

































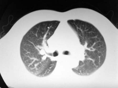
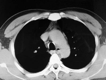
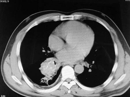
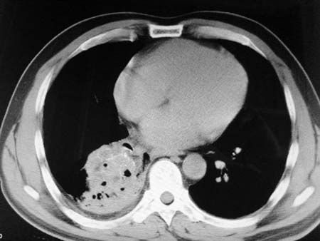
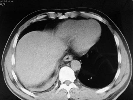
以下是引用yangyudong333在2008-4-27 17:05:00的发言:[br]考虑右下肺肺段隔离症伴有感染,建议做增强看看,支持
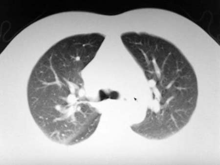
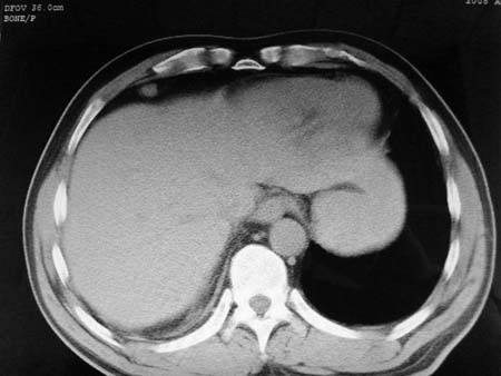
以下是引用qian在2008-4-27 17:02:00的发言:[br]考虑右下肺肺段隔离症伴有感染,建议做增强看看。
以下是引用qian在2008-4-27 17:02:00的发言:[br]考虑右下肺肺段隔离症伴有感染,建议做增强看看。
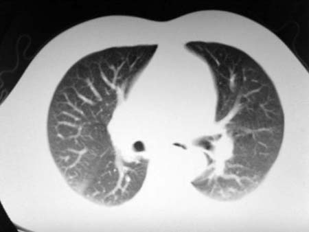
以下是引用zsl6918在2008-4-27 17:13:00的发言:[br]考虑右肺下叶炎性病变可能性大,建议抗炎治疗后复查,现有资料不能完全除外肺癌可能。
| 欢迎光临 医影在线 (http://bbs.radida.com/bbs/) | Powered by Discuz! X3.2 |