




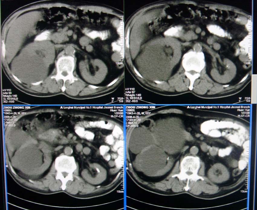
以下是引用liangshusheng在2008-4-27 13:28:00的发言:[br]双肾都有结石,右肾积水波浪状,输尿管积水,建议往下扫
以下是引用liangshusheng在2008-4-27 13:28:00的发言:[br]双肾都有结石,右肾积水波浪状,输尿管积水,建议往下扫
以下是引用zjzjr在2008-4-27 14:25:00的发言:[br]1,右侧多发囊性占位,考虑囊肿可能大。[br]2,肾下部输尿管走行区囊性占位,巨输尿管?建议mru。
| 欢迎光临 医影在线 (http://bbs.radida.com/bbs/) | Powered by Discuz! X3.2 |