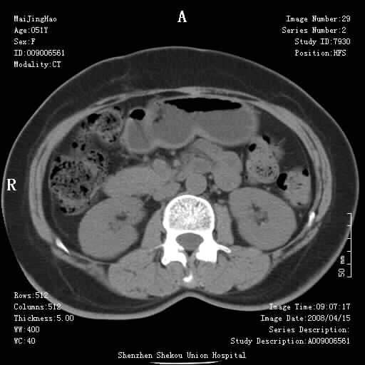
以下是引用有风的日子在2008-4-26 6:05:00的发言:[br]胆囊切除术后胆管常因代偿而出现扩张,肝内胆管也经常会出现积气征象。
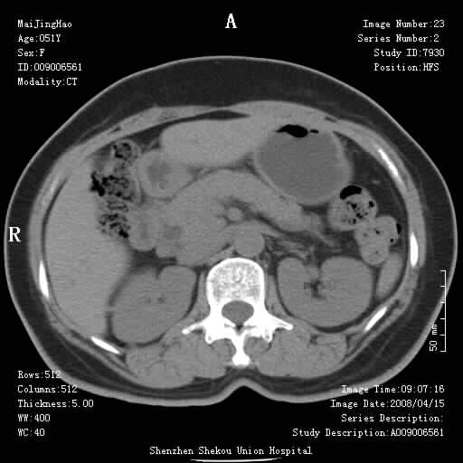
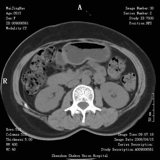
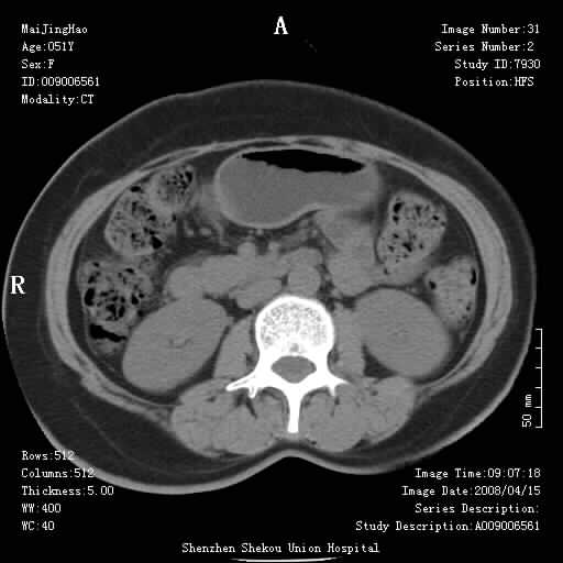
以下是引用余辉在2008-4-26 8:55:00的发言:[br]患者有结石史,此次腹痛4小时,胆总管全程扩张,应有胆总管末端梗阻,此次仍考虑胆结石症,积气不外两种原因,一种是结石下移时肠道内气体逸入,其次为产气菌感染。(倒数第三幅图像于扩张之胆总管末端似可见稍高密度影,考虑为结石影)
以下是引用yangyudong333在2008-4-26 6:17:00的发言:[br]1胆系感染,可能为金葡菌感染,2考虑有化脓性胆管炎致胆总管扩张,3胰头部增大,建议做增强
以下是引用听蝉观竹在2008-4-26 11:41:00的发言:[br]胆道手术分两种情况:[br]1、如果仅仅做胆囊切除手术,肝内胆管不会积气,只会出现胆总管代偿扩张,因为奥迪氏括约肌依然功能正常胆道与外界并不相通;[br][br]2、胆囊切除+胆总管空肠吻合手术(即roux-y式),则肝内胆管会出现积气,只是因为胆管与小肠相通,气体来源于小肠。这是临床十分常见的手术。[br][br]这个病例应该是胆囊切除+胆总管空肠吻合手术,是正常手术后表现,并不是胆道感染的表现。
以下是引用宇宙ct在2008-4-26 10:43:00的发言:[br][br] 胆囊切除术后胆管常因代偿而出现扩张,肝内胆管也经常会出现积气征象;胰头强化后再诊断。 [br] [br]
以下是引用听蝉观竹在2008-4-26 11:41:00的发言:[br]胆道手术分两种情况:[br]1、如果仅仅做胆囊切除手术,肝内胆管不会积气,只会出现胆总管代偿扩张,因为奥迪氏括约肌依然功能正常胆道与外界并不相通;[br][br]2、胆囊切除+胆总管空肠吻合手术(即roux-y式),则肝内胆管会出现积气,只是因为胆管与小肠相通,气体来源于小肠。这是临床十分常见的手术。[br][br]这个病例应该是胆囊切除+胆总管空肠吻合手术,是正常手术后表现,并不是胆道感染的表现。
以下是引用liangshusheng在2008-4-26 12:34:00的发言:[br]11年前做的手术现在还有积气,可能吗?还是考虑有胆管炎产气,胰头部增大,建议做增强

以下是引用听蝉观竹在2008-4-26 11:41:00的发言:[br]胆道手术分两种情况:[br]1、如果仅仅做胆囊切除手术,肝内胆管不会积气,只会出现胆总管代偿扩张,因为奥迪氏括约肌依然功能正常胆道与外界并不相通;[br][br]2、胆囊切除+胆总管空肠吻合手术(即roux-y式),则肝内胆管会出现积气,只是因为胆管与小肠相通,气体来源于小肠。这是临床十分常见的手术。[br][br]这个病例应该是胆囊切除+胆总管空肠吻合手术,是正常手术后表现,并不是胆道感染的表现。
以下是引用听蝉观竹在2008-4-26 14:21:00的发言:[br]这个病例许多人认为“胰头增大”,那么到底胰头增大的标准是什么呢?
以下是引用ganf7331在2008-4-26 19:19:00的发言:[br]那病人这次右上腹胀痛的原因是什么呢,雷老师!
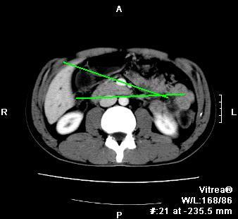
以下是引用听蝉观竹在2008-4-27 10:10:00的发言:[br]关于胰头大小问题有几种测量方法和正常值:[br][br]1、直量法:横径<4cm;[br]2、胰头横径与相邻层面椎体横径的比值为二分之一,超过椎体横径就提示胰头增大;[br]3、正常组成年人肠系膜上动、静脉水平夹角正常值范围为4.9°~34.7°大于35°提示胰头增大。[br][br]上述方法只是一种具体的判断,是“量”的评估,更重要的是“质”的评估:一是观察边缘是否光滑,有无局部隆起,有无分叶;二是观察密度(增强,尤其在动脉期和门脉期)是否均匀。[br][br]所以对于胰头是否有异常不仅仅是是目测可以解决问题的,不要轻易就说“胰头增大”。还有一个问题就是测量胰头应该在增强ct上进行,这样可以避免将血管测量进去。[br][br]为什么啰嗦讲怎么多,因为我们实际工作中同样存在影像科医生和临床医生动不动就说胰头增大,说是胰头癌。大家看看是不是这种情况?[br][br] 我个人观点-----本病例的胰头不增大。[br][br][本贴已被 听蝉观竹 于 2008-4-27 10:12:41 修改过]

| 欢迎光临 医影在线 (http://bbs.radida.com/bbs/) | Powered by Discuz! X3.2 |