
以下是引用眼睛在2008-4-26 18:17:00的发言:[br]两下肺纹理紊乱,可见囊状,斑片状影,以左侧为重,诊断:支扩合并感染. 建议ct
以下是引用眼睛在2008-4-26 18:17:00的发言:[br]两下肺纹理紊乱,可见囊状,斑片状影,以左侧为重,诊断:支扩合并感染. 建议ct
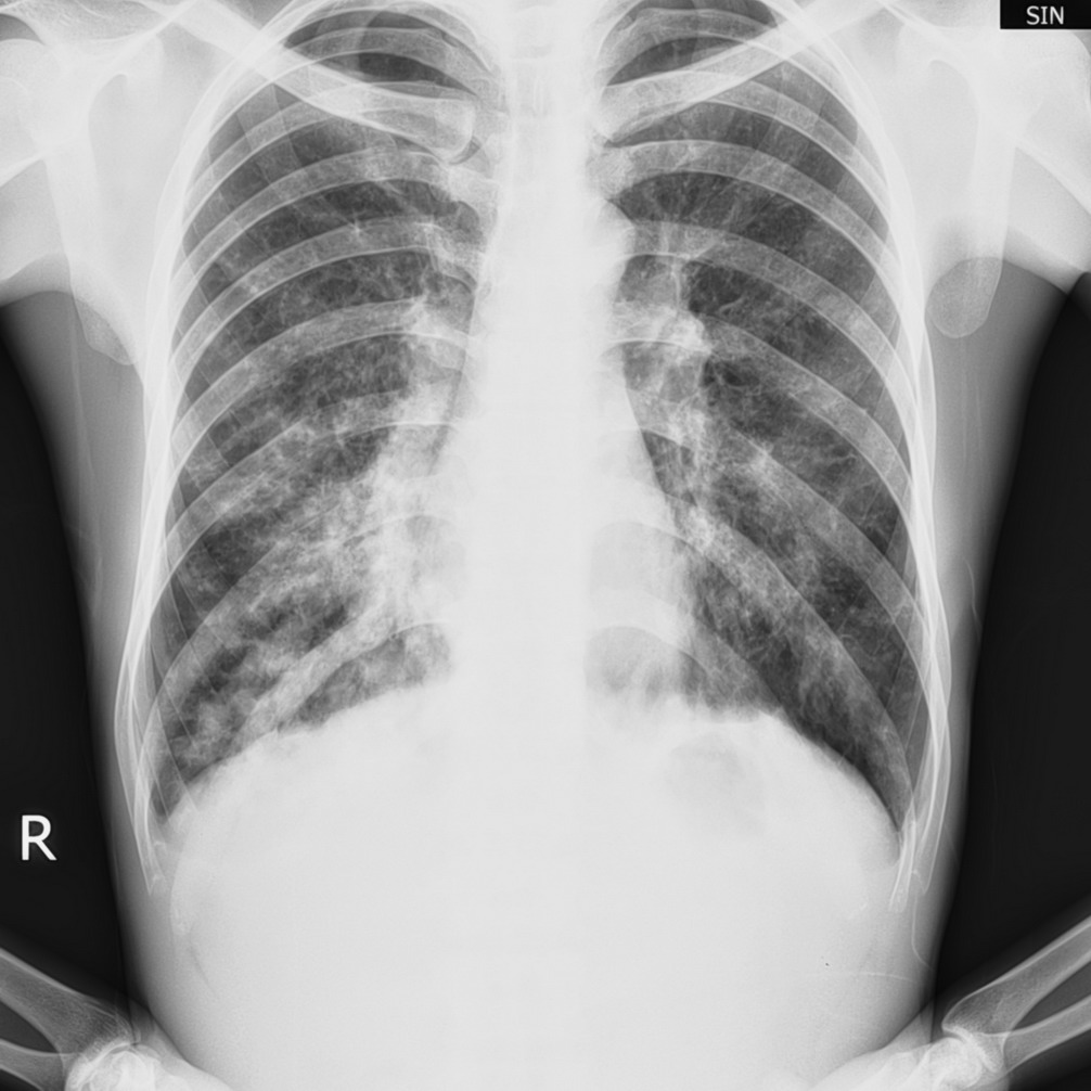
以下是引用眼睛在2008-4-26 18:17:00的发言:[br]两下肺纹理紊乱,可见囊状,斑片状影,以左侧为重,诊断:支扩合并感染. 建议ct
| 欢迎光临 医影在线 (http://bbs.radida.com/bbs/) | Powered by Discuz! X3.2 |