医影在线
标题: CT13096:请分析胸膜下结节的影像基础是什么 有病理结果 [打印本页]
作者: 裴德医生 时间: 2008-4-27 18:34
标题: CT13096:请分析胸膜下结节的影像基础是什么 有病理结果


















[本贴已被 jiajie 于 2008-4-27 16:56:40 修改过]
作者: 子期 时间: 2008-4-27 18:56
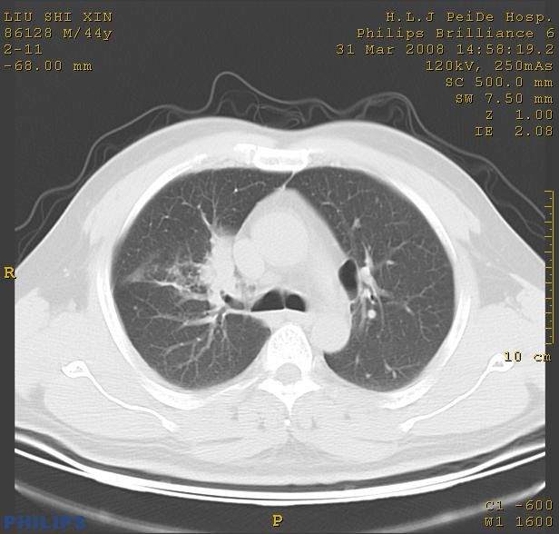
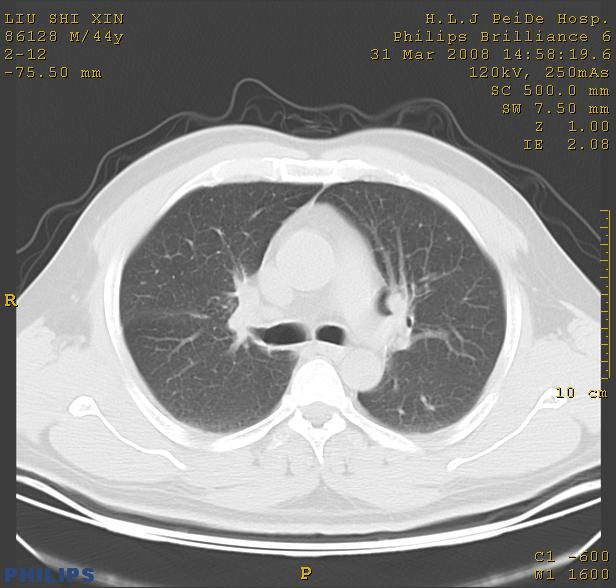
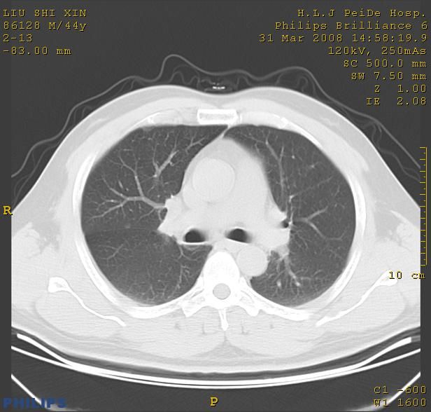
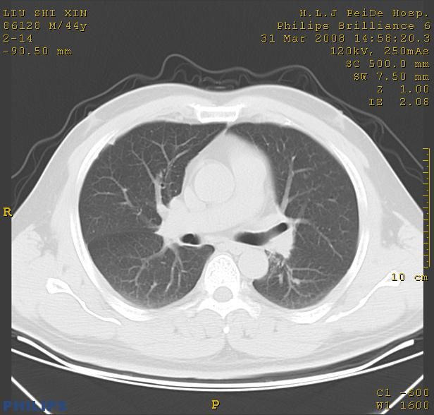
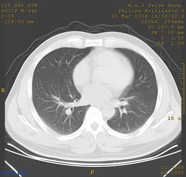
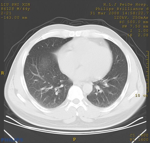
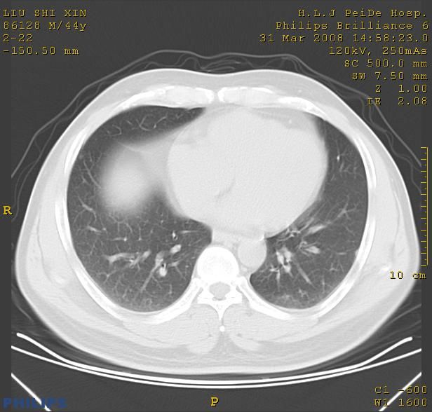
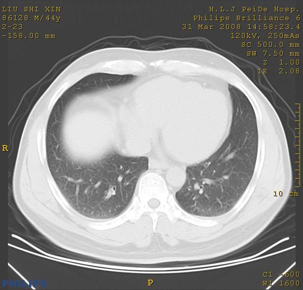
考虑右上叶慢性炎症可能性大,不完全除外肺癌。
作者: 前行 时间: 2008-4-27 19:27
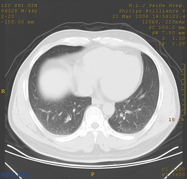
瘢痕挛缩,胸膜牵拉,血管纠集扭曲,上叶前段支气管显示欠清,周围散在斑片影,以纵隔旁肺癌可能性大。请穿刺检查。
作者: ganf7331 时间: 2008-4-27 20:10
标题: 回复:请分析胸膜下结节的影像基础是什么 有病理结果
以下是引用前行在2008-4-27 11:27:00的发言:[br]瘢痕挛缩,胸膜牵拉,血管纠集扭曲,上叶前段支气管显示欠清,周围散在斑片影,以纵隔旁肺癌可能性大。请穿刺检查。
强烈支持!
作者: yy杨洋 时间: 2008-4-27 20:33
标题: ........
什么都没,纵隔窗也没有.没病[emb5]
[本贴已被 yy杨洋 于 2008-4-27 12:34:09 修改过]
作者: hnfsh 时间: 2008-4-27 21:00
结核
作者: 子十 时间: 2008-4-27 21:37
中心型肺癌并阻塞性肺炎及肺内转移
作者: mzh123 时间: 2008-4-27 21:37
肺癌大于结核
作者: 宇宙CT 时间: 2008-4-27 22:03
瘢痕挛缩,胸膜牵拉,血管纠集扭曲,上叶前段支气管显示欠清,周围散在斑片影,以纵隔旁肺癌可能性大。请穿刺检查。
强烈支持!
作者: 形影不离 时间: 2008-4-27 22:15
中心型肺癌并阻塞性肺炎、两肺及胸膜多发转移。
作者: zjzjr 时间: 2008-4-27 22:30
右上肺及胸膜下结节影均考虑结核可能性大,建议上传纵隔窗.
作者: dyqct 时间: 2008-4-27 23:30
标题: 回复:请分析胸膜下结节的影像基础是什么 有病理结果
以下是引用形影不离在2008-4-27 14:15:00的发言:[br]中心型肺癌并阻塞性肺炎、两肺及胸膜多发转移。[br]
支持!
作者: 深泽交通 时间: 2008-4-28 00:00
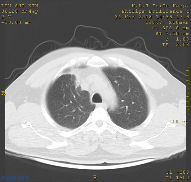
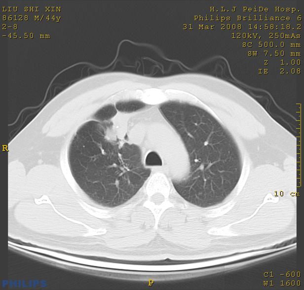
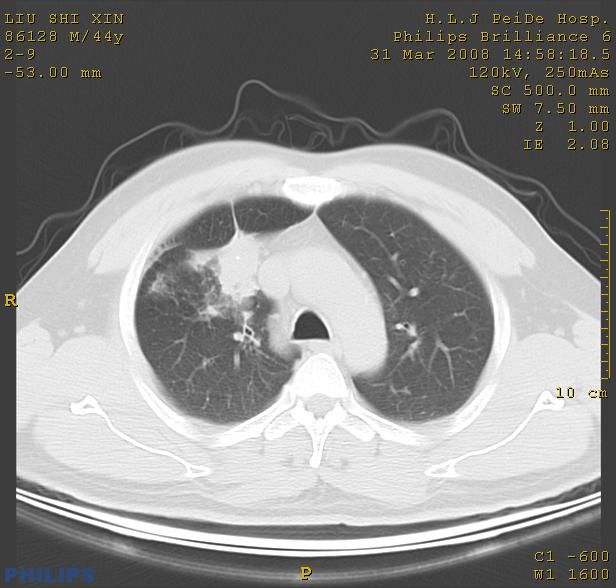
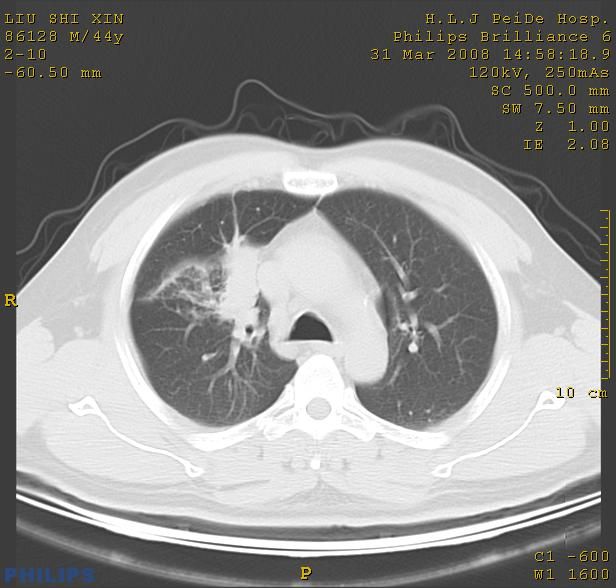
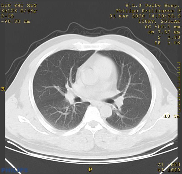
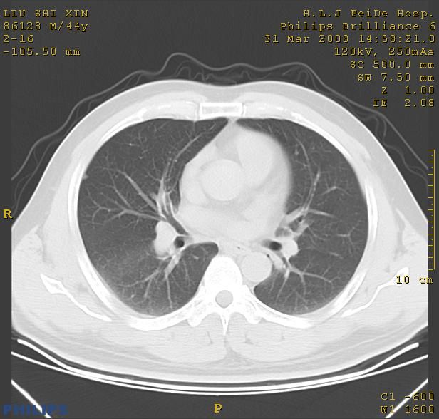
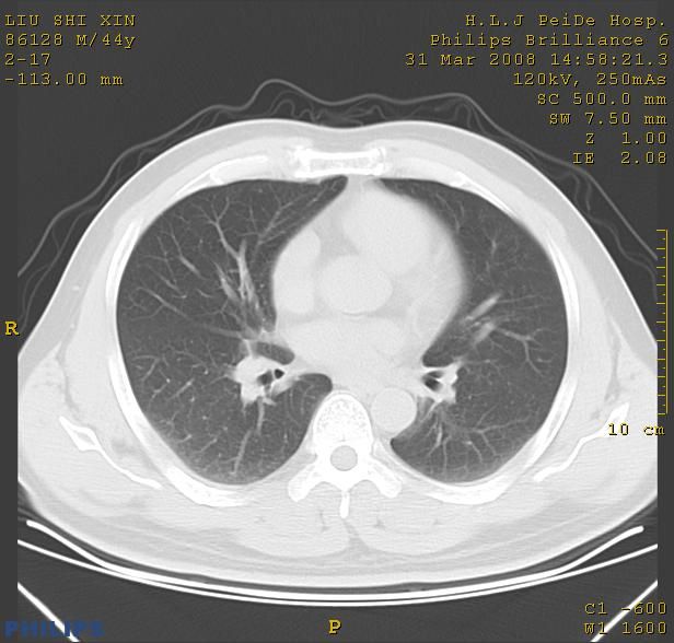
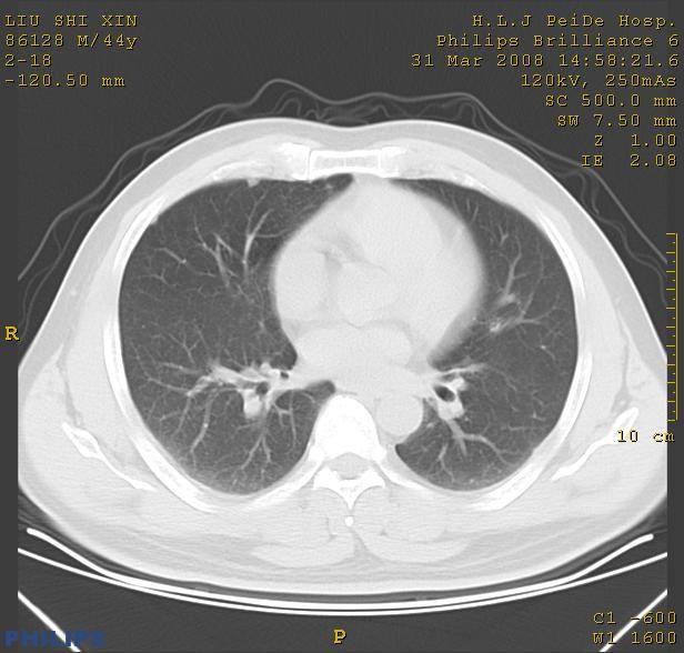
结节灶与血管末梢相通象转移灶;小三角状尖部有纤维索是胸膜拉扯征;纵隔旁大片实性影有点状钙化;周围有名显纤维瘢痕征可考虑瘢痕癌
作者: 我心飞翔 时间: 2008-4-28 00:04
中心型肺癌并阻塞性肺炎、两肺及胸膜多发转移
作者: zgjldq 时间: 2008-4-28 00:15
右上叶肺癌,不除外结核
作者: zsl6918 时间: 2008-4-28 01:49
典型的肺癌胸膜转移!没啥鉴别诊断!
作者: panyishengct 时间: 2008-4-28 04:14
中心型肺癌并阻塞性肺炎、两肺及胸膜多发转移。
作者: xn2ylwg 时间: 2008-4-28 05:28
以下是引用形影不离在2008-4-27 14:15:00的发言:
中心型肺癌并阻塞性肺炎、两肺及胸膜多发转移。
作者: 随光逐影 时间: 2008-4-28 05:52
支持 右肺上叶前段肺癌并阻塞性肺炎、两肺及胸膜多发转移。
作者: liuyue 时间: 2008-4-28 07:43
以下是引用形影不离在2008-4-27 14:15:00的发言:
中心型肺癌并阻塞性肺炎、两肺及胸膜多发转移。
支持!
作者: qc80012345 时间: 2008-4-28 13:59
建议上传纵隔窗
作者: 拾荒者 时间: 2008-4-29 03:56
胸膜下结节是转移了。
作者: wanghuiyellf 时间: 2008-4-29 07:32
中心型肺癌并阻塞性肺炎、两肺及胸膜多发转移。
作者: 裴德医生 时间: 2008-4-30 03:26
本病例有病理结果是,鳞状上皮癌,胸膜下结节影病现诊断的肿大淋巴结,谢谢大家分析,请问胸膜下结节是肿大淋巴结怎么解释
| 欢迎光临 医影在线 (http://bbs.radida.com/bbs/) |
Powered by Discuz! X3.2 |