

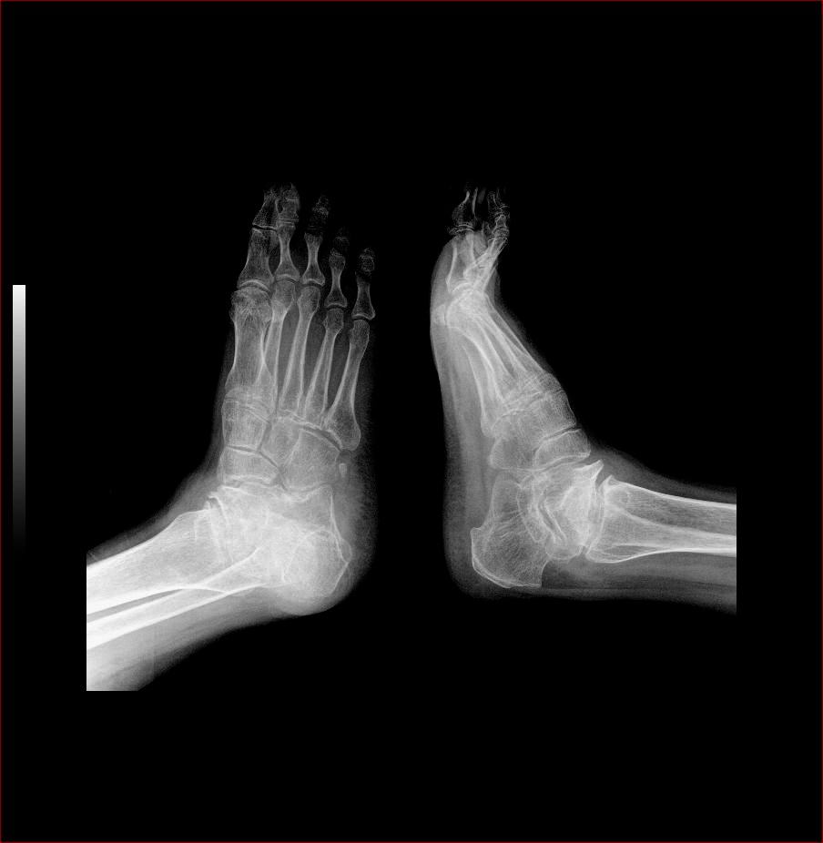
以下是引用杏林古木在2008-4-26 18:31:00的发言:[br]大骨节病。
以下是引用杏林古木在2008-4-26 18:31:00的发言:[br]大骨节病。
以下是引用yangwq在2008-4-26 21:52:00的发言:[br]1 痛风 2 距骨缺血性改变 3退变
以下是引用yangyudong333在2008-4-27 6:28:00的发言:[br]跟骨短,矩骨扁,符合大骨节病
以下是引用358450m在2008-4-26 18:59:00的发言:[br][quote]以下是引用杏林古木在2008-4-26 18:31:00的发言:[br]大骨节病。
以下是引用杏林古木在2008-4-26 18:31:00的发言:[br]大骨节病。
以下是引用光影相伴在2008-4-26 18:32:00的发言:[br]考虑:大骨节病。
| 欢迎光临 医影在线 (http://bbs.radida.com/bbs/) | Powered by Discuz! X3.2 |