





















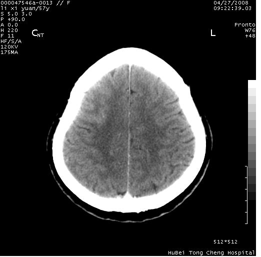
以下是引用zjzjr在2008-4-27 14:23:00的发言:[br]支持慢性炎性肉芽肿可能性大(增强效果较差).
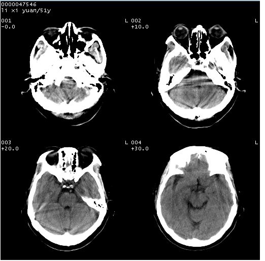
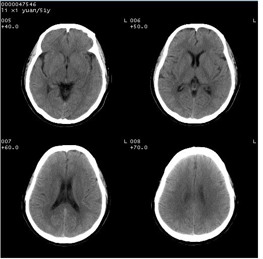
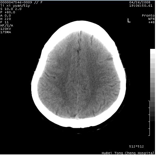
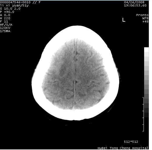
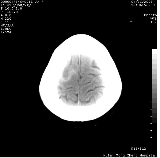
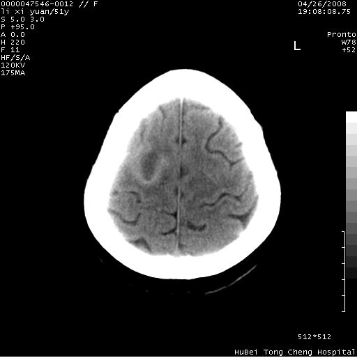
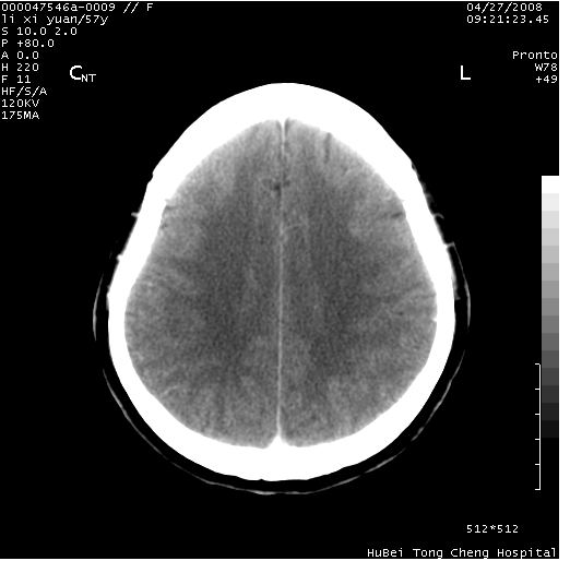
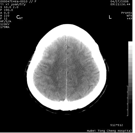
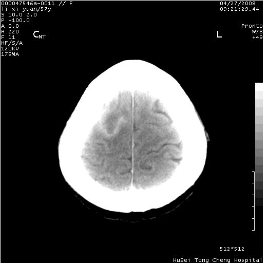
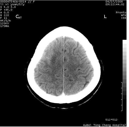
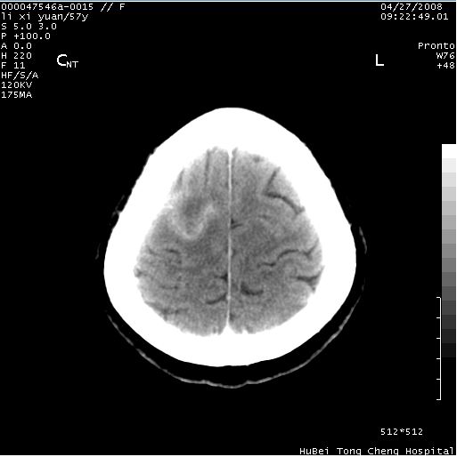
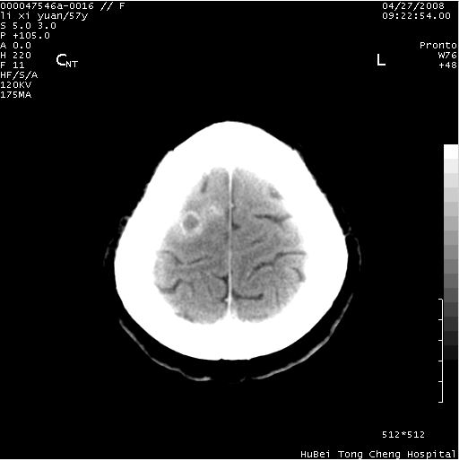
以下是引用余辉在2008-4-27 14:02:00的发言:[br]病灶位于中央沟前方?位于额叶?高密度灶,灶周水肿不明显,病灶似沿脑沟走行,强化明显,局部层面呈现环状强化,考虑1脑表面血管性疾病,如血管瘤,血管扩张,灶内血栓形成,其次考虑肿瘤如脑膜瘤、转移瘤,胶母等
以下是引用形影不离在2008-4-27 14:13:00的发言:[br]考虑胶质瘤可能性大,不排除慢性炎性肉芽肿。建议mri检查。
| 欢迎光临 医影在线 (http://bbs.radida.com/bbs/) | Powered by Discuz! X3.2 |