






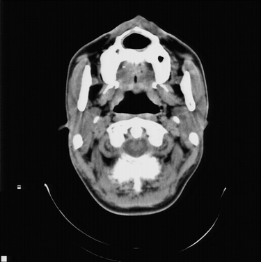
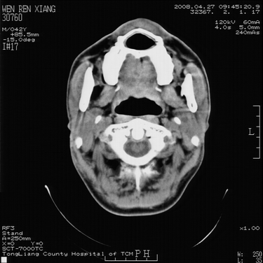
以下是引用随光逐影在2008-4-27 10:26:00的发言:[br]考虑为:上颌骨(中线区)含牙囊肿并向鼻腔穿破。
以下是引用随光逐影在2008-4-27 10:26:00的发言:[br]考虑为:上颌骨(中线区)含牙囊肿并向鼻腔穿破。
以下是引用前行在2008-4-27 11:30:00的发言:[br]含牙囊肿可能性大
以下是引用随光逐影在2008-4-27 10:26:00的发言:[br]考虑为:上颌骨(中线区)含牙囊肿并向鼻腔穿破。
以下是引用随光逐影在2008-4-27 10:26:00的发言:[br]考虑为:上颌骨(中线区)含牙囊肿并向鼻腔穿破。
以下是引用随光逐影在2008-4-27 10:26:00的发言:[br]考虑为:上颌骨(中线区)含牙囊肿并向鼻腔穿破。
以下是引用余辉在2008-4-27 16:43:00的发言:[br]考虑上颌骨正中囊肿,伴不全上颌骨正中裂,囊肿与鼻前庭有瘘道,所以表现为腔内炎性粘膜增厚而无囊液
| 欢迎光临 医影在线 (http://bbs.radida.com/bbs/) | Powered by Discuz! X3.2 |