



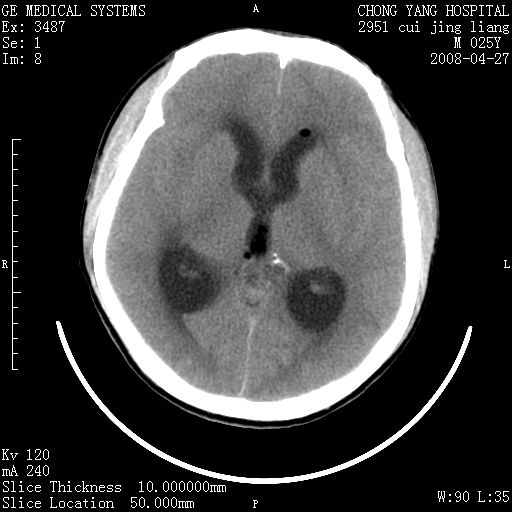
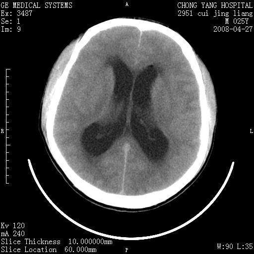
以下是引用余辉在2008-4-27 17:08:00的发言:[br]支持考虑松果体区畸胎瘤伴梗阻性脑积水,左侧室前角还有脂液滴?
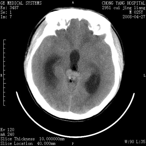
以下是引用王仕学在2008-4-27 16:25:00的发言:[br]软组织肿块+脂肪球,考虑松果体区畸胎瘤可能性大。
以下是引用王仕学在2008-4-27 16:25:00的发言:[br]软组织肿块+脂肪球,考虑松果体区畸胎瘤可能性大。
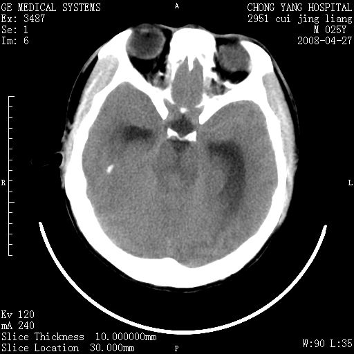
以下是引用随光逐影在2008-4-27 20:13:00的发言:[br]1)考虑为:第三脑室后部、松果体区畸胎瘤。2)脑积水(梗阻性)。
以下是引用jinguoji在2008-4-27 23:41:00的发言:[br]考虑松果体区肿瘤引起梗阻性脑积水。
| 欢迎光临 医影在线 (http://bbs.radida.com/bbs/) | Powered by Discuz! X3.2 |